Skip to main content

TDP-43/TARDBP Antibody (4R5L7)

Novus Biologicals, part of Bio-Techne | Catalog # NBP3-15677

Recombinant Monoclonal Antibody
Novus Biologicals, part of Bio-Techne
Catalog #
Availability
Size / Price
Qty
Loading...
NBP3-15677-100ul
NBP3-15677-20ul

Key Product Details

Species Reactivity

Human, Mouse, Rat

Applications

Chromatin Immunoprecipitation (ChIP), ELISA, Immunocytochemistry/ Immunofluorescence, Immunohistochemistry, Immunohistochemistry-Paraffin, Western Blot

Label

Unconjugated

Antibody Source

Recombinant Monoclonal Rabbit IgG Clone # 4R5L7 expressed in HEK293

Concentration

Please see the vial label for concentration. If unlisted please contact technical services.

Product Specifications

Immunogen

A synthetic peptide corresponding to a sequence within amino acids 300-400 of human TDP-43/TARDB (Q13148). GNNQGSNMGGGMNFGAFSINPAMMAAAQAALQSSWGMMGMLASQQNQSGPSGNNQNQGNMQREPNQAFGSGNNSYSGSNSGAAIGWGSASNAGSGSGFNGG

Clonality

Monoclonal

Host

Rabbit

Isotype

IgG

Theoretical MW

45 kDa.
Disclaimer note: The observed molecular weight of the protein may vary from the listed predicted molecular weight due to post translational modifications, post translation cleavages, relative charges, and other experimental factors.

Description

Novus Biologicals Rabbit TDP-43/TARDBP Antibody (4R5L7) (NBP3-15677) is a recombinant monoclonal antibody validated for use in IHC, WB, ELISA, ICC/IF and ChIP. All Novus Biologicals antibodies are covered by our 100% guarantee.

Scientific Data Images for TDP-43/TARDBP Antibody (4R5L7)

Western Blot: TDP-43/TARDBP Antibody (4R5L7) [NBP3-15677]

Western Blot: TDP-43/TARDBP Antibody (4R5L7) [NBP3-15677]

Western Blot: TDP-43/TARDBP Antibody (4R5L7) [NBP3-15677] - Western blot analysis of extracts of various cell lines, using TDP-43/TARDBP antibody (NBP3-15677) at 1:1000 dilution. Secondary antibody: HRP Goat Anti-Rabbit IgG (H+L) at 1:10000 dilution. Lysates/proteins: 25ug per lane. Blocking buffer: 3% nonfat dry milk in TBST. Detection: ECL Basic Kit. Exposure time: 10s.
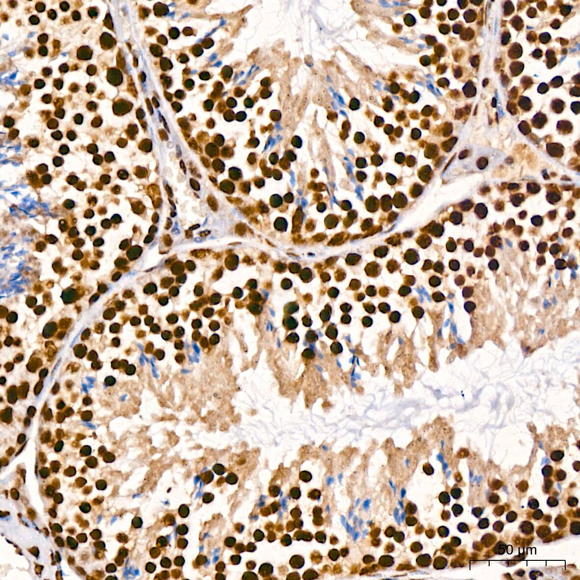
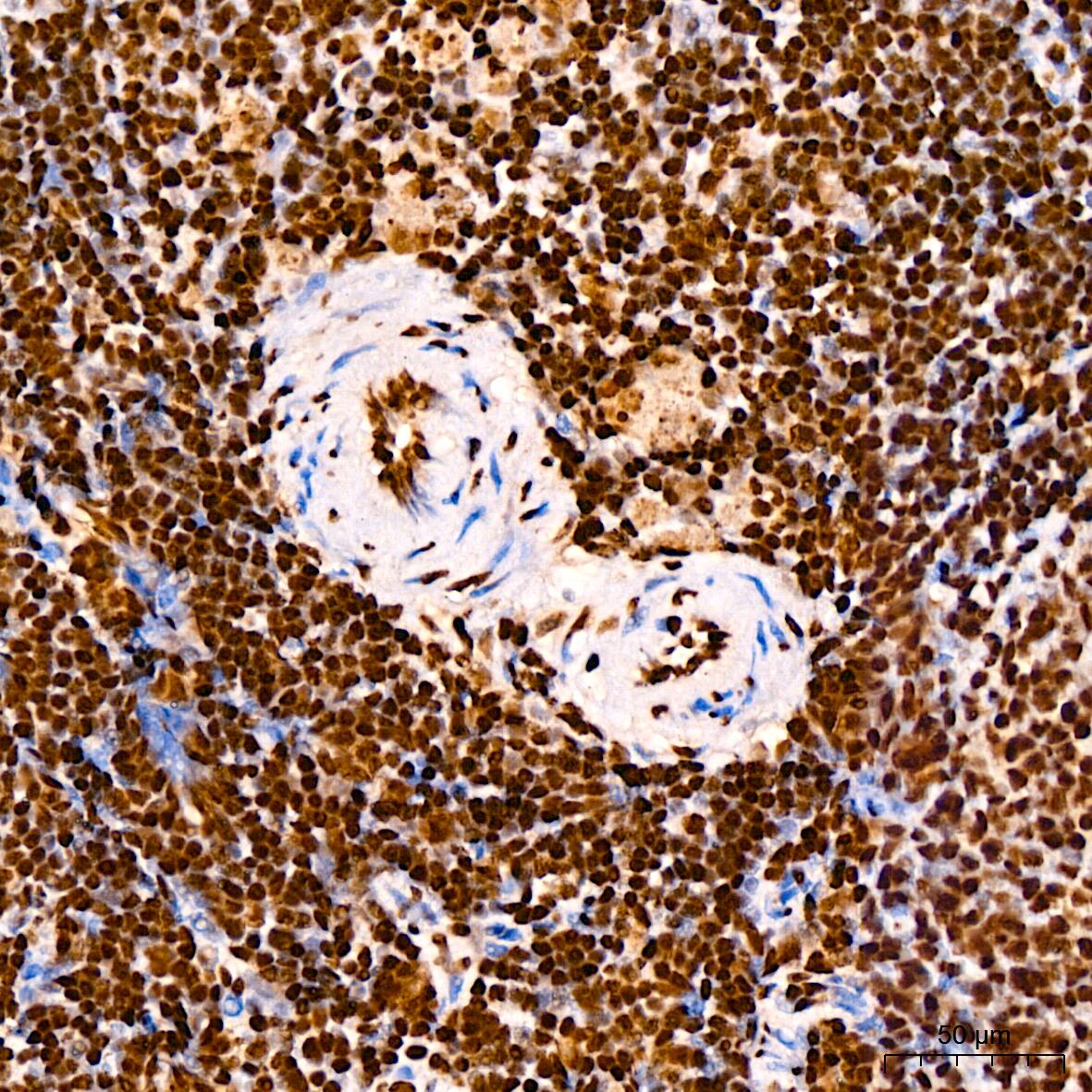
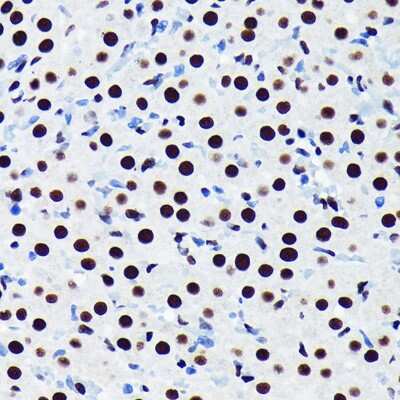
Immunohistochemistry-Paraffin: TDP-43/TARDBP Antibody (4R5L7) [NBP3-15677]

Immunohistochemistry-Paraffin: TDP-43/TARDBP Antibody (4R5L7) [NBP3-15677]

Immunohistochemistry-Paraffin: TDP-43/TARDBP Antibody (4R5L7) [NBP3-15677] - Immunohistochemistry of paraffin-embedded mouse brain using TDP-43/TARDBP Rabbit mAb (NBP3-15677) at dilution of 1:100 (40x lens).Perform microwave antigen retrieval with 10 mM PBS buffer pH 7.2 before commencing with IHC staining protocol.
Immunohistochemistry-Paraffin: TDP-43/TARDBP Antibody (4R5L7) [NBP3-15677]

Immunohistochemistry-Paraffin: TDP-43/TARDBP Antibody (4R5L7) [NBP3-15677]

Immunohistochemistry-Paraffin: TDP-43/TARDBP Antibody (4R5L7) [NBP3-15677] - Immunohistochemistry of paraffin-embedded rat ovary using TDP-43/TARDBP Rabbit mAb (NBP3-15677) at dilution of 1:100 (40x lens).Perform microwave antigen retrieval with 10 mM PBS buffer pH 7.2 before commencing with IHC staining protocol.

Applications for TDP-43/TARDBP Antibody (4R5L7)

Application
Recommended Usage

Chromatin Immunoprecipitation (ChIP)

5μg antibody for 10μg-15μg of Chromatin

ELISA

Recommended starting concentration is 1 μg/mL. Please optimize the concentration based on your specific assay requirements.

Immunocytochemistry/ Immunofluorescence

1:200 - 1:2000

Immunohistochemistry

1:200 - 1:2000

Immunohistochemistry-Paraffin

1:200 - 1:2000

Western Blot

1:1000 - 1:6000

Formulation, Preparation, and Storage

Purification

Affinity purified

Formulation

PBS (pH 7.3), 50% glycerol, 0.05% BSA

Preservative

0.02% Sodium Azide

Concentration

Please see the vial label for concentration. If unlisted please contact technical services.

Shipping

The product is shipped with polar packs. Upon receipt, store it immediately at the temperature recommended below.

Stability & Storage

Store at -20C. Avoid freeze-thaw cycles.

Background: TDP-43/TARDBP

TARDBP, also known as TAR DNA binding protein, is a DNA and RNA-binding protein which regulates transcription and splicing. TARDBP is also involved in the regulation of CFTR splicing and promotes CFTR exon 9 skipping by binding to the UG repeated motifs in the polymorphic region near the 3'-splice site of this exon. The resulting aberrant splicing is associated with pathological features typical of cystic fibrosis. TARD-BP may also be involved in microRNA biogenesis, apoptosis and cell division. TARDBP can repress HIV-1 transcription by binding to the HIV-1 long terminal repeat.

Long Name

TAR DNA-binding Protein 43

Alternate Names

ALS10, TARDBP, TDP43

Gene Symbol

TARDBP

Additional TDP-43/TARDBP Products

Product Documents for TDP-43/TARDBP Antibody (4R5L7)

Certificate of Analysis

To download a Certificate of Analysis, please enter a lot number in the search box below.

Product Specific Notices for TDP-43/TARDBP Antibody (4R5L7)

This product is for research use only and is not approved for use in humans or in clinical diagnosis. Primary Antibodies are guaranteed for 1 year from date of receipt.

Loading...
Loading...
Loading...
Loading...