Skip to main content

Talin1 Antibody - BSA Free

Novus Biologicals, part of Bio-Techne | Catalog # NBP3-13400

Novus Biologicals, part of Bio-Techne
Catalog #
Availability
Size / Price
Qty
Loading...
NBP3-13400

Key Product Details

Species Reactivity

Human, Mouse

Applications

Immunohistochemistry, Immunohistochemistry-Paraffin, Western Blot, Immunocytochemistry/ Immunofluorescence

Label

Unconjugated

Antibody Source

Polyclonal Rabbit IgG

Format

BSA Free

Concentration

Concentrations vary lot to lot. See vial label for concentration. If unlisted please contact technical services.

Product Specifications

Immunogen

Recombinant protein encompassing a sequence within the center region of human Talin1. The exact sequence is proprietary.

Clonality

Polyclonal

Host

Rabbit

Isotype

IgG

Description

Centrifuge briefly prior to opening.

Scientific Data Images for Talin1 Antibody - BSA Free

Western Blot: Talin1 Antibody [NBP3-13400]

Western Blot: Talin1 Antibody [NBP3-13400]

Western Blot: Talin1 Antibody [NBP3-13400] - Various whole cell extracts (30 ug) were separated by 5% SDS-PAGE, and the membrane was blotted with Talin1 antibody (NBP3-13400) diluted at 1:1000. The HRP-conjugated anti-rabbit IgG antibody (NBP2-19301) was used to detect the primary antibody.
Immunocytochemistry/ Immunofluorescence: Talin1 Antibody [NBP3-13400]

Immunocytochemistry/ Immunofluorescence: Talin1 Antibody [NBP3-13400]

Immunocytochemistry/Immunofluorescence: Talin1 Antibody [NBP3-13400] - Talin1 antibody detects Talin1 protein at cytoplasm and focal adhesion by immunofluorescent analysis. Sample: HeLa cells were fixed in ice-cold MeOH for 5 min. Green: Talin1 stained by Talin1 antibody (NBP3-13400) diluted at 1:1000. Blue: Fluoroshield with DAPI. Scale bar= 10 um.
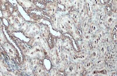
Immunohistochemistry-Paraffin: Talin1 Antibody [NBP3-13400]

Immunohistochemistry-Paraffin: Talin1 Antibody [NBP3-13400]

Immunohistochemistry-Paraffin: Talin1 Antibody [NBP3-13400] - Talin1 antibody detects Talin1 protein at cytoplasm by immunohistochemical analysis. Sample: Paraffin-embedded mouse kidney. Talin1 stained by Talin1 antibody (NBP3-13400) diluted at 1:500. Antigen Retrieval: Citrate buffer, pH 6.0, 15 min

Applications for Talin1 Antibody - BSA Free

Application
Recommended Usage

Immunocytochemistry/ Immunofluorescence

Optimal dilutions of this antibody should be experimentally determined.

Immunohistochemistry

Optimal dilutions of this antibody should be experimentally determined.

Immunohistochemistry-Paraffin

Optimal dilutions of this antibody should be experimentally determined.

Western Blot

Optimal dilutions of this antibody should be experimentally determined.

Formulation, Preparation, and Storage

Purification

Antigen Affinity-purified

Formulation

PBS, 20% Glycerol

Format

BSA Free

Preservative

0.025% Proclin 300

Concentration

Concentrations vary lot to lot. See vial label for concentration. If unlisted please contact technical services.

Shipping

The product is shipped with polar packs. Upon receipt, store it immediately at the temperature recommended below.

Stability & Storage

Store at 4C short term. Aliquot and store at -20C long term. Avoid freeze-thaw cycles.

Background: Talin1

Talin 1 encodes a cytoskeletal protein which is concentrated in areas of cell-substratum and cell-cell contacts. This protein plays a significant role in the assembly of actin filaments and in spreading and migration of various cell types, including fibroblasts and osteoclasts. It codistributes with integrins in the cell surface membrane in order to assist in the attachment of adherent cells to extracellular matrices and of lymphocytes to other cells. The N-terminus of this protein contains elements for localization to cell-extracellular matrix junctions. The C-terminus contains binding sites for proteins such as beta-1-integrin, actin, and vinculin.

Alternate Names

KIAA1027, TLN1

Gene Symbol

TLN1

Additional Talin1 Products

Product Documents for Talin1 Antibody - BSA Free

Certificate of Analysis

To download a Certificate of Analysis, please enter a lot number in the search box below.

Product Specific Notices for Talin1 Antibody - BSA Free

This product is for research use only and is not approved for use in humans or in clinical diagnosis. Primary Antibodies are guaranteed for 1 year from date of receipt.

Loading...
Loading...
Loading...
Loading...