Skip to main content

Talin1 Antibody - BSA Free

Novus Biologicals, part of Bio-Techne | Catalog # NBP1-87820

Novus Biologicals, part of Bio-Techne
Catalog #
Availability
Size / Price
Qty
Loading...
NBP1-87820
NBP1-87820-25ul

Key Product Details

Validated by

Orthogonal Validation

Species Reactivity

Validated:

Human

Cited:

Human

Predicted:

Mouse (99%), Rat (100%). Backed by our 100% Guarantee.

Applications

Validated:

Immunohistochemistry, Immunohistochemistry-Paraffin, Western Blot, Immunocytochemistry/ Immunofluorescence, Immunoprecipitation

Cited:

Immunohistochemistry-Paraffin, Western Blot, Immunocytochemistry/ Immunofluorescence, Immunoprecipitation

Label

Unconjugated

Antibody Source

Polyclonal Rabbit IgG

Format

BSA Free

Concentration

Concentrations vary lot to lot. See vial label for concentration. If unlisted please contact technical services.

Product Specifications

Immunogen

This antibody was developed against Recombinant Protein corresponding to amino acids: LLYTAKEAGGNPKQAAHTQEALEEAVQMMTEAVEDLTTTLNEAASAAGVVGGMVDSITQAINQLDEGPMGEPEGSFVDYQTTMVRTAKAIAVTVQEMVTKSNTSP

Clonality

Polyclonal

Host

Rabbit

Isotype

IgG

Description

Novus Biologicals Rabbit Talin1 Antibody - BSA Free (NBP1-87820) is a polyclonal antibody validated for use in IHC, WB, ICC/IF and IP. Anti-Talin1 Antibody: Cited in 3 publications. All Novus Biologicals antibodies are covered by our 100% guarantee.

Scientific Data Images for Talin1 Antibody - BSA Free

Western Blot: Talin1 Antibody [NBP1-87820]

Western Blot: Talin1 Antibody [NBP1-87820]

Western Blot: Talin1 Antibody [NBP1-87820] - Analysis in human cell lines U-251MG and MCF-7 using Anti-TLN1 antibody. Corresponding TLN1 RNA-seq data are presented for the same cell lines. Loading control: Anti-GAPDH.
Immunocytochemistry/ Immunofluorescence: Talin1 Antibody [NBP1-87820]

Immunocytochemistry/ Immunofluorescence: Talin1 Antibody [NBP1-87820]

Immunocytochemistry/Immunofluorescence: Talin1 Antibody [NBP1-87820] - Staining of human cell line A-431 shows localization to plasma membrane, cytosol & focal adhesion sites. Antibody staining is shown in green.
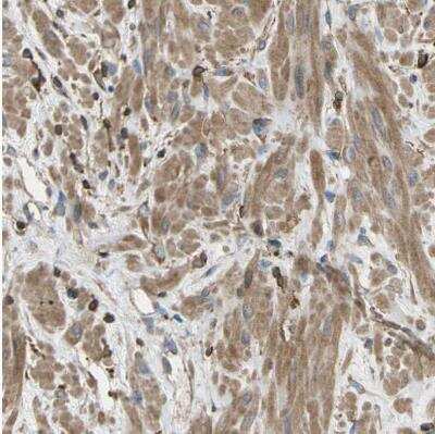
Immunohistochemistry-Paraffin: Talin1 Antibody [NBP1-87820]

Immunohistochemistry-Paraffin: Talin1 Antibody [NBP1-87820]

Immunohistochemistry-Paraffin: Talin1 Antibody [NBP1-87820] - Staining of human prostate shows moderate cytoplasmic positivity in smooth muscle cells.

Applications for Talin1 Antibody - BSA Free

Application
Recommended Usage

Immunocytochemistry/ Immunofluorescence

0.25-2 ug/ml

Immunohistochemistry

1:200 - 1:500

Immunohistochemistry-Paraffin

1:200 - 1:500

Immunoprecipitation

Reported in scientific literature (PMID: 23532850)

Western Blot

0.04-0.4 ug/ml
Application Notes
For IHC-Paraffin, HIER pH 6 retrieval is recommended. ICC/IF Fixation Permeabilization: Use PFA/Triton X-100.

Formulation, Preparation, and Storage

Purification

Affinity purified

Formulation

PBS (pH 7.2) and 40% Glycerol

Format

BSA Free

Preservative

0.02% Sodium Azide

Concentration

Concentrations vary lot to lot. See vial label for concentration. If unlisted please contact technical services.

Shipping

The product is shipped with polar packs. Upon receipt, store it immediately at the temperature recommended below.

Stability & Storage

Store at 4C short term. Aliquot and store at -20C long term. Avoid freeze-thaw cycles.

Background: Talin1

Talin 1 encodes a cytoskeletal protein which is concentrated in areas of cell-substratum and cell-cell contacts. This protein plays a significant role in the assembly of actin filaments and in spreading and migration of various cell types, including fibroblasts and osteoclasts. It codistributes with integrins in the cell surface membrane in order to assist in the attachment of adherent cells to extracellular matrices and of lymphocytes to other cells. The N-terminus of this protein contains elements for localization to cell-extracellular matrix junctions. The C-terminus contains binding sites for proteins such as beta-1-integrin, actin, and vinculin.

Alternate Names

KIAA1027, TLN1

Gene Symbol

TLN1

Additional Talin1 Products

Product Documents for Talin1 Antibody - BSA Free

Certificate of Analysis

To download a Certificate of Analysis, please enter a lot number in the search box below.

Product Specific Notices for Talin1 Antibody - BSA Free

This product is for research use only and is not approved for use in humans or in clinical diagnosis. Primary Antibodies are guaranteed for 1 year from date of receipt.

Loading...
Loading...
Loading...
Loading...