t-Plasminogen Activator/tPA Antibody
Novus Biologicals, part of Bio-Techne | Catalog # NBP2-20648
Key Product Details
Species Reactivity
Validated:
Human, Mouse, Rat
Cited:
Mouse, Rat
Applications
Validated:
Immunohistochemistry, Immunohistochemistry-Paraffin, Western Blot, ELISA
Cited:
Western Blot, ELISA, IF/IHC
Label
Unconjugated
Antibody Source
Polyclonal Rabbit IgG
Concentration
Concentrations vary lot to lot. See vial label for concentration. If unlisted please contact technical services.
Product Specifications
Immunogen
Recombinant protein encompassing a sequence within the center region of human t-Plasminogen Activator/tPA. The exact sequence is proprietary.
Reactivity Notes
Immunogen displays the following percentage of sequence identity for non-tested species: Porcine (82%), Bovine (82%).
Localization
Secreted; extracellular space
Clonality
Polyclonal
Host
Rabbit
Isotype
IgG
Theoretical MW
63 kDa.
Disclaimer note: The observed molecular weight of the protein may vary from the listed predicted molecular weight due to post translational modifications, post translation cleavages, relative charges, and other experimental factors.
Disclaimer note: The observed molecular weight of the protein may vary from the listed predicted molecular weight due to post translational modifications, post translation cleavages, relative charges, and other experimental factors.
Description
Novus Biologicals Rabbit t-Plasminogen Activator/tPA Antibody (NBP2-20648) is a polyclonal antibody validated for use in IHC, WB and ELISA. Anti-t-Plasminogen Activator/tPA Antibody: Cited in 3 publications. All Novus Biologicals antibodies are covered by our 100% guarantee.
Scientific Data Images for t-Plasminogen Activator/tPA Antibody
Western Blot: t-Plasminogen Activator/tPA Antibody [NBP2-20648]
Western Blot: t-Plasminogen Activator/tPA Antibody [NBP2-20648] - A. 30 ug PC-12 whole cell lysate/extract 7.5% SDS-PAGE tPA antibody dilution: 1:1000 The HRP-conjugated anti-rabbit IgG antibody (NBP2-19301) was used to detect the primary antibody.Immunohistochemistry-Paraffin: t-Plasminogen Activator/tPA Antibody [NBP2-20648]
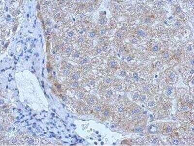
Immunohistochemistry-Paraffin: t-Plasminogen Activator/tPA Antibody [NBP2-20648] - Colon carcinoma. tPA antibody dilution: 1:250. Antigen Retrieval: Trilogy™ (EDTA based, pH 8.0) buffer, 15min.Western Blot: t-Plasminogen Activator/tPA Antibody [NBP2-20648]
Western Blot: t-Plasminogen Activator/tPA Antibody [NBP2-20648] - Human plasma (30 ug) was separated by 7.5% SDS-PAGE, and the membrane was blotted with tPA antibody diluted at 1:2000.Applications for t-Plasminogen Activator/tPA Antibody
Application
Recommended Usage
ELISA
Reported in scientific literature (PMID 28132883)
Immunohistochemistry
1:100-1:1000
Immunohistochemistry-Paraffin
1:100-1:1000
Western Blot
1:500-1:3000
Formulation, Preparation, and Storage
Purification
Antigen Affinity-purified
Formulation
PBS, 1% BSA, 20% Glycerol
Preservative
0.025% Proclin 300
Concentration
Concentrations vary lot to lot. See vial label for concentration. If unlisted please contact technical services.
Shipping
The product is shipped with polar packs. Upon receipt, store it immediately at the temperature recommended below.
Stability & Storage
Aliquot and store at -20C or -80C. Avoid freeze-thaw cycles.
Background: t-Plasminogen Activator/tPA
Long Name
Tissue Plasminogen Activator
Alternate Names
Alteplase, PLAT, Reteplase, T-PA, tPlasminogen Activator
Gene Symbol
PLAT
UniProt
Additional t-Plasminogen Activator/tPA Products
Product Documents for t-Plasminogen Activator/tPA Antibody
Product Specific Notices for t-Plasminogen Activator/tPA Antibody
This product is for research use only and is not approved for use in humans or in clinical diagnosis. Primary Antibodies are guaranteed for 1 year from date of receipt.
Loading...
Loading...
Loading...
Loading...