t-Plasminogen Activator/tPA Antibody - BSA Free
Novus Biologicals, part of Bio-Techne | Catalog # NBP1-87491
Key Product Details
Validated by
Orthogonal Validation
Species Reactivity
Human
Applications
Immunohistochemistry, Immunohistochemistry-Paraffin
Label
Unconjugated
Antibody Source
Polyclonal Rabbit IgG
Format
BSA Free
Concentration
Concentrations vary lot to lot. See vial label for concentration. If unlisted please contact technical services.
Product Specifications
Immunogen
This antibody was developed against Recombinant Protein corresponding to amino acids: KYSSEFCSTPACSEGNSDCYFGNGSAYRGTHSLTESGASCLPWNSMILIGKVYTAQNPSAQALGLGKHNYCRNPDGDAKPWCHVLKNRRLTWEYCDVPSCSTCGLRQYSQPQFRIKGGLF
Clonality
Polyclonal
Host
Rabbit
Isotype
IgG
Description
Novus Biologicals Rabbit t-Plasminogen Activator/tPA Antibody - BSA Free (NBP1-87491) is a polyclonal antibody validated for use in IHC. Anti-t-Plasminogen Activator/tPA Antibody: Cited in 1 publication. All Novus Biologicals antibodies are covered by our 100% guarantee.
Scientific Data Images for t-Plasminogen Activator/tPA Antibody - BSA Free
Immunohistochemistry-Paraffin: t-Plasminogen Activator/tPA Antibody [NBP1-87491]
Immunohistochemistry-Paraffin: t-Plasminogen Activator/tPA Antibody [NBP1-87491] - Staining of human fallopian tube shows moderate to strong positivity in plasma.Immunohistochemistry-Paraffin: t-Plasminogen Activator/tPA Antibody [NBP1-87491]
Immunohistochemistry-Paraffin: t-Plasminogen Activator/tPA Antibody [NBP1-87491] - Staining of human kidney shows moderate to strong extracellular space positivity in cells in tubules.Immunohistochemistry-Paraffin: t-Plasminogen Activator/tPA Antibody [NBP1-87491]
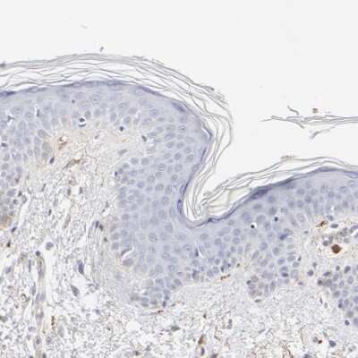
Immunohistochemistry-Paraffin: t-Plasminogen Activator/tPA Antibody [NBP1-87491] - Staining of human skin shows no cytoplasmic positivity in epidermal cells as expected.Applications for t-Plasminogen Activator/tPA Antibody - BSA Free
Application
Recommended Usage
Immunohistochemistry
1:50 - 1:200
Immunohistochemistry-Paraffin
1:50-1:200
Application Notes
For IHC-Paraffin, HIER pH 6 retrieval is recommended.
Formulation, Preparation, and Storage
Purification
Immunogen affinity purified
Formulation
PBS (pH 7.2) and 40% Glycerol
Format
BSA Free
Preservative
0.02% Sodium Azide
Concentration
Concentrations vary lot to lot. See vial label for concentration. If unlisted please contact technical services.
Shipping
The product is shipped with polar packs. Upon receipt, store it immediately at the temperature recommended below.
Stability & Storage
Store at 4C short term. Aliquot and store at -20C long term. Avoid freeze-thaw cycles.
Background: t-Plasminogen Activator/tPA
Long Name
Tissue Plasminogen Activator
Alternate Names
Alteplase, PLAT, Reteplase, T-PA, tPlasminogen Activator
Gene Symbol
PLAT
Additional t-Plasminogen Activator/tPA Products
Product Documents for t-Plasminogen Activator/tPA Antibody - BSA Free
Product Specific Notices for t-Plasminogen Activator/tPA Antibody - BSA Free
This product is for research use only and is not approved for use in humans or in clinical diagnosis. Primary Antibodies are guaranteed for 1 year from date of receipt.
Loading...
Loading...
Loading...
Loading...
Loading...