Skip to main content

t-Plasminogen Activator/tPA Antibody (OTI3H3)

Novus Biologicals, part of Bio-Techne | Catalog # NBP2-46435

Novus Biologicals, part of Bio-Techne

Key Product Details

Species Reactivity

Human

Applications

Immunohistochemistry, Immunohistochemistry-Paraffin, Western Blot

Label

Unconjugated

Antibody Source

Monoclonal Mouse IgG2B Clone # OTI3H3

Concentration

1 mg/ml

Product Specifications

Immunogen

Human recombinant protein fragment corresponding to amino acids 157-426 of human PLAT(NP_000921) produced in E.coli.

Clonality

Monoclonal

Host

Mouse

Isotype

IgG2B

Theoretical MW

60.5 kDa.
Disclaimer note: The observed molecular weight of the protein may vary from the listed predicted molecular weight due to post translational modifications, post translation cleavages, relative charges, and other experimental factors.

Description

Novus Biologicals Mouse t-Plasminogen Activator/tPA Antibody (OTI3H3) (NBP2-46435) is a monoclonal antibody validated for use in IHC and WB. All Novus Biologicals antibodies are covered by our 100% guarantee.

Scientific Data Images for t-Plasminogen Activator/tPA Antibody (OTI3H3)

Western Blot: t-Plasminogen Activator/tPA Antibody (OTI3H3) [NBP2-46435]

Western Blot: t-Plasminogen Activator/tPA Antibody (OTI3H3) [NBP2-46435]

Western Blot: t-Plasminogen Activator/tPA Antibody (3H3) [NBP2-46435] - Analysis of HEK293T cells were transiently transfected with the pCMV6-ENTRY control (Left lane) or pCMV6-ENTRY t-Plasminogen.
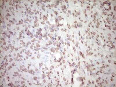
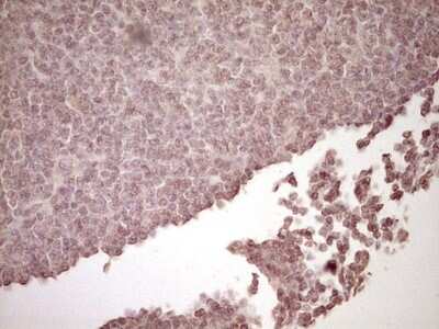
Immunohistochemistry-Paraffin: t-Plasminogen Activator/tPA Antibody (OTI3H3) [NBP2-46435]

Immunohistochemistry-Paraffin: t-Plasminogen Activator/tPA Antibody (OTI3H3) [NBP2-46435]

Immunohistochemistry-Paraffin: t-Plasminogen Activator/tPA Antibody (OTI3H3) [NBP2-46435] - t-Plasminogen Activator/tPA Antibody (3H3) [NBP2-46435] - Analysis of Human tonsil tissue. (Heat-induced epitope retrieval by 1 mM EDTA in 10mM Tris, pH8.5, 120C for 3min)
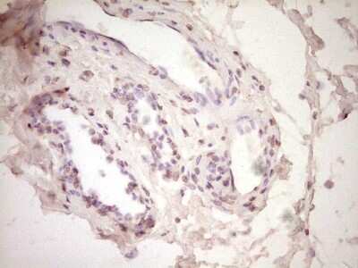
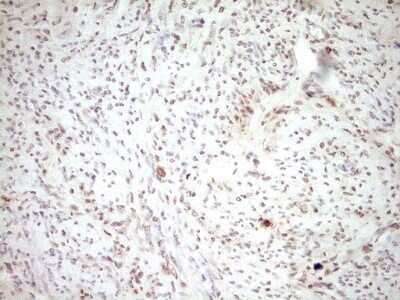
Immunohistochemistry-Paraffin: t-Plasminogen Activator/tPA Antibody (OTI3H3) [NBP2-46435]

Immunohistochemistry-Paraffin: t-Plasminogen Activator/tPA Antibody (OTI3H3) [NBP2-46435]

Immunohistochemistry-Paraffin: t-Plasminogen Activator/tPA Antibody (OTI3H3) [NBP2-46435] - t-Plasminogen Activator/tPA Antibody (3H3) [NBP2-46435] - Analysis of Human endometrium tissue. (Heat-induced epitope retrieval by 1 mM EDTA in 10mM Tris, pH8.5, 120C for 3min)

Applications for t-Plasminogen Activator/tPA Antibody (OTI3H3)

Application
Recommended Usage

Immunohistochemistry

1:150

Immunohistochemistry-Paraffin

1:150

Western Blot

1:2000

Formulation, Preparation, and Storage

Purification

Immunogen affinity purified

Formulation

PBS (pH 7.3), 1.0% BSA and 50% Glycerol

Preservative

0.02% Sodium Azide

Concentration

1 mg/ml

Shipping

The product is shipped with polar packs. Upon receipt, store it immediately at the temperature recommended below.

Stability & Storage

Store at -20C. Avoid freeze-thaw cycles.

Background: t-Plasminogen Activator/tPA

Tissue plasminogen activator (tPA) is a serine protease which converts the abundant proenzyme plasminogen to active plasmin. It plays a key role in thrombolysis (1) and several neurobiological processes (2).

Long Name

Tissue Plasminogen Activator

Alternate Names

Alteplase, PLAT, Reteplase, T-PA, tPlasminogen Activator

Gene Symbol

PLAT

Additional t-Plasminogen Activator/tPA Products

Product Documents for t-Plasminogen Activator/tPA Antibody (OTI3H3)

Certificate of Analysis

To download a Certificate of Analysis, please enter a lot number in the search box below.

Product Specific Notices for t-Plasminogen Activator/tPA Antibody (OTI3H3)

This product is for research use only and is not approved for use in humans or in clinical diagnosis. Primary Antibodies are guaranteed for 1 year from date of receipt.

Loading...
Loading...
Loading...
Loading...