Skip to main content

Soggy-1/DkkL1 Antibody - BSA Free

Novus Biologicals, part of Bio-Techne | Catalog # NBP2-48868

Novus Biologicals, part of Bio-Techne
Catalog #
Availability
Size / Price
Qty
Loading...
NBP2-48868
NBP2-48868-25ul

Key Product Details

Validated by

Orthogonal Validation

Species Reactivity

Human

Applications

Immunohistochemistry, Immunohistochemistry-Paraffin, Immunocytochemistry/ Immunofluorescence

Label

Unconjugated

Antibody Source

Polyclonal Rabbit IgG

Format

BSA Free

Concentration

Concentrations vary lot to lot. See vial label for concentration. If unlisted please contact technical services.

Product Specifications

Immunogen

This antibody was developed against a recombinant protein corresponding to amino acids: ADAQESSLGLTGLQSLLQGFSRLFLKGNLLRGIDSLFSAPMDFRGLPGNYHKEENQEHQLGNNTLSSHLQIDKMTDNKTGEVLISENVVASIQPAEGSFEGDLK

Clonality

Polyclonal

Host

Rabbit

Isotype

IgG

Description

Novus Biologicals Rabbit Soggy-1/DkkL1 Antibody - BSA Free (NBP2-48868) is a polyclonal antibody validated for use in IHC and ICC/IF. All Novus Biologicals antibodies are covered by our 100% guarantee.

Scientific Data Images for Soggy-1/DkkL1 Antibody - BSA Free

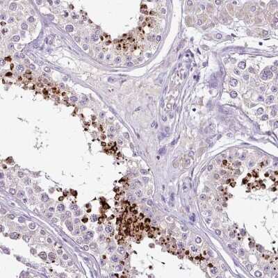
Immunocytochemistry/ Immunofluorescence: Soggy-1/DkkL1 Antibody [NBP2-48868]

Immunocytochemistry/ Immunofluorescence: Soggy-1/DkkL1 Antibody [NBP2-48868]

Immunocytochemistry/Immunofluorescence: Soggy-1/DkkL1 Antibody [NBP2-48868] - Staining in human testis and prostate tissues using anti-DKKL1 antibody. Corresponding DKKL1 RNA-seq data are presented for the same tissues.
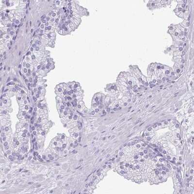
Immunohistochemistry-Paraffin: Soggy-1/DkkL1 Antibody [NBP2-48868]

Immunohistochemistry-Paraffin: Soggy-1/DkkL1 Antibody [NBP2-48868]

Immunohistochemistry-Paraffin: Soggy-1/DkkL1 Antibody [NBP2-48868] - Staining of human prostate shows low expression as expected.
Immunocytochemistry/ Immunofluorescence: Soggy-1/DkkL1 Antibody [NBP2-48868]

Immunocytochemistry/ Immunofluorescence: Soggy-1/DkkL1 Antibody [NBP2-48868]

Immunocytochemistry/Immunofluorescence: Soggy-1/DkkL1 Antibody [NBP2-48868] - Staining of human cell line A549 shows localization to vesicles.

Applications for Soggy-1/DkkL1 Antibody - BSA Free

Application
Recommended Usage

Immunocytochemistry/ Immunofluorescence

0.25-2 ug/ml

Immunohistochemistry

1:200 - 1:500

Immunohistochemistry-Paraffin

1:200 - 1:500
Application Notes
For IHC-Paraffin, HIER pH 6 retrieval is recommended. Immunocytochemistry/Immunofluorescence Fixation Permeabilization: Use PFA/Triton X-100.

Formulation, Preparation, and Storage

Purification

Affinity purified

Formulation

PBS (pH 7.2) and 40% Glycerol

Format

BSA Free

Preservative

0.02% Sodium Azide

Concentration

Concentrations vary lot to lot. See vial label for concentration. If unlisted please contact technical services.

Shipping

The product is shipped with polar packs. Upon receipt, store it immediately at the temperature recommended below.

Stability & Storage

Store at 4C short term. Aliquot and store at -20C long term. Avoid freeze-thaw cycles.

Background: Soggy-1/DkkL1

The dickkopf protein family interacts with the Wnt signaling pathway and its members are characterized by two conserved cysteine-rich domains. This gene encodes a secreted protein that has high similarity to the N-terminus of the dickkopf-3 protein and moderate similarity to that protein's C-terminus though the C-terminal cysteine residues are not conserved. [provided by RefSeq]

Long Name

Dickkopf-like Protein 1

Alternate Names

DkkL1, SGY1, Soggy1

Gene Symbol

DKKL1

Additional Soggy-1/DkkL1 Products

Product Documents for Soggy-1/DkkL1 Antibody - BSA Free

Certificate of Analysis

To download a Certificate of Analysis, please enter a lot number in the search box below.

Product Specific Notices for Soggy-1/DkkL1 Antibody - BSA Free

This product is for research use only and is not approved for use in humans or in clinical diagnosis. Primary Antibodies are guaranteed for 1 year from date of receipt.

Loading...
Loading...
Loading...
Loading...