Skip to main content

SOD1/Cu-Zn SOD Antibody (HL1652) - Azide and BSA Free

Novus Biologicals, part of Bio-Techne | Catalog # NBP3-25693

Recombinant Monoclonal Antibody
Novus Biologicals, part of Bio-Techne
Catalog #
Availability
Size / Price
Qty
Loading...
NBP3-25693

Key Product Details

Validated by

Knockout/Knockdown

Species Reactivity

Validated:

Human, Mouse, Rat, Canine, Feline

Predicted:

Bovine (92%), Chimpanzee (100%), Porcine (92%), Rabbit (92%), Rhesus Macaque (100%), Sheep (92%), Zebrafish (92%). Backed by our 100% Guarantee.

Applications

Immunohistochemistry, Immunohistochemistry-Paraffin, Western Blot, Immunocytochemistry/ Immunofluorescence

Label

Unconjugated

Antibody Source

Recombinant Monoclonal Rabbit IgG Clone # HL1652 expressed in HEK293

Format

Azide and BSA Free

Concentration

Concentrations vary lot to lot. See vial label for concentration. If unlisted please contact technical services.

Product Specifications

Immunogen

Carrier-protein conjugated synthetic peptide encompassing a sequence within the center region of human SOD1/Cu-Zn SOD. The exact sequence is proprietary.

Reactivity Notes

Immunogen displays the following percentage of sequence identity for non-tested species: Xenopus (85%).

Clonality

Monoclonal

Host

Rabbit

Isotype

IgG

Description

Novus Biologicals Rabbit SOD1/Cu-Zn SOD Antibody (HL1652) - Azide and BSA Free (NBP3-25693) is a recombinant monoclonal antibody validated for use in IHC, WB and ICC/IF. All Novus Biologicals antibodies are covered by our 100% guarantee.

Scientific Data Images for SOD1/Cu-Zn SOD Antibody (HL1652) - Azide and BSA Free

SOD1/Cu-Zn SOD Antibody (HL1652) - Azide and BSA Free

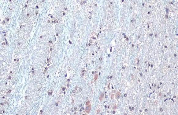
Immunohistochemistry-Paraffin: SOD1/Cu-Zn SOD Antibody (HL1652) - Azide and BSA Free [NBP3-25693] -

Immunohistochemistry-Paraffin: SOD1/Cu-Zn SOD Antibody (HL1652) - Azide and BSA Free [NBP3-25693] - SOD1 antibody [HL1652] detects SOD1 protein at cytoplasm and nucleus by immunohistochemical analysis. Sample: Paraffin-embedded dog brain. SOD1 stained by SOD1 antibody [HL1652] (NBP3-25693) diluted at 1:100. Antigen Retrieval: Citrate buffer, pH 6.0, 15 min
SOD1/Cu-Zn SOD Antibody (HL1652) - Azide and BSA Free

Western Blot: SOD1/Cu-Zn SOD Antibody (HL1652) - Azide and BSA Free [NBP3-25693] -

Western Blot: SOD1/Cu-Zn SOD Antibody (HL1652) - Azide and BSA Free [NBP3-25693] - Non-transfected (-) and transfected (+) 293T whole cell extracts (30 ug) were separated by 15% SDS-PAGE, and the membrane was blotted with SOD1 antibody [HL1652] (NBP3-25693) diluted at 1:1000. The HRP-conjugated anti-rabbit IgG antibody was used to detect the primary antibody.
SOD1/Cu-Zn SOD Antibody (HL1652) - Azide and BSA Free

Immunohistochemistry-Paraffin: SOD1/Cu-Zn SOD Antibody (HL1652) - Azide and BSA Free [NBP3-25693] -

Immunohistochemistry-Paraffin: SOD1/Cu-Zn SOD Antibody (HL1652) - Azide and BSA Free [NBP3-25693] - SOD1 antibody [HL1652] detects SOD1 protein at cytoplasm and nucleus by immunohistochemical analysis. Sample: Paraffin-embedded human breast carcinoma. SOD1 stained by SOD1 antibody [HL1652] (NBP3-25693) diluted at 1:100. Antigen Retrieval: Citrate buffer, pH 6.0, 15 min

Applications for SOD1/Cu-Zn SOD Antibody (HL1652) - Azide and BSA Free

Application
Recommended Usage

Immunohistochemistry-Paraffin

1:100-1:1000

Formulation, Preparation, and Storage

Purification

Protein A purified

Formulation

PBS

Format

Azide and BSA Free

Preservative

No Preservative

Concentration

Concentrations vary lot to lot. See vial label for concentration. If unlisted please contact technical services.

Shipping

The product is shipped with polar packs. Upon receipt, store it immediately at the temperature recommended below.

Stability & Storage

Store at 4C short term. Aliquot and store at -20C long term. Avoid freeze-thaw cycles.

Background: SOD1/Cu-Zn SOD

FUNCTION: Destroys radicals which are normally produced within the cells and which are toxic to biological systems. CATALYTIC ACTIVITY: 2 superoxide + 2 H+ = O2 + H2O2. COFACTOR: Binds 1 copper ion per subunit. COFACTOR: Binds 1 zinc ion per subunit. SUBUNIT: Homodimer. SUBCELLULAR LOCATION: Cytoplasm. DISEASE: Defects in SOD1 are the cause of familial amyotrophic lateral sclerosis (FALS); also called amyotrophic lateral sclerosis 1 (ALS1 or ALS). ALS is a degenerative disorder of motorneurons in the cortex, brainstem and spinal cord. ALS is characterized by muscular weakness and atrophy beginning in the hands and spreading to the forearms and legs. Muscle fasciculations are commonly visible. Sensory abnormalities are absent. Death usually occurs within 2 to 5 years. ALS is sometimes referred to as Lou Gehrig disease after the famous American baseball player who was diagnosed with the disorder. FALS, the familial form of ALS, accounts for about 10% of the cases and is transmitted in an autosomal dominant manner. The mean age at onset of FALS is 45 years. MISCELLANEOUS: Zinc binding promotes dimerization. SIMILARITY: Belongs to the Cu-Zn superoxide dismutase family.

Long Name

Superoxide Dismutase-1

Alternate Names

Cu-Zn SOD, CuZn SOD, Ipo1, IPOA, SOD, cytosolic, SOD, Soluble

Gene Symbol

SOD1

Additional SOD1/Cu-Zn SOD Products

Product Documents for SOD1/Cu-Zn SOD Antibody (HL1652) - Azide and BSA Free

Certificate of Analysis

To download a Certificate of Analysis, please enter a lot number in the search box below.

Product Specific Notices for SOD1/Cu-Zn SOD Antibody (HL1652) - Azide and BSA Free

This product is for research use only and is not approved for use in humans or in clinical diagnosis. Primary Antibodies are guaranteed for 1 year from date of receipt.

Loading...
Loading...
Loading...
Loading...