SOCS-1 Antibody - BSA Free
Novus Biologicals, part of Bio-Techne | Catalog # NBP3-38461
Key Product Details
Species Reactivity
Human, Mouse, Rat
Applications
Immunohistochemistry, Immunohistochemistry-Paraffin, Western Blot, ELISA, Immunocytochemistry/ Immunofluorescence
Label
Unconjugated
Antibody Source
Polyclonal Rabbit IgG
Format
BSA Free
Concentration
Please see the vial label for concentration. If unlisted please contact technical services.
Product Specifications
Immunogen
Recombinant fusion protein containing a sequence corresponding to amino acids 1-100 of human SOCS-1 (NP_003736.1).
Sequence:
MVAHNQVAADNAVSTAAEPRRRPEPSSSSSSSPAAPARPRPCPAVPAPAPGDTHFRTFRSHADYRRITRASALLDACGFYWGPLSVHGAHERLRAEPVGTFLVRDSRQRNCFFALSVKMASGPTSIRVHFQAGRFHLDGSRESFDCLFELLEHYVAAPRRMLGAPLRQRRVRPLQELCRQRIVATVGRENLARIPLNPVLRDYLSSFPFQI
Sequence:
MVAHNQVAADNAVSTAAEPRRRPEPSSSSSSSPAAPARPRPCPAVPAPAPGDTHFRTFRSHADYRRITRASALLDACGFYWGPLSVHGAHERLRAEPVGTFLVRDSRQRNCFFALSVKMASGPTSIRVHFQAGRFHLDGSRESFDCLFELLEHYVAAPRRMLGAPLRQRRVRPLQELCRQRIVATVGRENLARIPLNPVLRDYLSSFPFQI
Clonality
Polyclonal
Host
Rabbit
Isotype
IgG
Theoretical MW
24 kDa.
Disclaimer note: The observed molecular weight of the protein may vary from the listed predicted molecular weight due to post translational modifications, post translation cleavages, relative charges, and other experimental factors.
Disclaimer note: The observed molecular weight of the protein may vary from the listed predicted molecular weight due to post translational modifications, post translation cleavages, relative charges, and other experimental factors.
Description
Novus Biologicals Rabbit SOCS-1 Antibody - BSA Free (NBP3-38461) is a polyclonal antibody validated for use in IHC, WB, ELISA and ICC/IF. All Novus Biologicals antibodies are covered by our 100% guarantee.
Scientific Data Images for SOCS-1 Antibody - BSA Free
Immunohistochemistry: SOCS-1 Antibody [NBP3-38461] -
Immunohistochemistry: SOCS-1 Antibody [NBP3-38461] - Immunohistochemistry analysis of paraffin-embedded Mouse spleen using SOCS-1 Rabbit pAb at dilution of 1:200 (40x lens). High pressure antigen retrieval performed with 0.01M Citrate Bufferr (pH 6.0) prior to IHC staining.Western Blot: SOCS-1 Antibody [NBP3-38461] -
Western Blot: SOCS-1 Antibody [NBP3-38461] - Western blot analysis of various lysates, using SOCS-1 Rabbit pAb at 1:500 dilution.Secondary antibody: HRP-conjugated Goat anti-Rabbit IgG (H+L) at 1:10000 dilution.
Lysates/proteins: 25ug per lane.
Blocking buffer: 3% nonfat dry milk in TBST.
Detection: ECL Basic Kit.
Exposure time: 90s.
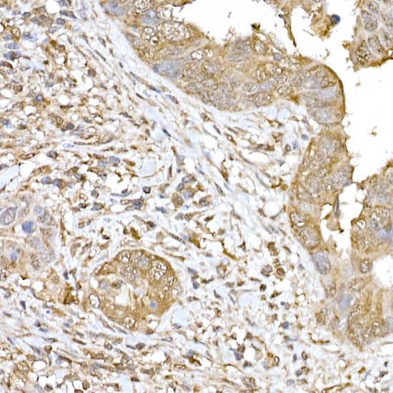
Immunohistochemistry: SOCS-1 Antibody [NBP3-38461] -
Immunohistochemistry: SOCS-1 Antibody [NBP3-38461] - Immunohistochemistry analysis of paraffin-embedded Human colon carcinoma using SOCS-1 Rabbit pAb at dilution of 1:200 (40x lens). High pressure antigen retrieval performed with 0.01M Citrate Bufferr (pH 6.0) prior to IHC staining.Applications for SOCS-1 Antibody - BSA Free
Application
Recommended Usage
Immunocytochemistry/ Immunofluorescence
1:50 - 1:200
Immunohistochemistry-Paraffin
1:50 - 1:200
Western Blot
1:500 - 1:1000
Formulation, Preparation, and Storage
Purification
Affinity purified
Formulation
PBS (pH 7.3), 50% glycerol
Format
BSA Free
Preservative
0.02% Sodium Azide
Concentration
Please see the vial label for concentration. If unlisted please contact technical services.
Shipping
The product is shipped with polar packs. Upon receipt, store it immediately at the temperature recommended below.
Stability & Storage
Store at -20C. Avoid freeze-thaw cycles.
Background: SOCS-1
Long Name
Suppressor Of Cytokine Signaling 1
Alternate Names
CIS1, Cish1, JAB, SOCS1, SSI-1, TIP3
Gene Symbol
SOCS1
Additional SOCS-1 Products
Product Documents for SOCS-1 Antibody - BSA Free
Product Specific Notices for SOCS-1 Antibody - BSA Free
This product is for research use only and is not approved for use in humans or in clinical diagnosis. Primary Antibodies are guaranteed for 1 year from date of receipt.
Loading...
Loading...
Loading...
Loading...