SLCO2A1 Antibody - BSA Free
Novus Biologicals, part of Bio-Techne | Catalog # NBP2-13349
Key Product Details
Validated by
Orthogonal Validation
Species Reactivity
Validated:
Human
Cited:
Human
Applications
Validated:
Immunohistochemistry, Immunohistochemistry-Paraffin, Western Blot, Immunocytochemistry/ Immunofluorescence
Cited:
Western Blot, Immunocytochemistry/ Immunofluorescence, IF/IHC
Label
Unconjugated
Antibody Source
Polyclonal Rabbit IgG
Format
BSA Free
Concentration
Concentrations vary lot to lot. See vial label for concentration. If unlisted please contact technical services.
Product Specifications
Immunogen
This antibody was developed against a recombinant protein corresponding to the amino acids: PSTSSSIHPQSPACRRDCSCPDSIFHPVCGDNGIEYLSPCHAGCSNINMSSATSKQLIYLNCSCVTGGSASAKTGSCPVPCAH
Reactivity Notes
Immunogen displays the following percentage of sequence identity for non-tested species: Mouse (84%), Rat (81%).
Clonality
Polyclonal
Host
Rabbit
Isotype
IgG
Scientific Data Images for SLCO2A1 Antibody - BSA Free
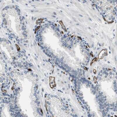
Immunohistochemistry-Paraffin: SLCO2A1 Antibody [NBP2-13349]
Immunohistochemistry-Paraffin: SLCO2A1 Antibody [NBP2-13349] - Immunohistochemical staining of human prostate shows strong membranous positivity in endothelial cells.Immunohistochemistry-Paraffin: SLCO2A1 Antibody [NBP2-13349]
Immunohistochemistry-Paraffin: SLCO2A1 Antibody [NBP2-13349] - Immunohistochemical staining of human seminal vesicle shows strong membranous positivity in glandular cells.Applications for SLCO2A1 Antibody - BSA Free
Application
Recommended Usage
Immunocytochemistry/ Immunofluorescence
Reported in (PMID: 26539716).
Immunohistochemistry
1:50 - 1:200
Immunohistochemistry-Paraffin
1:50 - 1:200
Western Blot
Reported in (PMID:26415544).
Application Notes
IHC-Paraffin, HIER pH 6 retrieval is recommended.
Formulation, Preparation, and Storage
Purification
Affinity purified
Formulation
PBS (pH 7.2) and 40% Glycerol
Format
BSA Free
Preservative
0.02% Sodium Azide
Concentration
Concentrations vary lot to lot. See vial label for concentration. If unlisted please contact technical services.
Shipping
The product is shipped with polar packs. Upon receipt, store it immediately at the temperature recommended below.
Stability & Storage
Store at 4C short term. Aliquot and store at -20C long term. Avoid freeze-thaw cycles.
Background: SLCO2A1
Alternate Names
OATP2A1member 2, PGTmatrin F/G 1, Prostaglandin transporter, Solute carrier family 21 member 2, solute carrier organic anion transporter family member 2A1, solute carrier organic anion transporter family, member 2A1
Gene Symbol
SLCO2A1
Additional SLCO2A1 Products
Product Documents for SLCO2A1 Antibody - BSA Free
Product Specific Notices for SLCO2A1 Antibody - BSA Free
This product is for research use only and is not approved for use in humans or in clinical diagnosis. Primary Antibodies are guaranteed for 1 year from date of receipt.
Loading...
Loading...
Loading...
Loading...