Skip to main content

Signal sequence receptor delta Antibody - BSA Free

Novus Biologicals, part of Bio-Techne | Catalog # NBP3-45814

Novus Biologicals, part of Bio-Techne
Catalog #
Availability
Size / Price
Qty
Loading...
NBP3-45814

Key Product Details

Species Reactivity

Human

Applications

ELISA, Immunocytochemistry/ Immunofluorescence, Immunohistochemistry, Western Blot

Label

Unconjugated

Antibody Source

Polyclonal Rabbit IgG

Format

BSA Free

Concentration

Please see the vial label for concentration. If unlisted please contact technical services.

Product Specifications

Immunogen

signal sequence receptor, delta(translocon-associated protein delta). (Uniprot# P51571)

Clonality

Polyclonal

Host

Rabbit

Isotype

IgG

Theoretical MW

19 kDa.
Disclaimer note: The observed molecular weight of the protein may vary from the listed predicted molecular weight due to post translational modifications, post translation cleavages, relative charges, and other experimental factors.

Description

Novus Biologicals Rabbit Signal sequence receptor delta Antibody - BSA Free (NBP3-45814) is a polyclonal antibody validated for use in IHC, WB, ELISA and ICC/IF. All Novus Biologicals antibodies are covered by our 100% guarantee.

Scientific Data Images for Signal sequence receptor delta Antibody - BSA Free

Signal sequence receptor delta Antibody - BSA Free

Western Blot: Signal sequence receptor delta Antibody - BSA Free [NBP3-45814] -

Western Blot: Signal sequence receptor delta Antibody - BSA Free [NBP3-45814] - HeLa cells were subjected to SDS PAGE followed by western blot with (Signal sequence receptor delta antibody) at dilution of 1:500
Signal sequence receptor delta Antibody - BSA Free

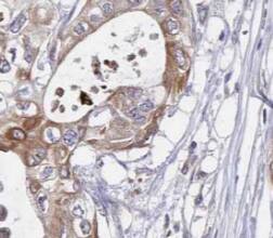
Immunohistochemistry: Signal sequence receptor delta Antibody - BSA Free [NBP3-45814] -

Immunohistochemistry: Signal sequence receptor delta Antibody - BSA Free [NBP3-45814] - Immunohistochemistry of paraffin-embedded human pancreas cancer using (Signal sequence receptor delta antibody) at dilution of 1:50

Applications for Signal sequence receptor delta Antibody - BSA Free

Application
Recommended Usage

Immunocytochemistry/ Immunofluorescence

1:10-1:100

Immunohistochemistry

1:20-1:200

Western Blot

1:500-1:1000

Formulation, Preparation, and Storage

Purification

Immunogen affinity purified

Formulation

PBS, 50% Glycerol, pH (7.3)

Format

BSA Free

Preservative

0.02% Sodium Azide

Concentration

Please see the vial label for concentration. If unlisted please contact technical services.

Shipping

The product is shipped with polar packs. Upon receipt, store it immediately at the temperature recommended below.

Stability & Storage

Store at -20C. Avoid freeze-thaw cycles.

Background: Signal sequence receptor delta

SSR4, also called TRAPD, is assumed to be involved in protein secretion. It is located in the Xq28 region, arranged in a compact head-to-head manner with the IDH3G gene. These two genes are driven by a bidirectional promoter located between them, and encode proteins involved in unrelated biochemical pathways located in different compartments of the cell. The nontranscribed intergenic region represents only 133 bp and is embedded in a CpG island. The CpG island functions as a bidirectional promoter to initiate the transcription of both functionally unrelated genes with distinct expression patterns. SSR4 consists of six exons and is approximately 70 kb telomeric to the ALD gene. Although alternative splicing of exon 5 has not been detected in human SSR4, transcript variants missing the region homologous to human exon 5 have been detected in both Xenopus laevis and Mus musculus.

Alternate Names

signal sequence receptor, delta (translocon-associated protein delta), SSR-delta, translocon-associated protein delta, translocon-associated protein subunit delta, TRAP-delta, TRAPDSignal sequence receptor subunit delta

Gene Symbol

SSR4

Additional Signal sequence receptor delta Products

Product Documents for Signal sequence receptor delta Antibody - BSA Free

Certificate of Analysis

To download a Certificate of Analysis, please enter a lot number in the search box below.

Product Specific Notices for Signal sequence receptor delta Antibody - BSA Free

This product is for research use only and is not approved for use in humans or in clinical diagnosis. Primary Antibodies are guaranteed for 1 year from date of receipt.

Loading...
Loading...
Loading...
Loading...