Siglec-10 Antibody - BSA Free
Novus Biologicals, part of Bio-Techne | Catalog # NBP1-82759
Key Product Details
Species Reactivity
Human
Applications
Immunohistochemistry, Immunohistochemistry-Paraffin, Western Blot
Label
Unconjugated
Antibody Source
Polyclonal Rabbit IgG
Format
BSA Free
Concentration
Concentrations vary lot to lot. See vial label for concentration. If unlisted please contact technical services.
Product Specifications
Immunogen
This antibody was developed against Recombinant Protein corresponding to amino acids: DGRFWIRVQESVMVPEGLCISVPCSFSYPRQDWTGSTPAYGYWFKAVTETTKGAPVATNHQSREVEMSTRGRFQLTGDPAKGNCSLVIRDAQMQDESQY
Clonality
Polyclonal
Host
Rabbit
Isotype
IgG
Description
Novus Biologicals Rabbit Siglec-10 Antibody - BSA Free (NBP1-82759) is a polyclonal antibody validated for use in IHC and WB. Anti-Siglec-10 Antibody: Cited in 1 publication. All Novus Biologicals antibodies are covered by our 100% guarantee.
Scientific Data Images for Siglec-10 Antibody - BSA Free
Western Blot: Siglec-10 Antibody [NBP1-82759]
Western Blot: Siglec-10 Antibody [NBP1-82759] - Analysis in control (vector only transfected HEK293T lysate) and SIGLEC10 over-expression lysate (Co-expressed with a C-terminal myc-DDK tag (3.1 kDa) in mammalian HEK293T cells).Immunohistochemistry-Paraffin: Siglec-10 Antibody [NBP1-82759]
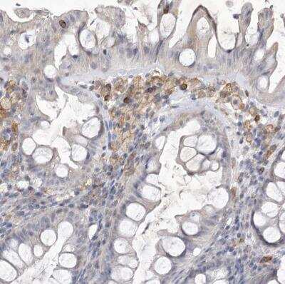
Immunohistochemistry-Paraffin: Siglec-10 Antibody [NBP1-82759] - Staining of human colon shows weak to moderate cytoplasmic/membranous positivity in lymphoid cells.Immunohistochemistry-Paraffin: Siglec-10 Antibody [NBP1-82759]
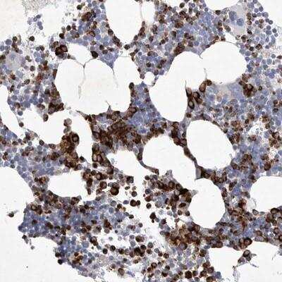
Immunohistochemistry-Paraffin: Siglec-10 Antibody [NBP1-82759] - Staining of human bone marrow shows strong cytoplasmic positivity in subsets of cells.Applications for Siglec-10 Antibody - BSA Free
Application
Recommended Usage
Immunohistochemistry
1:20 - 1:50
Immunohistochemistry-Paraffin
1:20 - 1:50
Western Blot
0.04-0.4 ug/ml
Application Notes
For IHC-Paraffin, HIER pH 6 retrieval is recommended.
Formulation, Preparation, and Storage
Purification
Affinity purified
Formulation
PBS (pH 7.2) and 40% Glycerol
Format
BSA Free
Preservative
0.02% Sodium Azide
Concentration
Concentrations vary lot to lot. See vial label for concentration. If unlisted please contact technical services.
Shipping
The product is shipped with polar packs. Upon receipt, store it immediately at the temperature recommended below.
Stability & Storage
Store at 4C short term. Aliquot and store at -20C long term. Avoid freeze-thaw cycles.
Background: Siglec-10
Long Name
Sialic Acid Binding Ig-like Lectin 10
Alternate Names
Siglec10, SLG2
Gene Symbol
SIGLEC10
Additional Siglec-10 Products
Product Documents for Siglec-10 Antibody - BSA Free
Product Specific Notices for Siglec-10 Antibody - BSA Free
This product is for research use only and is not approved for use in humans or in clinical diagnosis. Primary Antibodies are guaranteed for 1 year from date of receipt.
Loading...
Loading...
Loading...
Loading...