Skip to main content

SHP/NR0B2/Nuclear Receptor SHP Antibody

Novus Biologicals, part of Bio-Techne | Catalog # NBP1-33597

Novus Biologicals, part of Bio-Techne
Catalog #
Availability
Size / Price
Qty
Loading...
NBP1-33597

Key Product Details

Species Reactivity

Human

Applications

Immunohistochemistry, Immunohistochemistry-Paraffin, Western Blot, Immunocytochemistry/ Immunofluorescence

Label

Unconjugated

Antibody Source

Polyclonal Rabbit IgG

Concentration

Concentrations vary lot to lot. See vial label for concentration. If unlisted please contact technical services.

Product Specifications

Immunogen

Recombinant protein encompassing a sequence within the center region of human SHP/NR0B2/Nuclear Receptor SHP. The exact sequence is proprietary.

Reactivity Notes

Immunogen displays the following percentage of sequence identity for non-tested species: Mouse (80%).

Localization

Nucleus

Clonality

Polyclonal

Host

Rabbit

Isotype

IgG

Theoretical MW

28 kDa.
Disclaimer note: The observed molecular weight of the protein may vary from the listed predicted molecular weight due to post translational modifications, post translation cleavages, relative charges, and other experimental factors.

Description

Novus Biologicals Rabbit SHP/NR0B2/Nuclear Receptor SHP Antibody (NBP1-33597) is a polyclonal antibody validated for use in IHC, WB and ICC/IF. All Novus Biologicals antibodies are covered by our 100% guarantee.

Scientific Data Images for SHP/NR0B2/Nuclear Receptor SHP Antibody

SHP/NR0B2/Nuclear Receptor SHP Antibody

Western Blot: SHP/NR0B2/Nuclear Receptor SHP Antibody [NBP1-33597] -

Western Blot: SHP/NR0B2/Nuclear Receptor SHP Antibody [NBP1-33597] - Non-transfected (-) and transfected (+) 293T whole cell extracts (30 ug) were separated by 12% SDS-PAGE, and the membrane was blotted with SHP/NR0B2/Nuclear Receptor SHP antibody [N2C3] (NBP1-33597) diluted at 1:500.
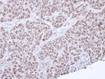
Immunohistochemistry-Paraffin: SHP/NR0B2/Nuclear Receptor SHP Antibody [NBP1-33597]

Immunohistochemistry-Paraffin: SHP/NR0B2/Nuclear Receptor SHP Antibody [NBP1-33597]

Immunohistochemistry-Paraffin: SHP/NR0B2/Nuclear Receptor SHP Antibody [NBP1-33597] - SW480 Xenograft, using NR0B2 antibody at 1:100 dilution. Antigen Retrieval: Citrate buffer, pH 6.0, 15 min

Applications for SHP/NR0B2/Nuclear Receptor SHP Antibody

Application
Recommended Usage

Immunocytochemistry/ Immunofluorescence

1:100-1:1000

Immunohistochemistry

1:100-1:1000

Immunohistochemistry-Paraffin

1:100-1:1000

Western Blot

1:500-1:3000

Formulation, Preparation, and Storage

Purification

Antigen Affinity-purified

Formulation

PBS, 1% BSA, 20% Glycerol

Preservative

0.01% Thimerosal

Concentration

Concentrations vary lot to lot. See vial label for concentration. If unlisted please contact technical services.

Shipping

The product is shipped with polar packs. Upon receipt, store it immediately at the temperature recommended below.

Stability & Storage

Aliquot and store at -20C or -80C. Avoid freeze-thaw cycles.

Background: SHP/NR0B2

The protein encoded by this gene is an unusual orphan receptor that contains a putative ligand-binding domain but lacks a conventional DNA-binding domain. The gene product is a member of the nuclear hormone receptor family, a group of transcription factors regulated by small hydrophobic hormones, a subset of which do not have known ligands and are referred to as orphan nuclear receptors. The protein has been shown to interact with retinoid and thyroid hormone receptors, inhibiting their ligand-dependent transcriptional activation. In addition, interaction with estrogen receptors has been demonstrated, leading to inhibition of function. Studies suggest that the protein represses nuclear hormone receptor-mediated transactivation via two separate steps: competition with coactivators and the direct effects of its transcriptional repressor function.

Long Name

Small Heterodimer Partner

Alternate Names

NR0B2

Gene Symbol

NR0B2

Additional SHP/NR0B2 Products

Product Documents for SHP/NR0B2/Nuclear Receptor SHP Antibody

Certificate of Analysis

To download a Certificate of Analysis, please enter a lot number in the search box below.

Product Specific Notices for SHP/NR0B2/Nuclear Receptor SHP Antibody

This product is for research use only and is not approved for use in humans or in clinical diagnosis. Primary Antibodies are guaranteed for 1 year from date of receipt.

Loading...
Loading...
Loading...
Loading...

⚠ WARNING: This product can expose you to chemicals including mercury, which is known to the State of California to cause reproductive toxicity with developmental effects.  For more information go to www.P65Warnings.ca.gov.