Skip to main content

SHANK3 Antibody - BSA Free

Novus Biologicals, part of Bio-Techne | Catalog # NBP2-41171

Novus Biologicals, part of Bio-Techne

Key Product Details

Species Reactivity

Validated:

Human, Mouse

Cited:

Mouse

Applications

Validated:

Immunohistochemistry, Immunohistochemistry-Paraffin, Western Blot, ELISA, Immunocytochemistry/ Immunofluorescence

Cited:

Western Blot

Label

Unconjugated

Antibody Source

Polyclonal Rabbit IgG

Format

BSA Free

Concentration

1 mg/ml

Product Specifications

Immunogen

Antibody was raised against a 19 amino acid synthetic peptide near the center of human SHANK3. The immunogen is located within amino acids 890 - 940 of SHANK3. Amino Acid Squence: APRPPPAATPPERPKRRPR

Specificity

At least three alternatively spliced transcript isoforms of SHANK3 are known to exist.

Clonality

Polyclonal

Host

Rabbit

Isotype

IgG

Description

Novus Biologicals Rabbit SHANK3 Antibody - BSA Free (NBP2-41171) is a polyclonal antibody validated for use in IHC, WB, ELISA and ICC/IF. Anti-SHANK3 Antibody: Cited in 1 publication. All Novus Biologicals antibodies are covered by our 100% guarantee.

Scientific Data Images for SHANK3 Antibody - BSA Free

Western Blot: SHANK3 AntibodyBSA Free [NBP2-41171]

Western Blot: SHANK3 AntibodyBSA Free [NBP2-41171]

Western Blot: SHANK3 Antibody [NBP2-41171] - Western blot analysis of SHANK3 in 3T3 cell lysate with SHANK3 antibody at 1 ug/ml in (A) the absence and (B) the presence of blocking peptide.
SHANK3 Antibody - BSA Free

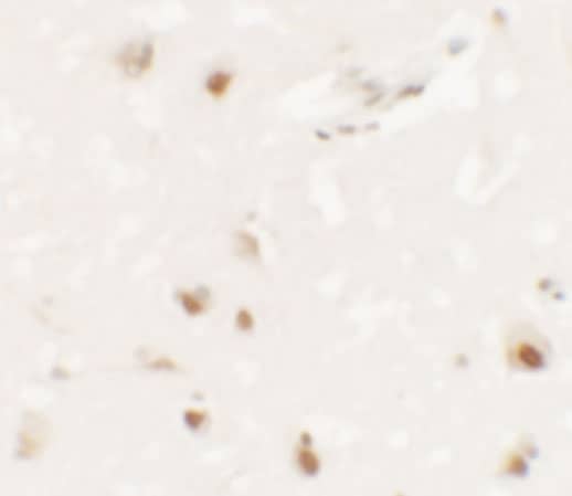
Immunohistochemistry: SHANK3 Antibody - BSA Free [NBP2-41171] -

Immunohistochemistry: SHANK3 Antibody - BSA Free [NBP2-41171] - Immunohistochemistry of SHANK3 in human brain tissue with SHANK3 antibody at 2.5 ug/mL.
SHANK3 Antibody - BSA Free

Immunocytochemistry/ Immunofluorescence: SHANK3 Antibody - BSA Free [NBP2-41171] -

Immunocytochemistry/ Immunofluorescence: SHANK3 Antibody - BSA Free [NBP2-41171] - Immunofluorescence of SHANK3 in human brain tissue with SHANK3 antibody at 20 ug/mL.

Applications for SHANK3 Antibody - BSA Free

Application
Recommended Usage

Immunocytochemistry/ Immunofluorescence

2.5 ug/mL

Immunohistochemistry

2.5 ug/mL

Immunohistochemistry-Paraffin

2.5 ug/ml

Western Blot

1 ug/mL

Formulation, Preparation, and Storage

Purification

Peptide affinity purified

Formulation

PBS

Format

BSA Free

Preservative

0.02% Sodium Azide

Concentration

1 mg/ml

Shipping

The product is shipped with polar packs. Upon receipt, store it immediately at the temperature recommended below.

Stability & Storage

Store at 4C short term. Aliquot and store at -20C long term. Avoid freeze-thaw cycles.

Background: SHANK3

The SHANK3 gene encodes a SH3 and multiple ankyrin repeat domain protein 3 that in isoform 1 is 1,741 amino acids long at 186 kDA and in isoform 2 is 1,732 amino acids long at 185 kDA. This protein functions as an adaptor in postsynaptic density of excitatory synapses. Through complexes that include GKAP/PSD-95 and Homer and the actin-based cytoskeleton, these excitatory synapses are connected with the postsynaptic membrane including NMDA-type and metabotropic glutamate receptor. Additionally, this protein may function in structural and organizational projects of the dendritic spine and the synaptic junction. SHANK3 gene participates in cytoplasmic microtubules, glutamatergic synapses, and signaling events regulated by ret tyrosine kinase. It is known to interact with genes PLCG1, FYN, SRC, ABL1, and PIK3R1. Defects in SHANK3 are associated with autism spectrum disorders and schizophrenia type 15. It is also associated with phelan-mcdermid syndrome, cerebritis, prostatitis, neuronitis, dementia, prostate cancer, hypogonadism, hepatitis a, jacobsen syndrome, and trisomy 22.

Alternate Names

DEL22q13.3, KIAA1650proline rich synapse associated protein 2, Proline-rich synapse-associated protein 2, ProSAP2, PSAP2SH3 and multiple ankyrin repeat domains protein 3, SH3 and multiple ankyrin repeat domains 3, shank postsynaptic density protein, Shank3, SPANK-2

Gene Symbol

SHANK3

Additional SHANK3 Products

Product Documents for SHANK3 Antibody - BSA Free

Certificate of Analysis

To download a Certificate of Analysis, please enter a lot number in the search box below.

Product Specific Notices for SHANK3 Antibody - BSA Free

This product is for research use only and is not approved for use in humans or in clinical diagnosis. Primary Antibodies are guaranteed for 1 year from date of receipt.

Loading...
Loading...
Loading...
Loading...