Skip to main content

SF2 Antibody (3J5Q9)

Novus Biologicals, part of Bio-Techne | Catalog # NBP3-16329

Recombinant Monoclonal Antibody
Novus Biologicals, part of Bio-Techne
Catalog #
Availability
Size / Price
Qty
Loading...
NBP3-16329-100ul
NBP3-16329-20ul

Key Product Details

Species Reactivity

Human, Mouse, Rat

Applications

Immunohistochemistry, Immunohistochemistry-Paraffin, Western Blot

Label

Unconjugated

Antibody Source

Recombinant Monoclonal Rabbit IgG Clone # 3J5Q9 expressed in HEK293

Concentration

Please see the vial label for concentration. If unlisted please contact technical services.

Product Specifications

Immunogen

A synthetic peptide corresponding to a sequence within amino acids 100-200 of human SF2 (NP_008855.1). GGGGGGGAPRGRYGPPSRRSENRVVVSGLPPSGSWQDLKDHMREAGDVCYADVYRDGTGVVEFVRKEDMTYAVRKLDNTKFRSHEGETAYIRVKVDGPRSP

Clonality

Monoclonal

Host

Rabbit

Isotype

IgG

Description

Novus Biologicals Rabbit SF2 Antibody (3J5Q9) (NBP3-16329) is a recombinant monoclonal antibody validated for use in IHC and WB. All Novus Biologicals antibodies are covered by our 100% guarantee.

Scientific Data Images for SF2 Antibody (3J5Q9)

SF2 Antibody (3J5Q9)

Western Blot: SF2 Antibody (3J5Q9) [NBP3-16329] -

Western Blot: SF2 Antibody (3J5Q9) [NBP3-16329] - Western blot analysis of various lysates, using SF2 Rabbit mAb at 1:3000 dilution.
Secondary antibody: HRP-conjugated Goat anti-Rabbit IgG (H+L) at 1:10000 dilution.
Lysates/proteins: 25ug per lane.
Blocking buffer: 3% nonfat dry milk in TBST.
Detection: ECL Basic Kit.
Exposure time: 10s.
SF2 Antibody (3J5Q9)

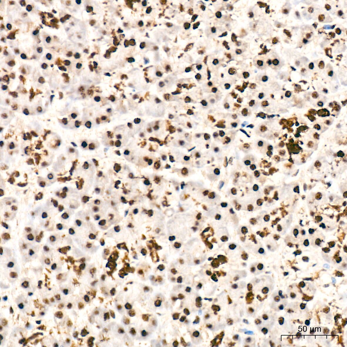
Immunohistochemistry: SF2 Antibody (3J5Q9) [NBP3-16329] -

Immunohistochemistry: SF2 Antibody (3J5Q9) [NBP3-16329] - Immunohistochemistry analysis of paraffin-embedded Mouse colon tissue using SF2 Rabbit mAb at a dilution of 1:1000 (40x lens). High pressure antigen retrieval was performed with 0.01 M citrate buffer (pH 6.0) prior to IHC staining.
SF2 Antibody (3J5Q9)

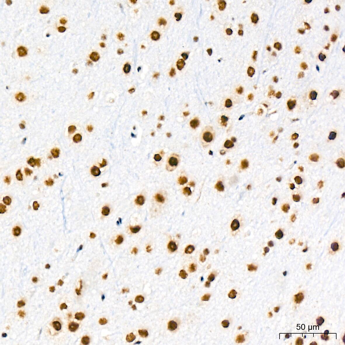
Immunohistochemistry: SF2 Antibody (3J5Q9) [NBP3-16329] -

Immunohistochemistry: SF2 Antibody (3J5Q9) [NBP3-16329] - Immunohistochemistry analysis of paraffin-embedded Mouse brain tissue using SF2 Rabbit mAb at a dilution of 1:1000 (40x lens). High pressure antigen retrieval was performed with 0.01 M citrate buffer (pH 6.0) prior to IHC staining.

Applications for SF2 Antibody (3J5Q9)

Application
Recommended Usage

Immunohistochemistry

1:50 - 1:200

Western Blot

1:500 - 1:1000

Formulation, Preparation, and Storage

Purification

Affinity purified

Formulation

PBS (pH 7.3), 50% glycerol, 0.05% BSA

Preservative

0.02% Sodium Azide

Concentration

Please see the vial label for concentration. If unlisted please contact technical services.

Shipping

The product is shipped with polar packs. Upon receipt, store it immediately at the temperature recommended below.

Stability & Storage

Store at -20C. Avoid freeze-thaw cycles.

Background: SF2

SF2 encodes a member of the arginine/serine-rich splicing factor protein family, and functions in both constitutive and alternative pre-mRNA splicing. The protein binds to pre-mRNA transcripts and components of the spliceosome, and can either activate or repress splicing depending on the location of the pre-mRNA binding site. The protein's ability to activate splicing is regulated by phosphorylation and interactions with other splicing factor associated proteins. Multiple transcript variants encoding different isoforms have been found for this gene. [provided by RefSeq]

Alternate Names

Alternative-splicing factor 1, ASFpre-mRNA-splicing factor SF2, P33 subunit, MGC5228, serine/arginine-rich splicing factor 1, SF2FLJ53078, SF2p33, SFRS1splicing factor 2, Splicing factor, arginine/serine-rich 1ASF-1, SR splicing factor 1, SRp30a

Gene Symbol

SRSF1

Additional SF2 Products

Product Documents for SF2 Antibody (3J5Q9)

Certificate of Analysis

To download a Certificate of Analysis, please enter a lot number in the search box below.

Product Specific Notices for SF2 Antibody (3J5Q9)

This product is for research use only and is not approved for use in humans or in clinical diagnosis. Primary Antibodies are guaranteed for 1 year from date of receipt.

Loading...
Loading...
Loading...
Loading...