Skip to main content

S100A4 Antibody - BSA Free

Novus Biologicals, part of Bio-Techne | Catalog # NBP1-89402

Novus Biologicals, part of Bio-Techne
Catalog #
Availability
Size / Price
Qty
Loading...
NBP1-89402
NBP1-89402-25ul

Key Product Details

Validated by

Knockout/Knockdown, Orthogonal Validation

Species Reactivity

Validated:

Human, Mouse, Rat, Porcine

Cited:

Human, Porcine

Applications

Validated:

Immunohistochemistry, Immunohistochemistry-Paraffin, Western Blot, Immunocytochemistry/ Immunofluorescence, Knockdown Validated

Cited:

Immunocytochemistry/ Immunofluorescence, IF/IHC

Label

Unconjugated

Antibody Source

Polyclonal Rabbit IgG

Format

BSA Free

Concentration

Concentrations vary lot to lot. See vial label for concentration. If unlisted please contact technical services.

Product Specifications

Immunogen

This antibody was developed against Recombinant Protein corresponding to amino acids: MACPLEKALDVMVSTFHKYSGKEGDKFKLNKSELKELLTRELPSFLGKRTDEAAFQKLMSNLDSNRDNEVDFQEYCVFLSCIAMMCNEFFEGFPDKQPRKK

Reactivity Notes

Porcine reactivity reported in the scientific literature (PMID: 26379359).

Clonality

Polyclonal

Host

Rabbit

Isotype

IgG

Theoretical MW

12 kDa.
Disclaimer note: The observed molecular weight of the protein may vary from the listed predicted molecular weight due to post translational modifications, post translation cleavages, relative charges, and other experimental factors.

Description

Novus Biologicals Rabbit S100A4 Antibody - BSA Free (NBP1-89402) is a polyclonal antibody validated for use in IHC, WB and ICC/IF. Anti-S100A4 Antibody: Cited in 4 publications. All Novus Biologicals antibodies are covered by our 100% guarantee.

Scientific Data Images for S100A4 Antibody - BSA Free

Immunohistochemistry-Paraffin: S100A4 Antibody [NBP1-89402]

Immunohistochemistry-Paraffin: S100A4 Antibody [NBP1-89402]

Immunohistochemistry-Paraffin: S100A4 Antibody [NBP1-89402] - Analysis in human lymph node and cerebral cortex tissues using NBP1-89402 antibody. Corresponding S100A4 RNA-seq data are presented for the same tissues.
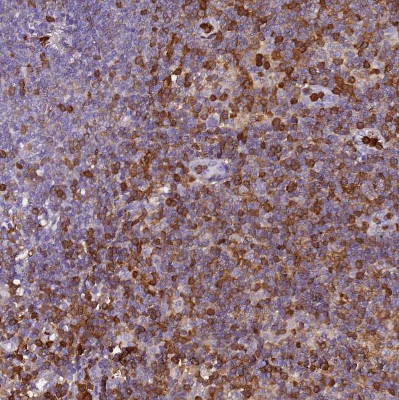
S100A4 Antibody - BSA Free Immunohistochemistry-Paraffin: S100A4 Antibody - BSA Free [NBP1-89402]

Immunohistochemistry-Paraffin: S100A4 Antibody - BSA Free [NBP1-89402]

Staining of human lymph node shows strong cytoplasmic positivity in non-germinal center cells.
Immunohistochemistry-Paraffin: S100A4 Antibody [NBP1-89402]

Immunohistochemistry-Paraffin: S100A4 Antibody [NBP1-89402]

Immunohistochemistry-Paraffin: S100A4 Antibody [NBP1-89402] - Staining of human cerebral cortex shows no positivity in neurons as expected.

Applications for S100A4 Antibody - BSA Free

Application
Recommended Usage

Immunocytochemistry/ Immunofluorescence

Reported in scientific literature (PMID: 26056290)

Immunohistochemistry

1:1000 - 1:2500

Immunohistochemistry-Paraffin

1:1000 - 1:2500

Western Blot

0.04 - 0.4 ug/ml
Application Notes
For IHC-Paraffin, HIER pH 6 retrieval is recommended.

Formulation, Preparation, and Storage

Purification

Immunogen affinity purified

Formulation

PBS (pH 7.2) and 40% Glycerol

Format

BSA Free

Preservative

0.02% Sodium Azide

Concentration

Concentrations vary lot to lot. See vial label for concentration. If unlisted please contact technical services.

Shipping

The product is shipped with polar packs. Upon receipt, store it immediately at the temperature recommended below.

Stability & Storage

Store at 4C short term. Aliquot and store at -20C long term. Avoid freeze-thaw cycles.

Background: S100A4

S100A4 is encoded by this gene is a member of the S100 family of proteins containing 2 EF-hand calcium-binding motifs. S100 proteins are localized in the cytoplasm and/or nucleus of a wide range of cells, and involved in the regulation of a number of cellular processes such as cell cycle progression and differentiation. S100 genes include at least 13 members which are located as a cluster on chromosome 1q21. This protein may function in motility, invasion, and tubulin polymerization. Chromosomal rearrangements and altered expression of this gene have been implicated in tumor metastasis. Multiple alternatively spliced variants, encoding the same protein, have been identified.

Long Name

S100 Calcium Binding Protein A4

Alternate Names

18A2, 42A, CAPL, MTS1, P9KA, PEL98

Entrez Gene IDs

6275 (Human)

Gene Symbol

S100A4

UniProt

Additional S100A4 Products

Product Documents for S100A4 Antibody - BSA Free

Certificate of Analysis

To download a Certificate of Analysis, please enter a lot number in the search box below.

Product Specific Notices for S100A4 Antibody - BSA Free

This product is for research use only and is not approved for use in humans or in clinical diagnosis. Primary Antibodies are guaranteed for 1 year from date of receipt.

Loading...
Loading...
Loading...
Loading...