Skip to main content

S100A4 Antibody (1C4) - BSA Free

Novus Biologicals, part of Bio-Techne | Catalog # NBP2-36431

Novus Biologicals, part of Bio-Techne
Catalog #
Availability
Size / Price
Qty
Loading...
NBP2-36431SS
NBP2-36431

Key Product Details

Validated by

Knockout/Knockdown

Species Reactivity

Validated:

Human

Cited:

Human

Applications

Validated:

Knockout Validated, Immunohistochemistry, Immunohistochemistry-Paraffin, Western Blot, Flow Cytometry, Immunocytochemistry/ Immunofluorescence

Cited:

Western Blot, Flow Cytometry

Label

Unconjugated

Antibody Source

Monoclonal Mouse IgG2b Lambda Clone # 1C4

Format

BSA Free

Concentration

1.0 mg/ml

Product Specifications

Immunogen

Partial recombinant human S100A4 protein (between amino acids 1-200) [UniProt P26447].

Clonality

Monoclonal

Host

Mouse

Isotype

IgG2b Lambda

Theoretical MW

11.7 kDa.
Disclaimer note: The observed molecular weight of the protein may vary from the listed predicted molecular weight due to post translational modifications, post translation cleavages, relative charges, and other experimental factors.

Description

Novus Biologicals Knockout (KO) Validated Mouse S100A4 Antibody (1C4) - BSA Free (NBP2-36431) is a monoclonal antibody validated for use in IHC, WB, Flow and ICC/IF. Anti-S100A4 Antibody: Cited in 2 publications. All Novus Biologicals antibodies are covered by our 100% guarantee.

Scientific Data Images for S100A4 Antibody (1C4) - BSA Free

Knockout Validated: S100A4 Antibody (1C4) - BSA Free [NBP2-36431]

Western Blot: S100A4 Antibody (1C4) - BSA Free [NBP2-36431]

Western Blot: S100A4 Antibody (1C4) [NBP2-36431] - Western blot shows lysates of HeLa human cervical epithelial carcinoma parental cell line and S100A4 knockout (KO) HeLa cell line. PVDF membrane was probed with Mouse Anti-Human S100A4 Monoclonal Antibody (Catalog # NBP2-36431) followed by HRP-conjugated Anti-Rabbit IgG Secondary Antibody (Catalog #HAF008). Specific band was detected for S100A4 at approximately 12 kDa (as indicated) in the parental HeLa cell line, but is not detectable in the knockout HeLa cell line. This experiment was conducted under reducing conditions.
Western Blot: S100A4 Antibody (1C4)BSA Free [NBP2-36431]

Western Blot: S100A4 Antibody (1C4)BSA Free [NBP2-36431]

Western Blot: S100A4 Antibody (1C4) [NBP2-36431] - WB analysis of S100A4 recombinant protein with S100A4 antibody (clone 1C4) at 0.5 ug/ml concentration.
Immunocytochemistry/ Immunofluorescence: S100A4 Antibody (1C4) - BSA Free [NBP2-36431]

Immunocytochemistry/ Immunofluorescence: S100A4 Antibody (1C4) - BSA Free [NBP2-36431]

Immunocytochemistry/Immunofluorescence: S100A4 Antibody (1C4) [NBP2-36431] - S100A4 (1C4) antibody was tested in HeLa cells with Dylight 488 (green). Nuclei and alpha-tubulin were counterstained with DAPI (blue) and Dylight 550 (red).

Applications for S100A4 Antibody (1C4) - BSA Free

Application
Recommended Usage

Immunocytochemistry/ Immunofluorescence

1:50 - 1:100

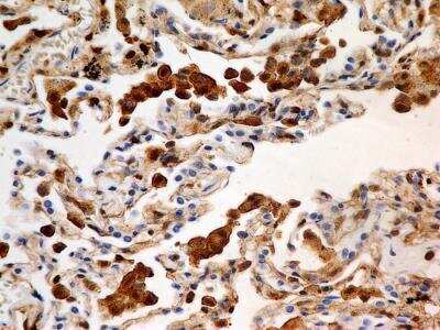
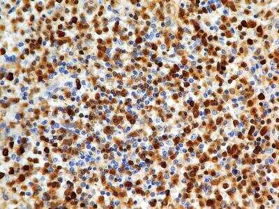
Immunohistochemistry

5 ug/ml

Immunohistochemistry-Paraffin

5 ug/ml

Western Blot

1.0 ug/ml

Formulation, Preparation, and Storage

Purification

Protein G purified

Formulation

PBS

Format

BSA Free

Preservative

0.05% Sodium Azide

Concentration

1.0 mg/ml

Shipping

The product is shipped with polar packs. Upon receipt, store it immediately at the temperature recommended below.

Stability & Storage

Store at 4C short term. Aliquot and store at -20C long term. Avoid freeze-thaw cycles.

Background: S100A4

S100A4 belongs to the S100 super-family of proteins containing 2 EF-hand calcium binding domains. This protein is ubiquitously overexpressed and is localized in the cytoplasm and/or nucleus. S100A4 may play a role in motility, invasion, and tubulin polymerization. Chromosomal rearrangements and altered expression of the S100A4 have been implicated in tumor metastasis. Recombinant mouse S100A4 protein, fused to His-tag at N-terminus, was expressed in E.coli and purified by using conventional chromatography techniques.

Long Name

S100 Calcium Binding Protein A4

Alternate Names

18A2, 42A, CAPL, MTS1, P9KA, PEL98

Entrez Gene IDs

6275 (Human)

Gene Symbol

S100A4

UniProt

Additional S100A4 Products

Product Documents for S100A4 Antibody (1C4) - BSA Free

Certificate of Analysis

To download a Certificate of Analysis, please enter a lot number in the search box below.

Product Specific Notices for S100A4 Antibody (1C4) - BSA Free

This product is for research use only and is not approved for use in humans or in clinical diagnosis. Primary Antibodies are guaranteed for 1 year from date of receipt.

Loading...
Loading...
Loading...
Loading...
Loading...