Skip to main content

RPS2 Antibody - BSA Free

Novus Biologicals, part of Bio-Techne | Catalog # NBP3-38319

Novus Biologicals, part of Bio-Techne
Catalog #
Availability
Size / Price
Qty
Loading...
NBP3-38319-20ul
NBP3-38319-100ul

Key Product Details

Species Reactivity

Human, Mouse, Rat

Applications

Immunohistochemistry, Immunohistochemistry-Paraffin, Western Blot, ELISA

Label

Unconjugated

Antibody Source

Polyclonal Rabbit IgG

Format

BSA Free

Concentration

Please see the vial label for concentration. If unlisted please contact technical services.

Product Specifications

Immunogen

Recombinant fusion protein containing a sequence corresponding to amino acids 1-293 of human RPS2 (NP_002943.2).

Sequence:
MADDAGAAGGPGGPGGPGMGNRGGFRGGFGSGIRGRGRGRGRGRGRGRGARGGKAEDKEWMPVTKLGRLVKDMKIKSLEEIYLFSLPIKESEIIDFFLGASLKDEVLKIMPVQKQTRAGQRTRFKAFVAIGDYNGHVGLGVKCSKEVATAIRGAIILAKLSIVPVRRGYWGNKIGKPHTVPCKVTGRCGSVLVRLIPAPRGTGIVSAPVPKKLLMMAGIDDCYTSARGCTATLGNFAKATFDAISKTYSYLTPDLWKETVFTKSPYQEFTDHLVKTHTRVSVQRTQAPAVATT

Clonality

Polyclonal

Host

Rabbit

Isotype

IgG

Theoretical MW

31 kDa.
Disclaimer note: The observed molecular weight of the protein may vary from the listed predicted molecular weight due to post translational modifications, post translation cleavages, relative charges, and other experimental factors.

Description

Novus Biologicals Rabbit RPS2 Antibody - BSA Free (NBP3-38319) is a polyclonal antibody validated for use in IHC, WB and ELISA. All Novus Biologicals antibodies are covered by our 100% guarantee.

Scientific Data Images for RPS2 Antibody - BSA Free

RPS2 Antibody

Immunohistochemistry: RPS2 Antibody [NBP3-38319] -

Immunohistochemistry: RPS2 Antibody [NBP3-38319] - Immunohistochemistry analysis of paraffin-embedded Mouse kidney using RPS2 Rabbit pAb at dilution of 1:100 (40x lens). Microwave antigen retrieval performed with 0.01M PBS Buffer (pH 7.2) prior to IHC staining.
RPS2 Antibody

Immunohistochemistry: RPS2 Antibody [NBP3-38319] -

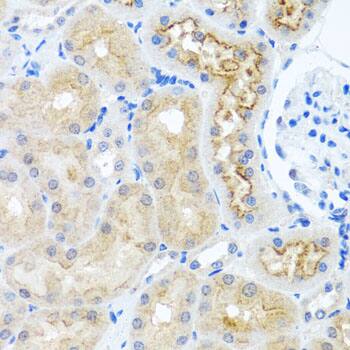
Immunohistochemistry: RPS2 Antibody [NBP3-38319] - Immunohistochemistry analysis of paraffin-embedded Rat kidney using RPS2 Rabbit pAb at dilution of 1:100 (40x lens). Microwave antigen retrieval performed with 0.01M PBS Buffer (pH 7.2) prior to IHC staining.
RPS2 Antibody

Western Blot: RPS2 Antibody [NBP3-38319] -

Western Blot: RPS2 Antibody [NBP3-38319] - Western blot analysis of various lysates using RPS2 Rabbit pAb at 1:1000 dilution.
Secondary antibody: HRP-conjugated Goat anti-Rabbit IgG (H+L) at 1:10000 dilution.
Lysates/proteins: 25ug per lane.
Blocking buffer: 3% nonfat dry milk in TBST.
Detection: ECL Basic Kit.
Exposure time: 15s.

Applications for RPS2 Antibody - BSA Free

Application
Recommended Usage

Immunohistochemistry-Paraffin

1:50 - 1:200

Western Blot

1:500 - 1:2000

Formulation, Preparation, and Storage

Purification

Affinity purified

Formulation

PBS (pH 7.3), 50% glycerol

Format

BSA Free

Preservative

0.02% Sodium Azide

Concentration

Please see the vial label for concentration. If unlisted please contact technical services.

Shipping

The product is shipped with polar packs. Upon receipt, store it immediately at the temperature recommended below.

Stability & Storage

Store at -20C. Avoid freeze-thaw cycles.

Background: RPS2

Ribosomes, the organelles that catalyze protein synthesis, consist of a small 40S subunit and a large 60S subunit. Together these subunits are composed of 4 RNA species and approximately 80 structurally distinct proteins. This gene encodes a ribosomal protein that is a component of the 40S subunit. The protein belongs to the S5P family of ribosomal proteins. It is located in the cytoplasm. This gene shares sequence similarity with mouse LLRep3. It is co-transcribed with the small nucleolar RNA gene U64, which is located in its third intron. As is typical for genes encoding ribosomal proteins, there are multiple processed pseudogenes of this gene dispersed through the genome.

Alternate Names

LLREP3, MGC102851, MGC117344, MGC117345,40S ribosomal protein S4, OK/KNS-cl.6,40S ribosomal protein S2, Protein LLRep3, ribosomal protein S2, RPS4

Gene Symbol

RPS2

Additional RPS2 Products

Product Documents for RPS2 Antibody - BSA Free

Certificate of Analysis

To download a Certificate of Analysis, please enter a lot number in the search box below.

Product Specific Notices for RPS2 Antibody - BSA Free

This product is for research use only and is not approved for use in humans or in clinical diagnosis. Primary Antibodies are guaranteed for 1 year from date of receipt.

Loading...
Loading...
Loading...
Loading...