RNA Polymerase II/POLR2A [p Ser5] Antibody (10C7U2)
Novus Biologicals, part of Bio-Techne | Catalog # NBP3-16910
Recombinant Monoclonal Antibody
Key Product Details
Validated by
Biological Validation
Species Reactivity
Human, Mouse, Rat
Applications
Immunohistochemistry, Immunohistochemistry-Paraffin, Western Blot, Immunocytochemistry/ Immunofluorescence
Label
Unconjugated
Antibody Source
Recombinant Monoclonal Rabbit IgG Clone # 10C7U2 expressed in HEK293
Concentration
Please see the vial label for concentration. If unlisted please contact technical services.
Product Specifications
Immunogen
A phospho specific peptide corresponding to residues surrounding S5 of human RNA Polymerase II/POLR2A (P24928).
Modification
p Ser 5
Clonality
Monoclonal
Host
Rabbit
Isotype
IgG
Description
Novus Biologicals Rabbit RNA Polymerase II/POLR2A [p Ser5] Antibody (10C7U2) (NBP3-16910) is a recombinant monoclonal antibody validated for use in IHC, WB and ICC/IF. All Novus Biologicals antibodies are covered by our 100% guarantee.
Scientific Data Images for RNA Polymerase II/POLR2A [p Ser5] Antibody (10C7U2)
Western Blot: RNA Polymerase II/POLR2A [p Ser5] Antibody (10C7U2) [NBP3-16910] - Western blot analysis of extracts of various cell lines, using RNA Polymerase II/POLR2A Rabbit mAb (NBP3-16910) at 1:1000 dilution.MCF7 cells were treated by Doxorubicin (0.5 uM) at 37C for 24 hours or treated by nocodazole (50 ng/mL) at 37C for 20 hours or treated by CIP(20uL/400ul) at 37C for 1 hour.C2C12 cells were treated by CIP(20uL/400ul) at 37C for 1 hour. Secondary antibody: HRP Goat Anti-Rabbit IgG (H+L) at 1:10000 dilution. Lysates/proteins: 25ug per lane. Blocking buffer: 3% BSA. Detection: ECL Basic Kit. Exposure time: 1s.
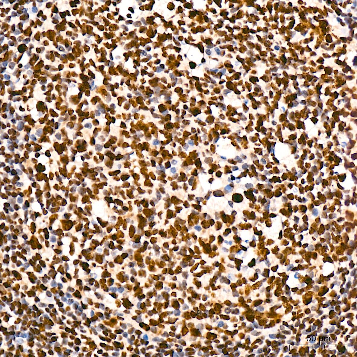
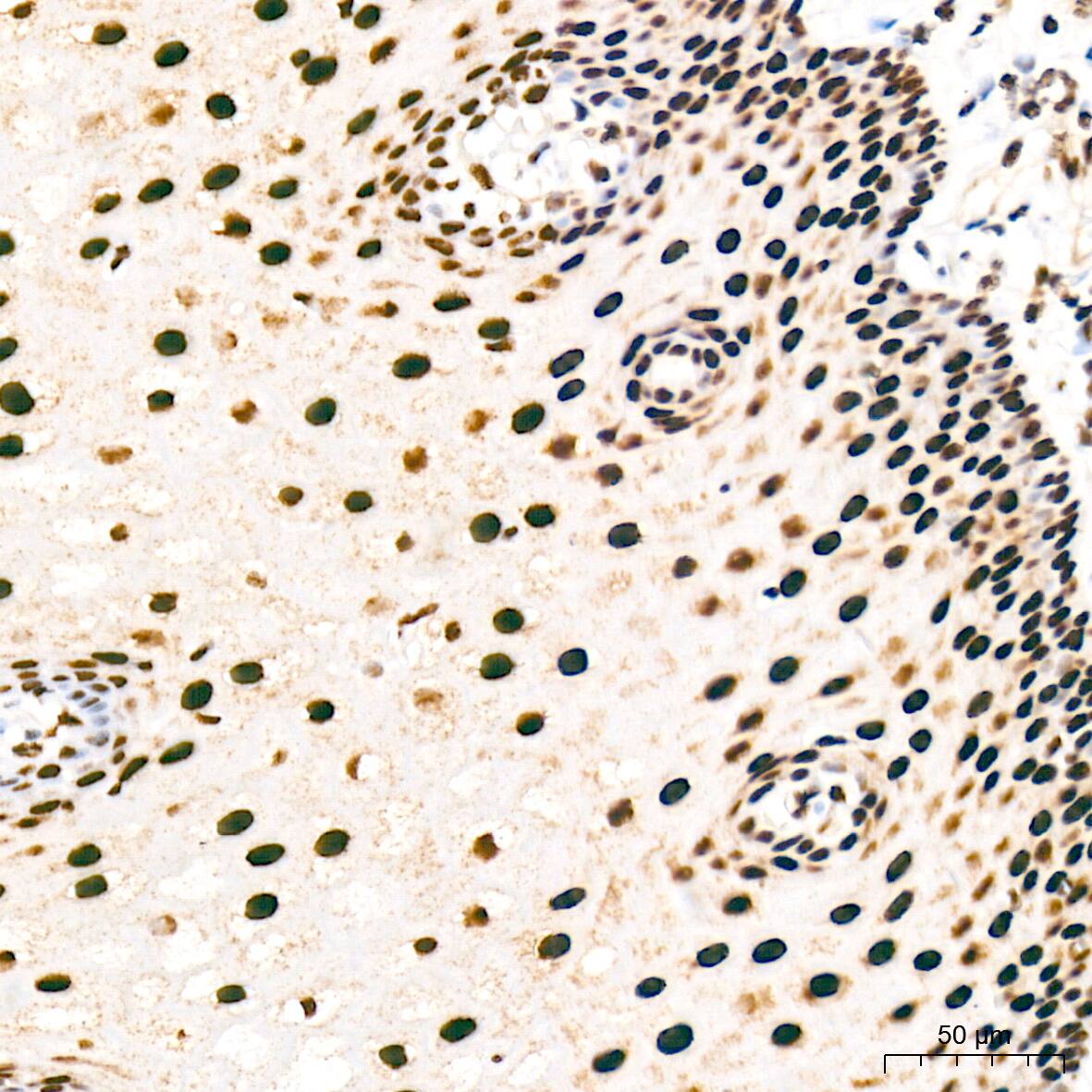
Immunohistochemistry: RNA Polymerase II/POLR2A [p Ser5] Antibody (10C7U2) [NBP3-16910] -
Immunohistochemistry: RNA Polymerase II/POLR2A [p Ser5] Antibody (10C7U2) [NBP3-16910] - Immunohistochemistry analysis of paraffin-embedded Human breast tissue using RNA Polymerase II/POLR2A Rabbit mAb at a dilution of 1:200 (40x lens). High pressure antigen retrieval was performed with 0.01 M citrate buffer (pH 6.0) prior to IHC staining.Immunocytochemistry/ Immunofluorescence: RNA Polymerase II/POLR2A [p Ser5] Antibody (10C7U2) [NBP3-16910] -
Immunocytochemistry/ Immunofluorescence: RNA Polymerase II/POLR2A [p Ser5] Antibody (10C7U2) [NBP3-16910] - Immunofluorescence analysis of A-549 cells using RNA Polymerase II/POLR2A Rabbit mAb at dilution of 1:50 (40x lens). Secondary antibody: Cy3-conjugated Goat anti-Rabbit IgG (H+L) at 1:500 dilution. Blue: DAPI for nuclear staining.Applications for RNA Polymerase II/POLR2A [p Ser5] Antibody (10C7U2)
Application
Recommended Usage
Immunocytochemistry/ Immunofluorescence
1:50 - 1:200
Immunohistochemistry
1:50 - 1:200
Immunohistochemistry-Paraffin
1:50 - 1:200
Western Blot
1:500 - 1:1000
Formulation, Preparation, and Storage
Purification
Affinity purified
Formulation
PBS (pH 7.3), 50% glycerol, 0.05% BSA
Preservative
0.02% Sodium Azide
Concentration
Please see the vial label for concentration. If unlisted please contact technical services.
Shipping
The product is shipped with polar packs. Upon receipt, store it immediately at the temperature recommended below.
Stability & Storage
Store at -20C. Avoid freeze-thaw cycles.
Background: RNA Polymerase II/POLR2A
Long Name
DNA-directed RNA Polymerase II Subunit RPB1
Alternate Names
POLR2, POLR2A, POLRA, RPB1, RPO2, RPOL2
Gene Symbol
POLR2A
Additional RNA Polymerase II/POLR2A Products
Product Documents for RNA Polymerase II/POLR2A [p Ser5] Antibody (10C7U2)
Product Specific Notices for RNA Polymerase II/POLR2A [p Ser5] Antibody (10C7U2)
This product is for research use only and is not approved for use in humans or in clinical diagnosis. Primary Antibodies are guaranteed for 1 year from date of receipt.
Loading...
Loading...
Loading...
Loading...