Skip to main content

RNA Helicase A Antibody (2I6C5)

Novus Biologicals, part of Bio-Techne | Catalog # NBP3-16435

Recombinant Monoclonal Antibody
Novus Biologicals, part of Bio-Techne
Catalog #
Availability
Size / Price
Qty
Loading...
NBP3-16435-100ul
NBP3-16435-20ul

Key Product Details

Species Reactivity

Human, Mouse, Rat

Applications

Immunohistochemistry, Immunohistochemistry-Paraffin, Western Blot, ELISA, Immunocytochemistry/ Immunofluorescence, Immunoprecipitation

Label

Unconjugated

Antibody Source

Recombinant Monoclonal Rabbit IgG Clone # 2I6C5 expressed in HEK293

Concentration

Please see the vial label for concentration. If unlisted please contact technical services.

Product Specifications

Immunogen

A synthetic peptide corresponding to a sequence within amino acids 1100-1200 of human RNA Helicase A (Q08211). ITGLRAAMEALVVEVTKQPAIISQLDPVNERMLNMIRQISRPSAAGINLMIGSTRYGDGPRPPKMARYDNGSGYRRGGSSYSGGGYGGGYSSGGYGSGGYG

Clonality

Monoclonal

Host

Rabbit

Isotype

IgG

Theoretical MW

141 kDa.
Disclaimer note: The observed molecular weight of the protein may vary from the listed predicted molecular weight due to post translational modifications, post translation cleavages, relative charges, and other experimental factors.

Description

Novus Biologicals Rabbit RNA Helicase A Antibody (2I6C5) (NBP3-16435) is a recombinant monoclonal antibody validated for use in IHC, WB, ELISA, ICC/IF and IP. All Novus Biologicals antibodies are covered by our 100% guarantee.

Scientific Data Images for RNA Helicase A Antibody (2I6C5)

Western Blot: RNA Helicase A Antibody (2I6C5) [NBP3-16435]

Western Blot: RNA Helicase A Antibody (2I6C5) [NBP3-16435]

Western Blot: RNA Helicase A Antibody (2I6C5) [NBP3-16435] - Western blot analysis of extracts of various cell lines, using DHX9/RNA Helicase A Rabbit mAb (NBP3-16435) at 1:1000 dilution. Secondary antibody: HRP Goat Anti-Rabbit IgG (H+L) at 1:10000 dilution. Lysates/proteins: 25ug per lane. Blocking buffer: 3% nonfat dry milk in TBST. Detection: ECL Basic Kit. Exposure time: 1s.
Immunoprecipitation: RNA Helicase A Antibody (2I6C5) [NBP3-16435]

Immunoprecipitation: RNA Helicase A Antibody (2I6C5) [NBP3-16435]

Immunoprecipitation: RNA Helicase A Antibody (2I6C5) [NBP3-16435] - Immunoprecipitation analysis of 300ug extracts of HeLa cells using 3ug DHX9/RNA Helicase A antibody (NBP3-16435). Western blot was performed from the immunoprecipitate using DHX9/RNA Helicase A antibody (NBP3-16435) at a dilition of 1:2000.
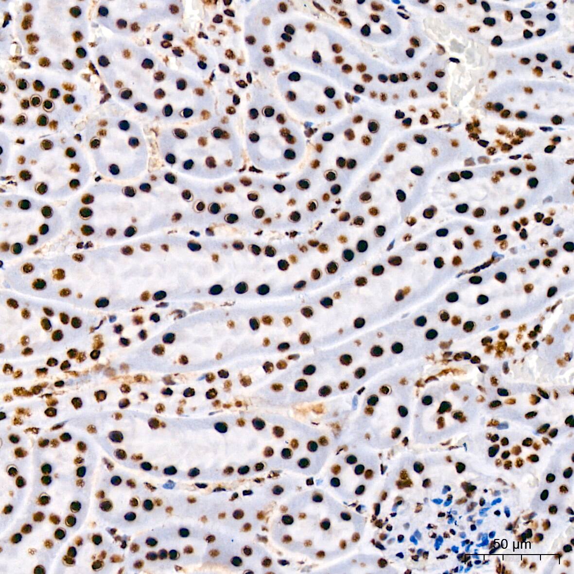
RNA Helicase A Antibody (2I6C5)

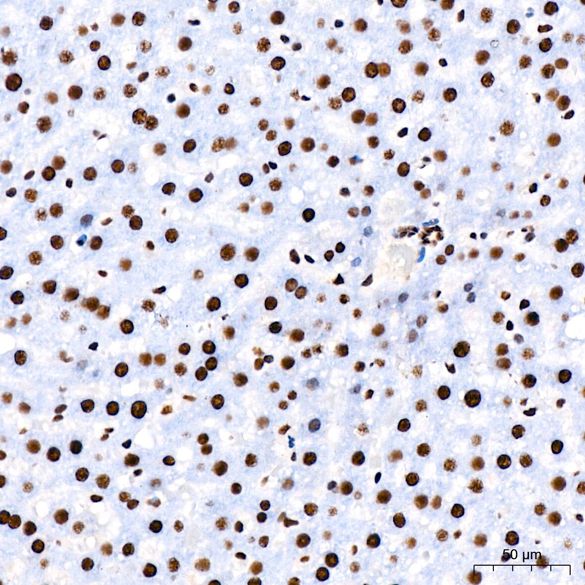
Immunohistochemistry: RNA Helicase A Antibody (2I6C5) [NBP3-16435] -

Immunohistochemistry: RNA Helicase A Antibody (2I6C5) [NBP3-16435] - Immunohistochemistry analysis of paraffin-embedded Rat brain using RNA Helicase A Rabbit mAb at dilution of 1:200 (40x lens). High pressure antigen retrieval performed with 0.01M Citrate Bufferr (pH 6.0) prior to IHC staining.

Applications for RNA Helicase A Antibody (2I6C5)

Application
Recommended Usage

ELISA

Recommended starting concentration is 1 μg/mL

Immunocytochemistry/ Immunofluorescence

1:100 - 1:1000

Immunohistochemistry

1:200 - 1:2000

Immunohistochemistry-Paraffin

1:200 - 1:2000

Immunoprecipitation

0.5μg-4μg antibody for 200μg-400μg extracts of whole cells

Western Blot

1:1000 - 1:6000

Formulation, Preparation, and Storage

Purification

Affinity purified

Formulation

PBS (pH 7.3), 50% glycerol, 0.05% BSA

Preservative

0.02% Sodium Azide

Concentration

Please see the vial label for concentration. If unlisted please contact technical services.

Shipping

The product is shipped with polar packs. Upon receipt, store it immediately at the temperature recommended below.

Stability & Storage

Store at -20C. Avoid freeze-thaw cycles.

Background: RNA Helicase A

DHX9, also known as ATP-dependent RNA helicase A, consists of a 141 kDa and a 24.3 kDa isoform and is involved in activating transcription and unwinding DNA and RNA helixes in the 3' to 5' direction. Current research is being conducted on diseases and disorders such as influenza, hepatitis, t-cell leukemia, astigmatism, keratitis, immunodeficiency, Werner syndrome, and arthritis. The protein interacts in mRNA splicing, mRNA processing, and gene expression pathways with HIST1H3A- HIST13E proteins.

Long Name

ATP-dependent RNA helicase A

Alternate Names

DDX9, DEAH box protein 9, DExH-box helicase 9, DHX9, EC 3.6.4.13, Leukophysin, LKP, NDH II, NDH2

Gene Symbol

DHX9

Additional RNA Helicase A Products

Product Documents for RNA Helicase A Antibody (2I6C5)

Certificate of Analysis

To download a Certificate of Analysis, please enter a lot number in the search box below.

Product Specific Notices for RNA Helicase A Antibody (2I6C5)

This product is for research use only and is not approved for use in humans or in clinical diagnosis. Primary Antibodies are guaranteed for 1 year from date of receipt.

Loading...
Loading...
Loading...
Loading...