Skip to main content

Ribonuclease Inhibitor Antibody - BSA Free

Novus Biologicals, part of Bio-Techne | Catalog # NBP1-87161

Novus Biologicals, part of Bio-Techne
Catalog #
Availability
Size / Price
Qty
Loading...
NBP1-87161

Key Product Details

Validated by

Independent Antibodies

Species Reactivity

Human

Applications

Immunohistochemistry, Immunohistochemistry-Paraffin, Western Blot, Immunocytochemistry/ Immunofluorescence

Label

Unconjugated

Antibody Source

Polyclonal Rabbit IgG

Format

BSA Free

Concentration

Concentrations vary lot to lot. See vial label for concentration. If unlisted please contact technical services.

Product Specifications

Immunogen

This antibody was developed against Recombinant Protein corresponding to amino acids: LCETLLEPGCQLESLWVKSCSFTAACCSHFSSVLAQNRFLLELQISNNRLEDAGVRELCQGLGQPGSVLRVLWLADCDVSDSSCSSLAATLLAN

Clonality

Polyclonal

Host

Rabbit

Isotype

IgG

Scientific Data Images for Ribonuclease Inhibitor Antibody - BSA Free

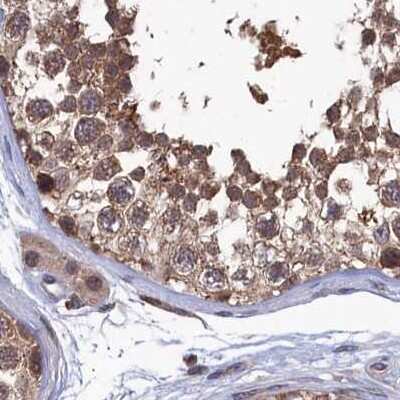
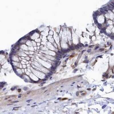
Immunohistochemistry-Paraffin: Ribonuclease Inhibitor Antibody [NBP1-87161]

Immunohistochemistry-Paraffin: Ribonuclease Inhibitor Antibody [NBP1-87161]

Immunohistochemistry-Paraffin: Ribonuclease Inhibitor Antibody [NBP1-87161] - Staining of human colon, kidney, liver and testis using Anti-RNH1 antibody NBP1-87161 (A) shows similar protein distribution across tissues to independent antibody NBP1-87162 (B).
Western Blot: Ribonuclease Inhibitor Antibody [NBP1-87161]

Western Blot: Ribonuclease Inhibitor Antibody [NBP1-87161]

Western Blot: Ribonuclease Inhibitor Antibody [NBP1-87161] - Analysis using Anti-RNH1 antibody NBP1-87161 (A) shows similar pattern to independent antibody NBP1-87162 (B).
Immunocytochemistry/ Immunofluorescence: Ribonuclease Inhibitor Antibody [NBP1-87161]

Immunocytochemistry/ Immunofluorescence: Ribonuclease Inhibitor Antibody [NBP1-87161]

Immunocytochemistry/Immunofluorescence: Ribonuclease Inhibitor Antibody [NBP1-87161] - Immunofluorescent staining of human cell line A-431 shows localization to nucleoplasm & cytosol.

Applications for Ribonuclease Inhibitor Antibody - BSA Free

Application
Recommended Usage

Immunocytochemistry/ Immunofluorescence

0.25-2 ug/ml

Immunohistochemistry

1:50 - 1:200

Immunohistochemistry-Paraffin

1:50 - 1:200

Western Blot

0.04-0.4 ug/ml
Application Notes
For IHC-Paraffin, HIER pH 6 retrieval is recommended. ICC/IF Fixation Permeabilization: Use PFA/Triton X-100.

Formulation, Preparation, and Storage

Purification

Affinity purified

Formulation

PBS (pH 7.2) and 40% Glycerol

Format

BSA Free

Preservative

0.02% Sodium Azide

Concentration

Concentrations vary lot to lot. See vial label for concentration. If unlisted please contact technical services.

Shipping

The product is shipped with polar packs. Upon receipt, store it immediately at the temperature recommended below.

Stability & Storage

Store at 4C short term. Aliquot and store at -20C long term. Avoid freeze-thaw cycles.

Background: Ribonuclease Inhibitor

Inhibitor of pancreatic RNase and angiogenin. May also function in the modulation of cellular activities

Alternate Names

Placental ribonuclease inhibitor, Placental RNase inhibitor, PRI, RAIMGC4569, ribonuclease inhibitor, ribonuclease/angiogenin inhibitor, ribonuclease/angiogenin inhibitor 1MGC18200, RNHMGC54054

Gene Symbol

RNH1

Additional Ribonuclease Inhibitor Products

Product Documents for Ribonuclease Inhibitor Antibody - BSA Free

Certificate of Analysis

To download a Certificate of Analysis, please enter a lot number in the search box below.

Product Specific Notices for Ribonuclease Inhibitor Antibody - BSA Free

This product is for research use only and is not approved for use in humans or in clinical diagnosis. Primary Antibodies are guaranteed for 1 year from date of receipt.

Loading...
Loading...
Loading...
Loading...