RCOR1/CoREST Antibody (JE35-15)
Novus Biologicals, part of Bio-Techne | Catalog # NBP3-32210
Recombinant Monoclonal Antibody
Key Product Details
Species Reactivity
Human, Mouse, Rat
Applications
Immunohistochemistry, Immunohistochemistry-Paraffin, Western Blot
Label
Unconjugated
Antibody Source
Recombinant Monoclonal Rabbit IgG Clone # JE35-15 expressed in HEK293
Concentration
1 mg/ml
Product Specifications
Immunogen
Synthetic peptide within Human RCOR1/CoREST aa 1-50 / 485. (Uniprot: Q9UKL0)
Localization
Nucleus.
Clonality
Monoclonal
Host
Rabbit
Isotype
IgG
Theoretical MW
65 kDa.
Disclaimer note: The observed molecular weight of the protein may vary from the listed predicted molecular weight due to post translational modifications, post translation cleavages, relative charges, and other experimental factors.
Disclaimer note: The observed molecular weight of the protein may vary from the listed predicted molecular weight due to post translational modifications, post translation cleavages, relative charges, and other experimental factors.
Description
Novus Biologicals Rabbit RCOR1/CoREST Antibody (JE35-15) (NBP3-32210) is a recombinant monoclonal antibody validated for use in IHC and WB. All Novus Biologicals antibodies are covered by our 100% guarantee.
Scientific Data Images for RCOR1/CoREST Antibody (JE35-15)
Western Blot: RCOR1/CoREST Antibody (JE35-15) [NBP3-32210]
Western Blot: RCOR1/CoREST Antibody (JE35-15) [NBP3-32210] - Western blot analysis of RCOR1/CoREST on different lysates with Rabbit anti-RCOR1/CoREST antibody (NBP3-32210) at 1/1,000 dilution.Lane 1: K-562 cell lysate
Lane 2: Jurkat cell lysate
Lane 3: MCF7 cell lysate
Lane 4: HeLa cell lysate
Lane 5: HepG2 cell lysate
Lane 6: A549 cell lysate
Lane 7: U-2 OS cell lysate
Lane 8: HT-29 cell lysate
Lysates/proteins at 15 ug/Lane.
Predicted band size: 65 kDa
Observed band size: 65/26 kDa
Exposure time: 3 minutes;
4-20% SDS-PAGE gel.
Proteins were transferred to a PVDF membrane and blocked with 5% NFDM/TBST for 1 hour at room temperature. The primary antibody (NBP3-32210) at 1/1,000 dilution was used in 5% NFDM/TBST at room temperature for 2 hours. Goat Anti-Rabbit IgG - HRP Secondary Antibody at 1:100,000 dilution was used for 1 hour at room temperature.
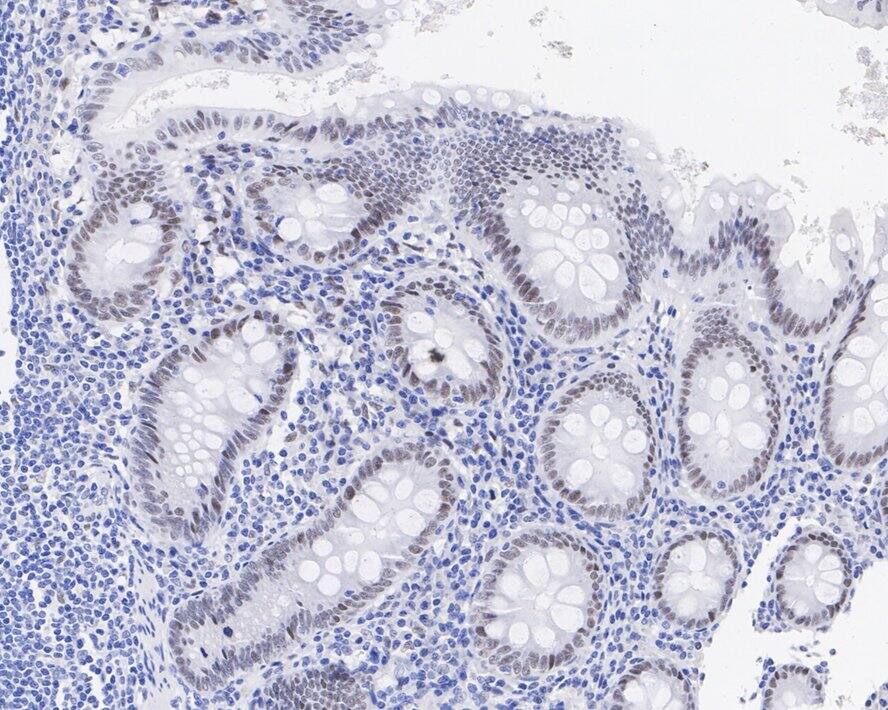
Immunohistochemistry: RCOR1/CoREST Antibody (JE35-15) [NBP3-32210]
Immunohistochemistry: RCOR1/CoREST Antibody (JE35-15) [NBP3-32210] - Immunohistochemical analysis of paraffin-embedded human appendix tissue with Rabbit anti-RCOR1/CoREST antibody (NBP3-32210) at 1/1,000 dilution.The section was pre-treated using heat mediated antigen retrieval with sodium citrate buffer (pH 6.0) for 2 minutes. The tissues were blocked in 1% BSA for 20 minutes at room temperature, washed with ddH2O and PBS, and then probed with the primary antibody (NBP3-32210) at 1/1,000 dilution for 1 hour at room temperature. The detection was performed using an HRP conjugated compact polymer system. DAB was used as the chromogen. Tissues were counterstained with hematoxylin and mounted with DPX.
Applications for RCOR1/CoREST Antibody (JE35-15)
Application
Recommended Usage
Immunohistochemistry-Paraffin
1:200-1:1000
Western Blot
1:1000
Formulation, Preparation, and Storage
Purification
Protein A purified
Formulation
1*TBS (pH7.4), 0.05% BSA and 40% Glycerol
Preservative
0.05% Sodium Azide
Concentration
1 mg/ml
Shipping
The product is shipped with polar packs. Upon receipt, store it immediately at the temperature recommended below.
Stability & Storage
Store at 4C short term. Aliquot and store at -20C long term. Avoid freeze-thaw cycles.
Background: RCOR1/CoREST
Long Name
REST Corepressor 1
Alternate Names
CoREST, RCOR1
Gene Symbol
RCOR1
Additional RCOR1/CoREST Products
Product Documents for RCOR1/CoREST Antibody (JE35-15)
Product Specific Notices for RCOR1/CoREST Antibody (JE35-15)
This product is for research use only and is not approved for use in humans or in clinical diagnosis. Primary Antibodies are guaranteed for 1 year from date of receipt.
Loading...
Loading...
Loading...
Loading...