Skip to main content

RBM25 Antibody - BSA Free

Novus Biologicals, part of Bio-Techne | Catalog # NBP3-46781

Novus Biologicals, part of Bio-Techne
Catalog #
Availability
Size / Price
Qty
Loading...
NBP3-46781

Key Product Details

Species Reactivity

Human, Mouse

Applications

ELISA, Immunohistochemistry, Western Blot

Label

Unconjugated

Antibody Source

Polyclonal Rabbit IgG

Format

BSA Free

Concentration

Please see the vial label for concentration. If unlisted please contact technical services.

Product Specifications

Immunogen

RNA binding motif protein 25. (Uniprot# P49756)

Clonality

Polyclonal

Host

Rabbit

Isotype

IgG

Description

Novus Biologicals Rabbit RBM25 Antibody - BSA Free (NBP3-46781) is a polyclonal antibody validated for use in IHC, WB and ELISA. All Novus Biologicals antibodies are covered by our 100% guarantee.

Scientific Data Images for RBM25 Antibody - BSA Free

RBM25 Antibody - BSA Free

Western Blot: RBM25 Antibody - BSA Free [NBP3-46781] -

Western Blot: RBM25 Antibody - BSA Free [NBP3-46781] - Jurkat cells were subjected to SDS PAGE followed by western blot with (RBM25 Antibody) at dilution of 1:600
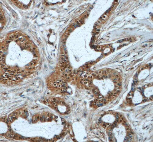
RBM25 Antibody - BSA Free

Immunohistochemistry: RBM25 Antibody - BSA Free [NBP3-46781] -

Immunohistochemistry: RBM25 Antibody - BSA Free [NBP3-46781] - Immunohistochemistry of paraffin-embedded human breast cancer tissue slide using (RBM25 Antibody) at dilution of 1:50

Applications for RBM25 Antibody - BSA Free

Application
Recommended Usage

Immunohistochemistry

1:20-1:200

Western Blot

1:200-1:2000
Application Notes
Theoretical Molecular Weight is 110-120 kDa

Formulation, Preparation, and Storage

Purification

Immunogen affinity purified

Formulation

PBS, 50% Glycerol, pH (7.3)

Format

BSA Free

Preservative

0.02% Sodium Azide

Concentration

Please see the vial label for concentration. If unlisted please contact technical services.

Shipping

The product is shipped with polar packs. Upon receipt, store it immediately at the temperature recommended below.

Stability & Storage

Store at -20C. Avoid freeze-thaw cycles.

Background: RBM25

RBM25, also identified as hRED120 (for human Arg/Glu/Asp-rich protein of 120 kDa), contains an RNA recognition motif and a PWI nucleic acid binding domain and is suggested to have a role in RNA processing.

Alternate Names

Arg/Glu/Asp-rich protein of 120 kDa, Arg/Glu/Asp-rich protein, 120 kDa, fSAP94, functional spliceosome-associated protein 94, MGC105088, MGC117168, NET52, Protein S164, RED120RNA-binding region-containing protein 7, RNA binding motif protein 25, RNA-binding motif protein 25, RNA-binding protein 25, RNA-binding region (RNP1, RRM) containing 7, RNPC7, S164, Snu71, U1 small nuclear ribonucleoprotein 1SNRP homolog

Gene Symbol

RBM25

Additional RBM25 Products

Product Documents for RBM25 Antibody - BSA Free

Certificate of Analysis

To download a Certificate of Analysis, please enter a lot number in the search box below.

Product Specific Notices for RBM25 Antibody - BSA Free

This product is for research use only and is not approved for use in humans or in clinical diagnosis. Primary Antibodies are guaranteed for 1 year from date of receipt.

Loading...
Loading...
Loading...
Loading...