Skip to main content

RbAp46 Antibody (OTI5A4)

Novus Biologicals, part of Bio-Techne | Catalog # NBP2-01308

Novus Biologicals, part of Bio-Techne
Catalog #
Availability
Size / Price
Qty
Loading...
NBP2-01308
Conjugate
Catalog #

Key Product Details

Species Reactivity

Human, Mouse, Rat

Applications

Validated:

Immunohistochemistry, Immunohistochemistry-Paraffin, Western Blot

Cited:

Western Blot

Label

Unconjugated

Antibody Source

Monoclonal Mouse IgG1 Clone # OTI5A4

Concentration

0.84 mg/ml

Product Specifications

Immunogen

Full length human recombinnat protein of RBBP7(NP_002884) produced in HEK293T cell.

Reactivity Notes

Please note that this antibody is reactive to Mouse and derived from the same host, Mouse. Mouse-On-Mouse blocking reagent may be needed for IHC and ICC experiments to reduce high background signal. You can find these reagents under catalog numbers PK-2200-NB and MP-2400-NB. Please contact Technical Support if you have any questions.

Clonality

Monoclonal

Host

Mouse

Isotype

IgG1

Theoretical MW

47.6 kDa.
Disclaimer note: The observed molecular weight of the protein may vary from the listed predicted molecular weight due to post translational modifications, post translation cleavages, relative charges, and other experimental factors.

Scientific Data Images for RbAp46 Antibody (OTI5A4)

Western Blot: RbAp46 Antibody (OTI5A4) [NBP2-01308]

Western Blot: RbAp46 Antibody (OTI5A4) [NBP2-01308]

Western Blot: RbAp46 Antibody (5A4) [NBP2-01308] - HEK293T cells were transfected with the pCMV6-ENTRY control (Left lane) or pCMV6-ENTRY RbAp46 (Right lane) cDNA for 48 hrs and lysed. Equivalent amounts of cell lysates (5 ug per lane) were separated by SDS-PAGE and immunoblotted with anti-RbAp46.
Immunohistochemistry-Paraffin: RbAp46 Antibody (5A4) [NBP2-01308] Staining of paraffin-embedded Human prostate tissue using anti-RbAp46 mouse monoclonal antibody.
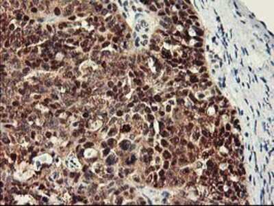
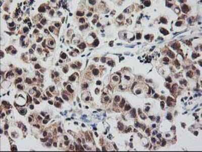
Immunohistochemistry-Paraffin: RbAp46 Antibody (OTI5A4) [NBP2-01308]

Immunohistochemistry-Paraffin: RbAp46 Antibody (OTI5A4) [NBP2-01308]

Immunohistochemistry-Paraffin: RbAp46 Antibody (5A4) [NBP2-01308] - Staining of paraffin-embedded Adenocarcinoma of Human breast tissue using anti-RbAp46 mouse monoclonal antibody.

Applications for RbAp46 Antibody (OTI5A4)

Application
Recommended Usage

Immunohistochemistry

1:150

Immunohistochemistry-Paraffin

1:150

Western Blot

1:500

Formulation, Preparation, and Storage

Purification

Immunogen affinity purified

Formulation

PBS (pH 7.3), 1.0% BSA and 50% Glycerol

Preservative

0.02% Sodium Azide

Concentration

0.84 mg/ml

Shipping

The product is shipped with polar packs. Upon receipt, store it immediately at the temperature recommended below.

Stability & Storage

Store at -20C. Avoid freeze-thaw cycles.

Background: RbAp46

This protein is a ubiquitously expressed nuclear protein and belongs to a highly conserved subfamily of WD-repeat proteins. It is found among several proteins that binds directly to retinoblastoma protein, which regulates cell proliferation. The encoded protein is found in many histone deacetylase complexes, including mSin3 co-repressor complex. It is also present in protein complexes involved in chromatin assembly. This protein can interact with BRCA1 tumor-suppressor gene and may have a role in the regulation of cell proliferation and differentiation. Two transcript variants encoding different isoforms have been found for this gene. [provided by RefSeq].

Alternate Names

G1/S transition control protein-binding protein RbAp46, Histone acetyltransferase type B subunit 2, histone-binding protein RBBP7, MGC138867, Nucleosome-remodeling factor subunit RBAP46, RBAP46, RBBP-7, retinoblastoma binding protein 7, Retinoblastoma-binding protein 7MGC138868, Retinoblastoma-binding protein p46, retinoblastoma-binding protein RbAp46

Gene Symbol

RBBP7

Additional RbAp46 Products

Product Documents for RbAp46 Antibody (OTI5A4)

Certificate of Analysis

To download a Certificate of Analysis, please enter a lot number in the search box below.

Product Specific Notices for RbAp46 Antibody (OTI5A4)

This product is for research use only and is not approved for use in humans or in clinical diagnosis. Primary Antibodies are guaranteed for 1 year from date of receipt.

Loading...
Loading...
Loading...
Loading...