Skip to main content

QSOX1/Quiescin Q6 Antibody - BSA Free

Novus Biologicals, part of Bio-Techne | Catalog # NBP2-81797

Novus Biologicals, part of Bio-Techne

Key Product Details

Species Reactivity

Human, Mouse

Applications

Immunohistochemistry, Immunohistochemistry-Paraffin, Western Blot, ELISA, Immunocytochemistry/ Immunofluorescence

Label

Unconjugated

Antibody Source

Polyclonal Rabbit IgG

Format

BSA Free

Concentration

1 mg/ml

Product Specifications

Immunogen

QSOX1 antibody was raised against a 17 amino acid peptide near the center of human QSOX1. The immunogen is located within amino acids 360 - 410 of QSOX1. Amino Acid Squence: FKTALDDRKEGAVLAKK

Specificity

QSOX1/Quiescin Q6 antibody is human and mouse reactive.QSOX1/Quiescin Q6 antibody is predicted to not cross-react with QSOX2.

Clonality

Polyclonal

Host

Rabbit

Isotype

IgG

Theoretical MW

66 kDa.
Disclaimer note: The observed molecular weight of the protein may vary from the listed predicted molecular weight due to post translational modifications, post translation cleavages, relative charges, and other experimental factors.

Description

Novus Biologicals Rabbit QSOX1/Quiescin Q6 Antibody - BSA Free (NBP2-81797) is a polyclonal antibody validated for use in IHC, WB, ELISA and ICC/IF. All Novus Biologicals antibodies are covered by our 100% guarantee.

Scientific Data Images for QSOX1/Quiescin Q6 Antibody - BSA Free

Western Blot: QSOX1/Quiescin Q6 AntibodyBSA Free [NBP2-81797]

Western Blot: QSOX1/Quiescin Q6 AntibodyBSA Free [NBP2-81797]

Western Blot: QSOX1/Quiescin Q6 Antibody [NBP2-81797] - Analysis of QSOX1/Quiescin Q6 in EL4 cell lysate with QSOX1/Quiescin Q6 antibody at (A) 1 and (B) 2 ug/ml.
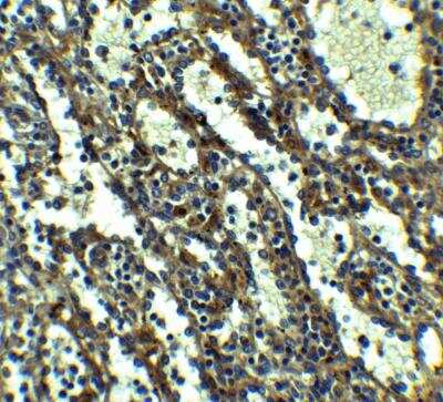
Immunohistochemistry: QSOX1/Quiescin Q6 Antibody - BSA Free [NBP2-81797]

Immunohistochemistry: QSOX1/Quiescin Q6 Antibody - BSA Free [NBP2-81797]

Immunohistochemistry: QSOX1/Quiescin Q6 Antibody [NBP2-81797] - Immunohistochemistry of QSOX1/Quiescin Q6 in human spleen tissue with QSOX1/Quiescin Q6 antibody at 5 ug/mL.
QSOX1/Quiescin Q6 Antibody - BSA Free

Immunocytochemistry/ Immunofluorescence: QSOX1/Quiescin Q6 Antibody - BSA Free [NBP2-81797] -

Immunocytochemistry/ Immunofluorescence: QSOX1/Quiescin Q6 Antibody - BSA Free [NBP2-81797] - Immunofluorescence of QSOX1/Quiescin Q6 in human spleen tissue with QSOX1/Quiescin Q6 antibody at 20 u/ml.

Applications for QSOX1/Quiescin Q6 Antibody - BSA Free

Application
Recommended Usage

Immunocytochemistry/ Immunofluorescence

20 ug/ml

Immunohistochemistry

5 ug/ml

Western Blot

1-2 ug/ml

Formulation, Preparation, and Storage

Purification

Peptide affinity purified

Formulation

PBS

Format

BSA Free

Preservative

0.02% Sodium Azide

Concentration

1 mg/ml

Shipping

The product is shipped with polar packs. Upon receipt, store it immediately at the temperature recommended below.

Stability & Storage

Store at 4C short term. Aliquot and store at -20C long term. Avoid freeze-thaw cycles.

Background: QSOX1/Quiescin Q6

Quiescin Q6, also known as Sulfhydryl oxidase 1, is a 83 kDa 747 amino acid protein with a shorter 67 kDa 604 isoform. The primary function of Quiescin Q6 is to regulate growth. Current research on Quiescin Q6 is being conducted in relation to intrahepatic cholangiocarcinoma, insulin resistance, cholangiocarcinoma, prostate cancer, prostatitis, breast cancer and ataxia.

Long Name

Quiescin Q6 Sulfhydryl Oxidase 1

Alternate Names

HQSOX, QSCN6, Quiescin Q6, Sulfhydryl Oxidase-1

Gene Symbol

QSOX1

Additional QSOX1/Quiescin Q6 Products

Product Documents for QSOX1/Quiescin Q6 Antibody - BSA Free

Certificate of Analysis

To download a Certificate of Analysis, please enter a lot number in the search box below.

Product Specific Notices for QSOX1/Quiescin Q6 Antibody - BSA Free

This product is for research use only and is not approved for use in humans or in clinical diagnosis. Primary Antibodies are guaranteed for 1 year from date of receipt.

Loading...
Loading...
Loading...
Loading...