Skip to main content

PUF60 Antibody (3510) - Azide and BSA Free

Novus Biologicals, part of Bio-Techne | Catalog # NBP2-43835

Novus Biologicals, part of Bio-Techne
Catalog #
Availability
Size / Price
Qty
Loading...
NBP2-43835

Key Product Details

Species Reactivity

Validated:

Human, Mouse, Rat

Predicted:

Bovine (96%), Chicken (94%). Backed by our 100% Guarantee.

Applications

Immunocytochemistry/ Immunofluorescence, Immunohistochemistry, Immunohistochemistry-Paraffin, Western Blot

Label

Unconjugated

Antibody Source

Monoclonal Mouse IgG1 Clone # 3510

Format

Azide and BSA Free

Concentration

Concentrations vary lot to lot. See vial label for concentration. If unlisted please contact technical services.

Product Specifications

Immunogen

Recombinant protein encompassing a sequence within the center region of human PUF60. The exact sequence is proprietary.

Clonality

Monoclonal

Host

Mouse

Isotype

IgG1

Description

Novus Biologicals Mouse PUF60 Antibody (3510) - Azide and BSA Free (NBP2-43835) is a monoclonal antibody validated for use in IHC, WB and ICC/IF. All Novus Biologicals antibodies are covered by our 100% guarantee.

Scientific Data Images for PUF60 Antibody (3510) - Azide and BSA Free

Western Blot: PUF60 Antibody (3510) [NBP2-43835]

Western Blot: PUF60 Antibody (3510) [NBP2-43835]

Western Blot: PUF60 Antibody (3510) [NBP2-43835] - Analysis of A. 30 ug 293T whole cell lysate/extract B. 30 ug A431 whole cell lysate/extract C. 30 ug HeLa whole cell lysate/extract D. 30 ug HepG2 whole cell lysate/extract 7.5 % SDS-PAGE PUF60 antibody [3510] dilution: 1:5000
Immunocytochemistry/ Immunofluorescence: PUF60 Antibody (3510) [NBP2-43835]

Immunocytochemistry/ Immunofluorescence: PUF60 Antibody (3510) [NBP2-43835]

Immunocytochemistry/Immunofluorescence: PUF60 Antibody (3510) [NBP2-43835] - Analysis of Sample: A431 cells were fixed in 4% paraformaldehyde at RT for 15 min. Green: PUF60 protein stained by PUF60 antibody [3510] diluted at 1:500. Blue: Hoechst 33342 staining.
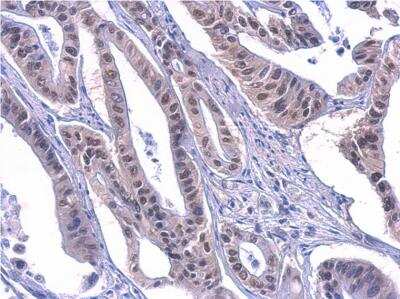
Immunohistochemistry-Paraffin: PUF60 Antibody (3510) [NBP2-43835]

Immunohistochemistry-Paraffin: PUF60 Antibody (3510) [NBP2-43835]

Immunohistochemistry-Paraffin: PUF60 Antibody (3510) [NBP2-43835] - Analysis of gastric carcinoma. PUF60 antibody [3510] dilution: 1:100.

Applications for PUF60 Antibody (3510) - Azide and BSA Free

Application
Recommended Usage

Immunocytochemistry/ Immunofluorescence

1:100-1:1000

Immunohistochemistry

1:100-1:1000

Immunohistochemistry-Paraffin

1:100-1:1000

Western Blot

1:1000-1:10000

Formulation, Preparation, and Storage

Purification

Protein G purified

Formulation

PBS

Format

Azide and BSA Free

Preservative

No Preservative

Concentration

Concentrations vary lot to lot. See vial label for concentration. If unlisted please contact technical services.

Shipping

The product is shipped with polar packs. Upon receipt, store it immediately at the temperature recommended below.

Stability & Storage

Aliquot and store at -20C or -80C. Avoid freeze-thaw cycles.

Background: PUF60

PUF60 is a Ro RNP-binding protein. It interacts with Ro RNPs and their interaction is thought to represent a gain of function for Ro RNPs. PUF60 also forms a ternary complex with far upstream element (FUSE) and FUSE-binding protein. It can repress a c-myc reporter via the FUSE. It is also known to target transcription factor IIH and inhibit activated transcription. PUF60 gene is implicated in the xeroderma pigmentosum disorder. There are two alternatively spliced transcript variants of this gene encoding different isoforms. There seems to be evidence of multiple polyadenylation sites for PUF60 gene.

Alternate Names

FBP interacting repressor, FBP-interacting repressor, FIRpoly-U binding splicing factor PUF60, FLJ31379, FUSE-binding protein-interacting repressor, poly(U)-binding-splicing factor PUF60, poly-U binding splicing factor 60KDa, Ro ribonucleoprotein binding protein 1, Ro ribonucleoprotein-binding protein 1, Ro-binding protein 1, roBP1, ROBPI, siah binding protein 1,60 kDa poly(U)-binding-splicing factor, Siah-binding protein 1, Siah-BP1, SIAHBP1pyrimidine tract binding splicing factor

Gene Symbol

PUF60

Additional PUF60 Products

Product Documents for PUF60 Antibody (3510) - Azide and BSA Free

Certificate of Analysis

To download a Certificate of Analysis, please enter a lot number in the search box below.

Product Specific Notices for PUF60 Antibody (3510) - Azide and BSA Free

This product is for research use only and is not approved for use in humans or in clinical diagnosis. Primary Antibodies are guaranteed for 1 year from date of receipt.

Loading...
Loading...
Loading...
Loading...