Skip to main content

PTH1R/PTHR1 Antibody (3D1.1) - BSA Free

Novus Biologicals, part of Bio-Techne | Catalog # NBP1-40067

Novus Biologicals, part of Bio-Techne
Catalog #
Availability
Size / Price
Qty
Loading...
NBP1-40067

Key Product Details

Validated by

Biological Validation

Species Reactivity

Validated:

Human, Mouse, Porcine, Bovine, Canine, Equine, Monkey, Primate

Cited:

Human, Mouse

Predicted:

Bat (96%), Chicken (92%), Hamster (96%), Opossum (92%), Orangutan (100%), Rabbit (96%), Rat (96%). Backed by our 100% Guarantee.

Applications

Validated:

Immunohistochemistry, Immunohistochemistry-Paraffin, Western Blot, Immunocytochemistry/ Immunofluorescence

Cited:

Western Blot, Flow Cytometry, Immunocytochemistry/ Immunofluorescence

Label

Unconjugated

Antibody Source

Monoclonal Mouse IgG1 kappa Clone # 3D1.1

Format

BSA Free

Concentration

1.0 mg/ml

Product Specifications

Immunogen

Synthetic peptide corresponding to aa146-169 of human PTH1R/PTHR1 [RRCDRNGSWELVPGHNRTWANYSE]. Species sequence Homology: Mouse & rat (23/24aa).

Epitope

aa146-169 [RRCDRNGSWELVPGHNRTWANYSE]

Reactivity Notes

Mouse reactivity reported in scientific literature (PMID: 28727763). Predicted cross-reactivity based on sequence identity: Gorilla (100%), Gibbon (100%), Marmoset (100%), Xenopus (88%).

Specificity

Recognizes human PTH/PTHrP receptor, MW 80kD, and the receptor dimer, Mr 160kD. A faint nonspecific band at 110kD is also detected. This antibody does not detect the PTH2 receptor.

Clonality

Monoclonal

Host

Mouse

Isotype

IgG1 kappa

Description

Novus Biologicals Mouse PTH1R/PTHR1 Antibody (3D1.1) - BSA Free (NBP1-40067) is a monoclonal antibody validated for use in IHC, WB, Flow and ICC/IF. Anti-PTH1R/PTHR1 Antibody: Cited in 4 publications. All Novus Biologicals antibodies are covered by our 100% guarantee.

Scientific Data Images for PTH1R/PTHR1 Antibody (3D1.1) - BSA Free

Western Blot: PTH1R/PTHR1 Antibody (3D1.1) [NBP1-40067]

Western Blot: PTH1R/PTHR1 Antibody (3D1.1) [NBP1-40067]

PTH1R-PTHR1-Antibody-3D1-1-Western-Blot-NBP1-40067-img0004.jpg
Immunohistochemistry: PTH1R/PTHR1 Antibody (3D1.1) [NBP1-40067]

Immunohistochemistry: PTH1R/PTHR1 Antibody (3D1.1) [NBP1-40067]

PTH1R-PTHR1-Antibody-3D1-1-Immunohistochemistry-NBP1-40067-img0003.jpg
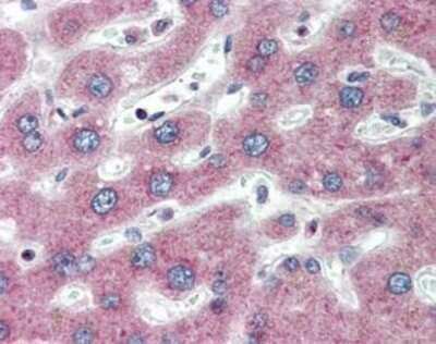
Immunohistochemistry-Paraffin: PTH1R/PTHR1 Antibody (3D1.1) [NBP1-40067]

Immunohistochemistry-Paraffin: PTH1R/PTHR1 Antibody (3D1.1) [NBP1-40067]

Immunohistochemistry-Paraffin: PTH1R/PTHR1 Antibody (3D1.1) [NBP1-40067] - Analysis of anti-PTH1R antibody with human liver at concentration 5 ug/ml.

Applications for PTH1R/PTHR1 Antibody (3D1.1) - BSA Free

Application
Recommended Usage

Immunohistochemistry-Paraffin

5 ug/ml

Western Blot

0.5-2 ug/ml
Application Notes
Use in ICC/IF reported in scientific literature (PMID 28727763)..

Formulation, Preparation, and Storage

Purification

Protein G purified

Formulation

0.1 M Tris-Glycine, pH 7.4, 0.15 M NaCl, 30% Glycerol

Format

BSA Free

Preservative

0.05% Sodium Azide

Concentration

1.0 mg/ml

Shipping

The product is shipped with polar packs. Upon receipt, store it immediately at the temperature recommended below.

Stability & Storage

Store at 4C short term. Aliquot and store at -20C long term. Avoid freeze-thaw cycles.

Background: PTH1R/PTHR1

PTHR1, a Parathyroid Hormone Receptor, mediates PTH-dependent regulation of mineral-ion homeostasis. It also mediates the paracrine action of PTHRP in endochondral bone formation. Mutations in this receptor are responsible for disorders of calcium and bone metabolism such as chondrodysplasia, hypercalcemia, and chronic renal failure. Three promoters, P1, P2, and P3, regulate the expression of PTHR. PTHR1 has been reported to be expressed in bone, breast, brain, colon, GI, kidney, liver, placenta, skin, umbilical cord, and uterus. ESTs have been isolated from B-cell/lung/testis, brain, breast, fetus, heart, heart/melanocyte/uterus, kidney, liver/spleen, lung, placenta, and testis libraries.

Long Name

Parathyroid Hormone Receptor 1

Alternate Names

PTHR, PTHR1

Entrez Gene IDs

5745 (Human)

Gene Symbol

PTH1R

UniProt

Additional PTH1R/PTHR1 Products

Product Documents for PTH1R/PTHR1 Antibody (3D1.1) - BSA Free

Certificate of Analysis

To download a Certificate of Analysis, please enter a lot number in the search box below.

Product Specific Notices for PTH1R/PTHR1 Antibody (3D1.1) - BSA Free

This product is for research use only and is not approved for use in humans or in clinical diagnosis. Primary Antibodies are guaranteed for 1 year from date of receipt.

Loading...
Loading...
Loading...
Loading...