Skip to main content

Protein Phosphatase 1 beta Antibody (S09-6B7)

Novus Biologicals, part of Bio-Techne | Catalog # NBP3-14965

Recombinant Monoclonal Antibody
Novus Biologicals, part of Bio-Techne
Catalog #
Availability
Size / Price
Qty
Loading...
NBP3-14965-100ul
NBP3-14965-25ul

Key Product Details

Species Reactivity

Human, Mouse, Rat

Applications

Immunocytochemistry/ Immunofluorescence, Immunohistochemistry, Immunohistochemistry-Paraffin, Western Blot

Label

Unconjugated

Antibody Source

Recombinant Monoclonal Rabbit IgG Clone # S09-6B7 expressed in HEK293

Concentration

Please see the vial label for concentration. If unlisted please contact technical services.

Product Specifications

Immunogen

A synthetic peptide of human Protein Phosphatase 1 beta (Uniprot#: P62140)

Clonality

Monoclonal

Host

Rabbit

Isotype

IgG

Theoretical MW

37 kDa.
Disclaimer note: The observed molecular weight of the protein may vary from the listed predicted molecular weight due to post translational modifications, post translation cleavages, relative charges, and other experimental factors.

Description

Novus Biologicals Rabbit Protein Phosphatase 1 beta Antibody (S09-6B7) (NBP3-14965) is a recombinant monoclonal antibody validated for use in IHC, WB and ICC/IF. All Novus Biologicals antibodies are covered by our 100% guarantee.

Scientific Data Images for Protein Phosphatase 1 beta Antibody (S09-6B7)

Western Blot: Protein Phosphatase 1 beta Antibody (S09-6B7) [NBP3-14965]

Western Blot: Protein Phosphatase 1 beta Antibody (S09-6B7) [NBP3-14965]

Western Blot: Protein Phosphatase 1 beta Antibody (S09-6B7) [NBP3-14965] - Western blot detection of Protein Phosphatase 1 beta in K562, Rat Brain, C6, 3T3, Hela cell lysates using Protein Phosphatase 1 beta Rabbit mAb (1:1000 diluted). Predicted band size: 37kDa. Observed band size: 37kDa.
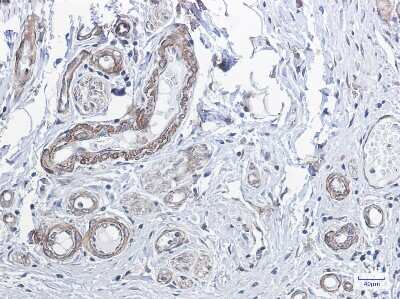
Immunohistochemistry-Paraffin: Protein Phosphatase 1 beta Antibody (S09-6B7) [NBP3-14965]

Immunohistochemistry-Paraffin: Protein Phosphatase 1 beta Antibody (S09-6B7) [NBP3-14965]

Immunohistochemistry-Paraffin: Protein Phosphatase 1 beta Antibody (S09-6B7) [NBP3-14965] - Immunohistochemistry of Protein Phosphatase 1 beta in paraffin-embedded Human colon cancer tissue using Protein Phosphatase 1 beta Rabbit mAb at dilution 1/1
Protein Phosphatase 1 beta Antibody (S09-6B7)

Immunocytochemistry/Immunofluorescence: Protein Phosphatase 1 beta Antibody (S09-6B7) [NBP3-14965] -

Immunocytochemistry/Immunofluorescence: Protein Phosphatase 1 beta Antibody (S09-6B7) [NBP3-14965] - Immunocytochemistry of Protein Phosphatase 1 beta (green) in Hela cells using NBP3-14965 at dilution 1/50, and DAPI (blue)

Applications for Protein Phosphatase 1 beta Antibody (S09-6B7)

Application
Recommended Usage

Immunocytochemistry/ Immunofluorescence

1/20

Immunohistochemistry

1/50

Western Blot

1/2000-1/10000

Formulation, Preparation, and Storage

Purification

Affinity purified

Formulation

50mM Tris-Glycine (pH 7.4), 0.15M NaCl, 40% Glycerol, 0.05% BSA

Preservative

0.01% Sodium Azide

Concentration

Please see the vial label for concentration. If unlisted please contact technical services.

Shipping

The product is shipped with polar packs. Upon receipt, store it immediately at the temperature recommended below.

Stability & Storage

Store at 4C short term. Aliquot and store at -20C long term. Avoid freeze-thaw cycles.

Background: Protein Phosphatase 1 beta

Protein phosphatase 1 (PP1) is a major eukaryotic protein serine/threonine phosphatase that regulates an enormous variety of cellular functions through the interaction of its catalytic subunit (PP1c) with over fifty different established or putative regulatory subunits (1). The coordinated and reciprocal action of serine/threonine (Ser/Thr) protein kinases and phosphatases produces transient phosphorylation, a fundamental regulatory mechanism for many biological processes. PP1 is ubiquitously distributed and regulates a broad range of cellular functions, including glycogen metabolism, cell-cycle progression and muscle relaxation. PP1 has evolved effective catalytic machinery but lacks substrate specificity. Substrate specificity is conferred upon PP1 through interactions with a large number of regulatory subunits (2). It has been shown that PP1 determines the efficacy of learning and memory by limiting acquisition and favoring memory decline. When PP1 is genetically inhibited during learning, short intervals between training episodes are sufficient for optimal performance (3).

Alternate Names

EC 3.1.3.16, EC 3.1.3.53, MGC3672, PP1beta, PP-1Bprotein phosphatase 1, catalytic subunit, delta isoform, PPP1CD, protein phosphatase 1, catalytic subunit, beta isoform, protein phosphatase 1, catalytic subunit, beta isozyme, protein phosphatase 1-beta, protein phosphatase 1-delta, serine/threonine protein phosphatase PP1-beta catalytic subunit, serine/threonine-protein phosphatase PP1-beta catalytic subunit

Gene Symbol

PPP1CB

Additional Protein Phosphatase 1 beta Products

Product Documents for Protein Phosphatase 1 beta Antibody (S09-6B7)

Certificate of Analysis

To download a Certificate of Analysis, please enter a lot number in the search box below.

Product Specific Notices for Protein Phosphatase 1 beta Antibody (S09-6B7)

This product is for research use only and is not approved for use in humans or in clinical diagnosis. Primary Antibodies are guaranteed for 1 year from date of receipt.

Loading...
Loading...
Loading...
Loading...