Skip to main content

Proteasome 20S beta 6 Antibody - BSA Free

Novus Biologicals, part of Bio-Techne | Catalog # NBP3-14763

Novus Biologicals, part of Bio-Techne
Catalog #
Availability
Size / Price
Qty
Loading...
NBP3-14763-100ul
NBP3-14763-50ul

Key Product Details

Species Reactivity

Human

Applications

Immunohistochemistry, Immunohistochemistry-Paraffin

Label

Unconjugated

Antibody Source

Polyclonal Rabbit IgG

Format

BSA Free

Concentration

Please see the vial label for concentration. If unlisted please contact technical services.

Product Specifications

Immunogen

Produced in rabbits immunized with E. coli-derived Human Proteasome 20S beta 6 fragment

Clonality

Polyclonal

Host

Rabbit

Isotype

IgG

Description

This antibody can be stored at 2C-8C for one month without detectable loss of activity. Antibody products are stable for twelve months from date of receipt when stored at -20C to -80C. Avoid repeated freeze-thaw cycles.

Scientific Data Images for Proteasome 20S beta 6 Antibody - BSA Free

Immunohistochemistry: Proteasome 20S beta 6 Antibody [NBP3-14763]

Immunohistochemistry: Proteasome 20S beta 6 Antibody [NBP3-14763]

Immunohistochemistry: Proteasome 20S beta 6 Antibody [NBP3-14763] - Immunochemical staining of human Proteasome 20S beta 6 in human liver with rabbit polyclonal antibody at 1:200 dilution, formalin-fixed paraffin embedded sections.
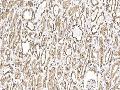
Immunohistochemistry: Proteasome 20S beta 6 Antibody [NBP3-14763]

Immunohistochemistry: Proteasome 20S beta 6 Antibody [NBP3-14763]

Immunohistochemistry: Proteasome 20S beta 6 Antibody [NBP3-14763] - Immunochemical staining of human Proteasome 20S beta 6 in human kidney with rabbit polyclonal antibody at 1:200 dilution, formalin-fixed paraffin embedded sections.

Applications for Proteasome 20S beta 6 Antibody - BSA Free

Application
Recommended Usage

Immunohistochemistry-Paraffin

1:100-1:500

Formulation, Preparation, and Storage

Purification

Antigen and protein A Affinity-purified

Formulation

PBS

Format

BSA Free

Preservative

0.03% Proclin 300

Concentration

Please see the vial label for concentration. If unlisted please contact technical services.

Shipping

The product is shipped with polar packs. Upon receipt, store it immediately at the temperature recommended below.

Stability & Storage

Store at 4C short term. Aliquot and store at -20C long term. Avoid freeze-thaw cycles.

Background: Proteasome 20S beta 6

The proteasome is a multicatalytic proteinase complex with a highly ordered ring-shaped 20S core structure. The core structure is composed of 4 rings of 28 non-identical subunits; 2 rings are composed of 7 alpha subunits and 2 rings are composed of 7 beta subunits. Proteasomes are distributed throughout eukaryotic cells at a high concentration and cleave peptides in an ATP/ubiquitin-dependent process in a non-lysosomal pathway. An essential function of a modified proteasome, the immunoproteasome, is the processing of class I MHC peptides. This gene encodes a member of the proteasome B-type family, also known as the T1B family, that is a 20S core beta subunit in the proteasome. This catalytic subunit is not present in the immunoproteasome and is replaced by catalytic subunit 1i (proteasome beta 9 subunit).

Long Name

Proteasome subunit beta type-6

Alternate Names

EC 3.4.25.1, LMPY, PSMB6

Gene Symbol

PSMB6

Additional Proteasome 20S beta 6 Products

Product Documents for Proteasome 20S beta 6 Antibody - BSA Free

Certificate of Analysis

To download a Certificate of Analysis, please enter a lot number in the search box below.

Product Specific Notices for Proteasome 20S beta 6 Antibody - BSA Free

This product is for research use only and is not approved for use in humans or in clinical diagnosis. Primary Antibodies are guaranteed for 1 year from date of receipt.

Loading...
Loading...
Loading...
Loading...