Skip to main content

PRKD3/nPKC nu Antibody (OTI3D8)

Novus Biologicals, part of Bio-Techne | Catalog # NBP2-45390

Novus Biologicals, part of Bio-Techne
Catalog #
Availability
Size / Price
Qty
Loading...
NBP2-45390

Key Product Details

Species Reactivity

Human, Mouse, Rat

Applications

Immunohistochemistry, Immunohistochemistry-Paraffin, Western Blot

Label

Unconjugated

Antibody Source

Monoclonal Mouse IgG2B Clone # OTI3D8

Concentration

1 mg/ml

Product Specifications

Immunogen

Human recombinant protein fragment corresponding to amino acids 300-508 of human PRKD3 (NP_005804) produced in E.coli.

Reactivity Notes

Please note that this antibody is reactive to Mouse and derived from the same host, Mouse. Mouse-On-Mouse blocking reagent may be needed for IHC and ICC experiments to reduce high background signal. You can find these reagents under catalog numbers PK-2200-NB and MP-2400-NB. Please contact Technical Support if you have any questions.

Clonality

Monoclonal

Host

Mouse

Isotype

IgG2B

Description

Novus Biologicals Mouse PRKD3/nPKC nu Antibody (OTI3D8) (NBP2-45390) is a monoclonal antibody validated for use in IHC and WB. All Novus Biologicals antibodies are covered by our 100% guarantee.

Scientific Data Images for PRKD3/nPKC nu Antibody (OTI3D8)

Western Blot: PRKD3/nPKC nu Antibody (OTI3D8) [NBP2-45390]

Western Blot: PRKD3/nPKC nu Antibody (OTI3D8) [NBP2-45390]

Western Blot: PRKD3/nPKC nu Antibody (3D8) [NBP2-45390] - Analysis of HEK293T cells were transfected with the pCMV6-ENTRY control (Left lane) or pCMV6-ENTRY PRKD3.
Immunohistochemistry: PRKD3/nPKC nu Antibody (OTI3D8) [NBP2-45390]

Immunohistochemistry: PRKD3/nPKC nu Antibody (OTI3D8) [NBP2-45390]

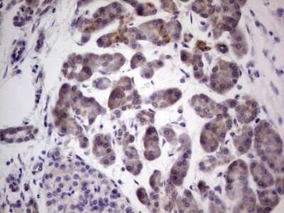
Immunohistochemistry: PRKD3/nPKC nu Antibody (3D8) [NBP2-45390] - Analysis of Carcinoma of Human pancreas tissue. (Heat-induced epitope retrieval by 1 mM EDTA in 10mM Tris, pH8.5, 120C for 3min)
Immunohistochemistry: PRKD3/nPKC nu Antibody (OTI3D8) [NBP2-45390]

Immunohistochemistry: PRKD3/nPKC nu Antibody (OTI3D8) [NBP2-45390]

Immunohistochemistry: PRKD3/nPKC nu Antibody (3D8) [NBP2-45390] - Analysis of Carcinoma of Human lung tissue.(Heat-induced epitope retrieval by 1 mM EDTA in 10mM Tris, pH8.5, 120C for 3min)

Applications for PRKD3/nPKC nu Antibody (OTI3D8)

Application
Recommended Usage

Immunohistochemistry

1:150

Western Blot

1:500

Formulation, Preparation, and Storage

Purification

Immunogen affinity purified

Formulation

PBS (pH 7.3), 1.0% BSA and 50% Glycerol

Preservative

0.02% Sodium Azide

Concentration

1 mg/ml

Shipping

The product is shipped with polar packs. Upon receipt, store it immediately at the temperature recommended below.

Stability & Storage

Store at -20C. Avoid freeze-thaw cycles.

Background: PRKD3/nPKC nu

Protein kinase C (PKC) is a family of serine- and threonine-specific protein kinases that can be activated by calcium and the second messenger diacylglycerol. PKC family members phosphorylate a wide variety of protein targets and are known to be involved in diverse cellular signaling pathways. PKC family members also serve as major receptors for phorbol esters, a class of tumor promoters. Each member of the PKC family has a specific expression profile and is believed to play a distinct role. The protein encoded by this gene is one of the PKC family members. This kinase can be activated rapidly by the agonists of G protein-coupled receptors. It resides in both cytoplasm and nucleus, and its nuclear accumulation is found to be dramatically enhanced in response to its activation. This kinase can also be activated after B-cell antigen receptor (BCR) engagement, which requires intact phopholipase C gamma and the involvement of other PKC family members.

Long Name

Protein Kinase D3

Alternate Names

EPK2, nPKC nu, PKC nu, PRKCN

Gene Symbol

PRKD3

Additional PRKD3/nPKC nu Products

Product Documents for PRKD3/nPKC nu Antibody (OTI3D8)

Certificate of Analysis

To download a Certificate of Analysis, please enter a lot number in the search box below.

Product Specific Notices for PRKD3/nPKC nu Antibody (OTI3D8)

This product is for research use only and is not approved for use in humans or in clinical diagnosis. Primary Antibodies are guaranteed for 1 year from date of receipt.

Loading...
Loading...
Loading...
Loading...