Skip to main content

PIK3C2A Antibody (HL1612) - Azide and BSA Free

Novus Biologicals, part of Bio-Techne | Catalog # NBP3-25601

Recombinant Monoclonal Antibody
Novus Biologicals, part of Bio-Techne
Catalog #
Availability
Size / Price
Qty
Loading...
NBP3-25601

Key Product Details

Species Reactivity

Human, Mouse, Rat, Canine, Feline

Applications

Immunohistochemistry, Immunohistochemistry-Paraffin, Western Blot

Label

Unconjugated

Antibody Source

Recombinant Monoclonal Rabbit IgG Clone # HL1612 expressed in HEK293

Format

Azide and BSA Free

Concentration

Concentrations vary lot to lot. See vial label for concentration. If unlisted please contact technical services.

Product Specifications

Immunogen

Carrier-protein conjugated synthetic peptide encompassing a sequence within the center region of human PIK3C2A. The exact sequence is proprietary.

Clonality

Monoclonal

Host

Rabbit

Isotype

IgG

Description

Novus Biologicals Rabbit PIK3C2A Antibody (HL1612) - Azide and BSA Free (NBP3-25601) is a recombinant monoclonal antibody validated for use in IHC and WB. All Novus Biologicals antibodies are covered by our 100% guarantee.

Scientific Data Images for PIK3C2A Antibody (HL1612) - Azide and BSA Free

PIK3C2A Antibody (HL1612) - Azide and BSA Free

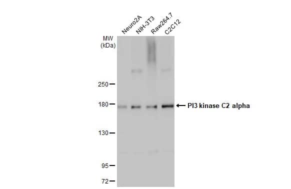
Western Blot: PIK3C2A Antibody (HL1612) - Azide and BSA Free [NBP3-25601] -

Western Blot: PIK3C2A Antibody (HL1612) - Azide and BSA Free [NBP3-25601] - Various whole cell extracts (30 ug) were separated by 5% SDS-PAGE, and the membrane was blotted with PI3 kinase C2 alpha antibody [HL1612] (NBP3-25601) diluted at 1:1000. The HRP-conjugated anti-rabbit IgG antibody was used to detect the primary antibody.
PIK3C2A Antibody (HL1612) - Azide and BSA Free

Immunohistochemistry-Paraffin: PIK3C2A Antibody (HL1612) - Azide and BSA Free [NBP3-25601] -

Immunohistochemistry-Paraffin: PIK3C2A Antibody (HL1612) - Azide and BSA Free [NBP3-25601] - PI3 kinase C2 alpha antibody [HL1612] detects PI3 kinase C2 alpha protein by immunohistochemical analysis. Sample: Paraffin-embedded rat brain. PI3 kinase C2 alpha stained by PI3 kinase C2 alpha antibody [HL1612] (NBP3-25601) diluted at 1:100. Antigen Retrieval: Citrate buffer, pH 6.0, 15 min
PIK3C2A Antibody (HL1612) - Azide and BSA Free

Western Blot: PIK3C2A Antibody (HL1612) - Azide and BSA Free [NBP3-25601] -

Western Blot: PIK3C2A Antibody (HL1612) - Azide and BSA Free [NBP3-25601] - Various whole cell extracts (30 ug) were separated by 5% SDS-PAGE, and the membrane was blotted with PI3 kinase C2 alpha antibody [HL1612] (NBP3-25601) diluted at 1:1000. The HRP-conjugated anti-rabbit IgG antibody was used to detect the primary antibody, and the signal was developed with Trident ECL plus-Enhanced.

Applications for PIK3C2A Antibody (HL1612) - Azide and BSA Free

Application
Recommended Usage

Western Blot

1:500-1:3000

Formulation, Preparation, and Storage

Purification

Protein A purified

Formulation

PBS

Format

Azide and BSA Free

Preservative

No Preservative

Concentration

Concentrations vary lot to lot. See vial label for concentration. If unlisted please contact technical services.

Shipping

The product is shipped with polar packs. Upon receipt, store it immediately at the temperature recommended below.

Stability & Storage

Store at 4C short term. Aliquot and store at -20C long term. Avoid freeze-thaw cycles.

Background: PIK3C2A

PIK3C2A belongs to the phosphoinositide 3-kinase (PI3K) family. PI3-kinases play roles in signaling pathways involved in cell proliferation, oncogenic transformation, cell survival, cell migration, and intracellular protein trafficking. This protein contains a lipid kinase catalytic domain as well as a C-terminal C2 domain, a characteristic of class II PI3-kinases. C2 domains act as calcium-dependent phospholipid binding motifs that mediate translocation of proteins to membranes, and may also mediate protein-protein interactions. The PI3-kinase activity of this protein is not sensitive to nanomolar levels of the inhibitor wortmanin. This protein was shown to be able to be activated by insulin and may be involved in integrin-dependent signaling.

Long Name

Phosphatidylinositol 4-phosphate 3-kinase C2 domain-containing subunit alpha

Alternate Names

EC 2.7.1.137, EC 2.7.1.153, EC 2.7.1.154, PI3K-C2-alpha

Gene Symbol

PIK3C2A

Additional PIK3C2A Products

Product Documents for PIK3C2A Antibody (HL1612) - Azide and BSA Free

Certificate of Analysis

To download a Certificate of Analysis, please enter a lot number in the search box below.

Product Specific Notices for PIK3C2A Antibody (HL1612) - Azide and BSA Free

This product is for research use only and is not approved for use in humans or in clinical diagnosis. Primary Antibodies are guaranteed for 1 year from date of receipt.

Loading...
Loading...
Loading...
Loading...