Skip to main content

Peroxiredoxin 4 Antibody (OTI9A3) - Azide and BSA Free

Novus Biologicals, part of Bio-Techne | Catalog # NBP2-73338

Novus Biologicals, part of Bio-Techne

Key Product Details

Species Reactivity

Human, Mouse, Rat

Applications

Immunohistochemistry, Immunohistochemistry-Paraffin, Western Blot, Immunocytochemistry/ Immunofluorescence

Label

Unconjugated

Antibody Source

Monoclonal Mouse IgG1 Clone # OTI9A3

Format

Azide and BSA Free

Concentration

LYOPH mg/ml

Product Specifications

Immunogen

Full length human recombinant protein of human PRDX4 (NP_006397) produced in HEK293T cell.

Reactivity Notes

Please note that this antibody is reactive to Mouse and derived from the same host, Mouse. Mouse-On-Mouse blocking reagent may be needed for IHC and ICC experiments to reduce high background signal. You can find these reagents under catalog numbers PK-2200-NB and MP-2400-NB. Please contact Technical Support if you have any questions.

Clonality

Monoclonal

Host

Mouse

Isotype

IgG1

Theoretical MW

30.4 kDa.
Disclaimer note: The observed molecular weight of the protein may vary from the listed predicted molecular weight due to post translational modifications, post translation cleavages, relative charges, and other experimental factors.

Description

Novus Biologicals Mouse Peroxiredoxin 4 Antibody (OTI9A3) - Azide and BSA Free (NBP2-02117) is a monoclonal antibody validated for use in IHC, WB and ICC/IF. All Novus Biologicals antibodies are covered by our 100% guarantee.

Scientific Data Images for Peroxiredoxin 4 Antibody (OTI9A3) - Azide and BSA Free

Western Blot: Peroxiredoxin 4 Antibody (OTI9A3)Azide and BSA Free [NBP2-73338]

Western Blot: Peroxiredoxin 4 Antibody (OTI9A3)Azide and BSA Free [NBP2-73338]

Western Blot: Peroxiredoxin 4 Antibody (OTI9A3) - Azide and BSA Free [NBP2-73338] - HEK293T cells were transfected with the pCMV6-ENTRY control (Left lane) or pCMV6-ENTRY Peroxiredoxin-4 (Right lane) cDNA for 48 hrs and lysed. Equivalent amounts of cell lysates (5 ug per lane) were separated by SDS-PAGE and immunoblotted with anti-Peroxi
Immunocytochemistry/ Immunofluorescence: Peroxiredoxin 4 Antibody (OTI9A3) - Azide and BSA Free [NBP2-73338]

Immunocytochemistry/ Immunofluorescence: Peroxiredoxin 4 Antibody (OTI9A3) - Azide and BSA Free [NBP2-73338]

Immunocytochemistry/Immunofluorescence: Peroxiredoxin 4 Antibody (OTI9A3) - Azide and BSA Free [NBP2-73338] - Staining of COS7 cells transiently transfected by pCMV6-ENTRY Peroxiredoxin-4.
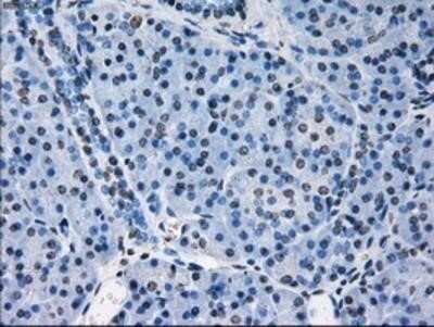
Immunohistochemistry: Peroxiredoxin 4 Antibody (OTI9A3) - Azide and BSA Free [NBP2-73338]

Immunohistochemistry: Peroxiredoxin 4 Antibody (OTI9A3) - Azide and BSA Free [NBP2-73338]

Immunohistochemistry: Peroxiredoxin 4 Antibody (OTI9A3) - Azide and BSA Free [NBP2-73338] - Staining of paraffin-embedded Human pancreas tissue using anti-Peroxiredoxin-4 mouse monoclonal antibody.

Applications for Peroxiredoxin 4 Antibody (OTI9A3) - Azide and BSA Free

Application
Recommended Usage

Immunocytochemistry/ Immunofluorescence

1:100

Immunohistochemistry

1:50

Western Blot

1:2000

Formulation, Preparation, and Storage

Purification

Immunogen affinity purified

Reconstitution

we recommend adding 100uL distilled water to a final antibody concentration of about 1 mg/mL. To use this carrier-free antibody for conjugation experiment, we strongly recommend performing another round of desalting process.

Formulation

Lyophilized from PBS (pH 7.3) with 8% Trehalose

Format

Azide and BSA Free

Preservative

No Preservative

Concentration

LYOPH mg/ml

Shipping

The product is shipped with polar packs. Upon receipt, store it immediately at the temperature recommended below.

Stability & Storage

Store at -20C. Avoid freeze-thaw cycles.

Background: Peroxiredoxin 4

Peroxiredoxin-4 is encoded by this gene is an antioxidant enzyme and belongs to the peroxiredoxin family. The protein is localized to the cytoplasm. Peroxidases of the peroxiredoxin family reduce hydrogen peroxide and alkyl hydroperoxides to water and alcohol with the use of reducing equivalents derived from thiol-containing donor molecules. This protein has been found to play a regulatory role in the activation of the transcription factor NF-kappaB.

Alternate Names

AOE372, PRDX4, Prx4

Gene Symbol

PRDX4

Additional Peroxiredoxin 4 Products

Product Documents for Peroxiredoxin 4 Antibody (OTI9A3) - Azide and BSA Free

Certificate of Analysis

To download a Certificate of Analysis, please enter a lot number in the search box below.

Product Specific Notices for Peroxiredoxin 4 Antibody (OTI9A3) - Azide and BSA Free

This product is for research use only and is not approved for use in humans or in clinical diagnosis. Primary Antibodies are guaranteed for 1 year from date of receipt.

Loading...
Loading...
Loading...
Loading...
Loading...