Periplakin Antibody
Novus Biologicals, part of Bio-Techne | Catalog # NBP2-19775
Key Product Details
Species Reactivity
Validated:
Human, Mouse
Predicted:
Rat (91%). Backed by our 100% Guarantee.
Applications
Immunohistochemistry, Immunohistochemistry-Paraffin, Western Blot
Label
Unconjugated
Antibody Source
Polyclonal Rabbit IgG
Concentration
Concentrations vary lot to lot. See vial label for concentration. If unlisted please contact technical services.
Product Specifications
Immunogen
Recombinant protein encompassing a sequence within the N-terminus region of human Periplakin. The exact sequence is proprietary.
Localization
Cell junction; desmosome; Cytoplasm; cytoskeleton; Cell membrane (By similarity); Nucleus (By similarity); Mitochondrion (By similarity)
Clonality
Polyclonal
Host
Rabbit
Isotype
IgG
Theoretical MW
205 kDa.
Disclaimer note: The observed molecular weight of the protein may vary from the listed predicted molecular weight due to post translational modifications, post translation cleavages, relative charges, and other experimental factors.
Disclaimer note: The observed molecular weight of the protein may vary from the listed predicted molecular weight due to post translational modifications, post translation cleavages, relative charges, and other experimental factors.
Description
Novus Biologicals Rabbit Periplakin Antibody (NBP2-19775) is a polyclonal antibody validated for use in IHC and WB. All Novus Biologicals antibodies are covered by our 100% guarantee.
Scientific Data Images for Periplakin Antibody
Western Blot: Periplakin Antibody [NBP2-19775]
Western Blot: Periplakin Antibody [NBP2-19775] - Sample (30 ug of whole cell lysate) A: U87-MG 5% SDS PAGE gel, diluted at 1:5000.Immunohistochemistry-Paraffin: Periplakin Antibody [NBP2-19775]
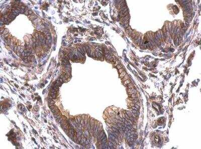
Immunohistochemistry-Paraffin: Periplakin Antibody [NBP2-19775] - Paraffin-embedded mouse prostate. Periplakin antibody [N1N2], N-term dilution: 1:500.Immunohistochemistry-Paraffin: Periplakin Antibody [NBP2-19775]
Immunohistochemistry-Paraffin: Periplakin Antibody [NBP2-19775] - Paraffin-embedded U87 xenograft. Periplakin antibody [N1N2], N-term dilution: 1:500.Applications for Periplakin Antibody
Application
Recommended Usage
Immunohistochemistry
1:100-1:1000
Immunohistochemistry-Paraffin
1:100-1:1000
Western Blot
1:500-1:3000
Formulation, Preparation, and Storage
Purification
Antigen Affinity-purified
Formulation
PBS, 1% BSA, 20% Glycerol
Preservative
0.01% Thimerosal
Concentration
Concentrations vary lot to lot. See vial label for concentration. If unlisted please contact technical services.
Shipping
The product is shipped with polar packs. Upon receipt, store it immediately at the temperature recommended below.
Stability & Storage
Aliquot and store at -20C or -80C. Avoid freeze-thaw cycles.
Background: Periplakin
Alternate Names
190 kDa paraneoplastic pemphigus antigen, 195 kDa cornified envelope precursor protein, KIAA0568, MGC134872, periplakin
Gene Symbol
PPL
UniProt
Additional Periplakin Products
Product Documents for Periplakin Antibody
Product Specific Notices for Periplakin Antibody
This product is for research use only and is not approved for use in humans or in clinical diagnosis. Primary Antibodies are guaranteed for 1 year from date of receipt.
Loading...
Loading...
Loading...
Loading...
⚠ WARNING: This product can expose you to chemicals including mercury, which is known to the State of California to cause reproductive toxicity with developmental effects. For more information go to www.P65Warnings.ca.gov.