Skip to main content

Pepsinogen C/PGC/Progastricsin Antibody - BSA Free

Novus Biologicals, part of Bio-Techne | Catalog # NBP1-91011

Novus Biologicals, part of Bio-Techne
Catalog #
Availability
Size / Price
Qty
Loading...
NBP1-91011

Key Product Details

Validated by

Orthogonal Validation, Independent Antibodies

Species Reactivity

Validated:

Human

Cited:

Human

Applications

Validated:

Immunohistochemistry, Immunohistochemistry-Paraffin, Immunohistochemistry-Frozen, Western Blot

Cited:

Immunohistochemistry-Frozen

Label

Unconjugated

Antibody Source

Polyclonal Rabbit IgG

Format

BSA Free

Concentration

Concentrations vary lot to lot. See vial label for concentration. If unlisted please contact technical services.

Product Specifications

Immunogen

This antibody was developed against Recombinant Protein corresponding to amino acids: IQVPNQEFGLSENEPGTNFVYAQFDGIMGLAYPALSVDEATTAMQGMVQEGALTSPVFSVYLSNQQGSSGGAVVFGGVDSSLYTGQI

Clonality

Polyclonal

Host

Rabbit

Isotype

IgG

Description

Novus Biologicals Rabbit Pepsinogen C/PGC/Progastricsin Antibody - BSA Free (NBP1-91011) is a polyclonal antibody validated for use in IHC and WB. Anti-Pepsinogen C/PGC/Progastricsin Antibody: Cited in 1 publication. All Novus Biologicals antibodies are covered by our 100% guarantee.

Scientific Data Images for Pepsinogen C/PGC/Progastricsin Antibody - BSA Free

Immunohistochemistry-Paraffin: Pepsinogen C/PGC/Progastricsin Antibody [NBP1-91011]

Immunohistochemistry-Paraffin: Pepsinogen C/PGC/Progastricsin Antibody [NBP1-91011]

Immunohistochemistry-Paraffin: Pepsinogen C/PGC/Progastricsin Antibody [NBP1-91011] - Analysis in human stomach and skeletal muscle tissues. Corresponding PGC RNA-seq data are presented for the same tissues.
Immunohistochemistry-Paraffin: Pepsinogen C/PGC/Progastricsin Antibody [NBP1-91011]

Immunohistochemistry-Paraffin: Pepsinogen C/PGC/Progastricsin Antibody [NBP1-91011]

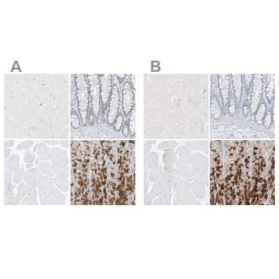
Immunohistochemistry-Paraffin: Pepsinogen C/PGC/Progastricsin Antibody [NBP1-91011] - Staining of human cerebral cortex, colon, skeletal muscle and stomach using Anti-PGC antibody NBP1-91011 (A) shows similar protein distribution across tissues to independent antibody NBP1-91012 (B).
Western Blot: Pepsinogen C/PGC/Progastricsin Antibody [NBP1-91011]

Western Blot: Pepsinogen C/PGC/Progastricsin Antibody [NBP1-91011]

Western Blot: Pepsinogen C/PGC/Progastricsin Antibody [NBP1-91011] - Analysis in control (vector only transfected HEK293T lysate) and PGC over-expression lysate (Co-expressed with a C-terminal myc-DDK tag (3.1 kDa) in mammalian HEK293T cells).

Applications for Pepsinogen C/PGC/Progastricsin Antibody - BSA Free

Application
Recommended Usage

Immunohistochemistry

1:500 - 1:1000

Immunohistochemistry-Paraffin

1:2500 - 1:5000

Western Blot

0.04-0.4 ug/ml
Application Notes
For IHC-Paraffin, HIER pH 6 retrieval is recommended. IHC-F reactivity reported in (PMID: 29925878).

Formulation, Preparation, and Storage

Purification

Affinity purified

Formulation

PBS (pH 7.2) and 40% Glycerol

Format

BSA Free

Preservative

0.02% Sodium Azide

Concentration

Concentrations vary lot to lot. See vial label for concentration. If unlisted please contact technical services.

Shipping

The product is shipped with polar packs. Upon receipt, store it immediately at the temperature recommended below.

Stability & Storage

Store at 4C short term. Aliquot and store at -20C long term. Avoid freeze-thaw cycles.

Background: Pepsinogen C/PGC

The Progastricsin gene encodes an aspartic proteinase that belongs to the peptidase family A1. The encoded protein is a digestive enzyme that is produced in the stomach and constitutes a major component of the gastric mucosa. This protein is also secreted into the ser

Alternate Names

Gastricsin, PEPC, PGC, PGII

Gene Symbol

PGC

Additional Pepsinogen C/PGC Products

Product Documents for Pepsinogen C/PGC/Progastricsin Antibody - BSA Free

Certificate of Analysis

To download a Certificate of Analysis, please enter a lot number in the search box below.

Product Specific Notices for Pepsinogen C/PGC/Progastricsin Antibody - BSA Free

This product is for research use only and is not approved for use in humans or in clinical diagnosis. Primary Antibodies are guaranteed for 1 year from date of receipt.

Loading...
Loading...
Loading...
Loading...