PDX-1/IPF1 Antibody (OTI3H3) - Azide and BSA Free
Novus Biologicals, part of Bio-Techne | Catalog # NBP2-73332
Conjugate
Catalog #
Key Product Details
Species Reactivity
Human, Mouse, Rat
Applications
Immunohistochemistry, Immunohistochemistry-Paraffin, Western Blot
Label
Unconjugated
Antibody Source
Monoclonal Mouse IgG2A Clone # OTI3H3
Format
Azide and BSA Free
Concentration
LYOPH mg/ml
Product Specifications
Immunogen
Full length human recombinant protein of human PDX1 (NP_000200) produced in E.coli.
Reactivity Notes
Please note that this antibody is reactive to Mouse and derived from the same host, Mouse. Mouse-On-Mouse blocking reagent may be needed for IHC and ICC experiments to reduce high background signal. You can find these reagents under catalog numbers PK-2200-NB and MP-2400-NB. Please contact Technical Support if you have any questions.
Clonality
Monoclonal
Host
Mouse
Isotype
IgG2A
Theoretical MW
30.6 kDa.
Disclaimer note: The observed molecular weight of the protein may vary from the listed predicted molecular weight due to post translational modifications, post translation cleavages, relative charges, and other experimental factors.
Disclaimer note: The observed molecular weight of the protein may vary from the listed predicted molecular weight due to post translational modifications, post translation cleavages, relative charges, and other experimental factors.
Description
Novus Biologicals Mouse PDX-1/IPF1 Antibody (OTI3H3) - Azide and BSA Free (NBP2-46371) is a monoclonal antibody validated for use in IHC and WB. All Novus Biologicals antibodies are covered by our 100% guarantee.
Scientific Data Images for PDX-1/IPF1 Antibody (OTI3H3) - Azide and BSA Free
Western Blot: PDX-1/IPF1 Antibody (OTI3H3)Azide and BSA Free [NBP2-73332]
Western Blot: PDX-1/IPF1 Antibody (OTI3H3) - Azide and BSA Free [NBP2-73332] - HEK293T cells were transfected with the pCMV6-ENTRY control (Left lane) or pCMV6-ENTRY PDX1 .Immunohistochemistry: PDX-1/IPF1 Antibody (OTI3H3) - Azide and BSA Free [NBP2-73332]
Immunohistochemistry: PDX-1/IPF1 Antibody (OTI3H3) - Azide and BSA Free [NBP2-73332] - Staining of paraffin-embedded Human Kidney tissue using anti-PDX1 mouse monoclonal antibody. (Heat-induced epitope retrieval by 1mM EDTA in 10mM Tris buffer (pH8.5) at 120 degrees C for 3 min,2) (1:150)Immunohistochemistry: PDX-1/IPF1 Antibody (OTI3H3) - Azide and BSA Free [NBP2-73332]
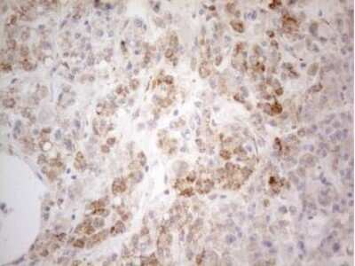
Immunohistochemistry: PDX-1/IPF1 Antibody (OTI3H3) - Azide and BSA Free [NBP2-73332] - Analysis of Carcinoma of Human pancreas tissue. (Heat-induced epitope retrieval by 1mM EDTA in 10mM Tris buffer (pH8.5) at 120C for 3 min)Applications for PDX-1/IPF1 Antibody (OTI3H3) - Azide and BSA Free
Application
Recommended Usage
Immunohistochemistry
1:150
Formulation, Preparation, and Storage
Purification
Immunogen affinity purified
Reconstitution
we recommend adding 100uL distilled water to a final antibody concentration of about 1 mg/mL. To use this carrier-free antibody for conjugation experiment, we strongly recommend performing another round of desalting process.
Formulation
Lyophilized from PBS (pH 7.3) with 8% Trehalose
Format
Azide and BSA Free
Preservative
No Preservative
Concentration
LYOPH mg/ml
Shipping
The product is shipped with polar packs. Upon receipt, store it immediately at the temperature recommended below.
Stability & Storage
Store at -20C. Avoid freeze-thaw cycles.
Background: PDX-1/IPF1
Long Name
Pancreas/Duodenum Homeobox-1
Alternate Names
IDX1, IPF1
Gene Symbol
PDX1
Additional PDX-1/IPF1 Products
Product Documents for PDX-1/IPF1 Antibody (OTI3H3) - Azide and BSA Free
Product Specific Notices for PDX-1/IPF1 Antibody (OTI3H3) - Azide and BSA Free
This product is for research use only and is not approved for use in humans or in clinical diagnosis. Primary Antibodies are guaranteed for 1 year from date of receipt.
Loading...
Loading...
Loading...
Loading...
Loading...