Skip to main content

PBK Antibody (S07-0B0)

Novus Biologicals, part of Bio-Techne | Catalog # NBP3-19905

Recombinant Monoclonal Antibody
Novus Biologicals, part of Bio-Techne
Catalog #
Availability
Size / Price
Qty
Loading...
NBP3-19905-100ul
NBP3-19905-50ul

Key Product Details

Species Reactivity

Human, Mouse, Rat

Applications

Immunohistochemistry, Immunohistochemistry-Paraffin, Western Blot

Label

Unconjugated

Antibody Source

Recombinant Monoclonal Rabbit IgG Clone # S07-0B0 expressed in HEK293

Concentration

0.3 mg/ml

Product Specifications

Immunogen

Recombinant protein of human PBK (Uniprot # Q96KB5)

Clonality

Monoclonal

Host

Rabbit

Isotype

IgG

Theoretical MW

40 kDa.
Disclaimer note: The observed molecular weight of the protein may vary from the listed predicted molecular weight due to post translational modifications, post translation cleavages, relative charges, and other experimental factors.

Description

Novus Biologicals Rabbit PBK Antibody (S07-0B0) (NBP3-19905) is a recombinant monoclonal antibody validated for use in IHC and WB. All Novus Biologicals antibodies are covered by our 100% guarantee.

Scientific Data Images for PBK Antibody (S07-0B0)

Western Blot: PBK Antibody (S07-0B0) [NBP3-19905]

Western Blot: PBK Antibody (S07-0B0) [NBP3-19905]

Western Blot: PBK Antibody (S07-0B0) [NBP3-19905] - Western blot detection of PBK in Hela, A549, HL-60, U2OS cell lysates using NBP3-19905 (1:1000 diluted). Predicted band size: 36kDa. Observed band size: 40kDa.
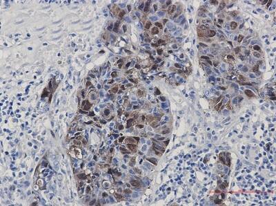
Immunohistochemistry-Paraffin: PBK Antibody (S07-0B0) [NBP3-19905]

Immunohistochemistry-Paraffin: PBK Antibody (S07-0B0) [NBP3-19905]

Immunohistochemistry-Paraffin: PBK Antibody (S07-0B0) [NBP3-19905] - Immunohistochemistry of PBK in paraffin-embedded Human lung cancer tissue using NBP3-19905 at dilution 1/50

Applications for PBK Antibody (S07-0B0)

Application
Recommended Usage

Immunohistochemistry

1/500

Western Blot

1/1000

Formulation, Preparation, and Storage

Purification

Affinity purified

Formulation

50mM Tris-Glycine(pH 7.4), 0.15M NaCl, 40% Glycerol, 0.05% BSA

Preservative

0.01% Sodium Azide

Concentration

0.3 mg/ml

Shipping

The product is shipped with polar packs. Upon receipt, store it immediately at the temperature recommended below.

Stability & Storage

Store at 4C short term. Aliquot and store at -20C long term. Avoid freeze-thaw cycles.

Background: PBK

PBK encodes a serine/threonine kinase related to the dual specific mitogen-activated protein kinase kinase (MAPKK) family. Evidence suggests that mitotic phosphorylation is required for its catalytic activity. This mitotic kinase may be involved in the activation of lymphoid cells and support testicular functions, with a suggested role in the process of spermatogenesis.

Alternate Names

Cancer/testis antigen 84, CT84MAPKK-like protein kinase, EC 2.7.12.2, FLJ14385, Nori-3PDZ-binding kinase, PDZ binding kinase, serine/threonine protein kinase, Spermatogenesis-related protein kinase, SPKT-LAK cell-originated protein kinase, TOPKlymphokine-activated killer T-cell-originated protein kinase

Gene Symbol

PBK

Additional PBK Products

Product Documents for PBK Antibody (S07-0B0)

Certificate of Analysis

To download a Certificate of Analysis, please enter a lot number in the search box below.

Product Specific Notices for PBK Antibody (S07-0B0)

This product is for research use only and is not approved for use in humans or in clinical diagnosis. Primary Antibodies are guaranteed for 1 year from date of receipt.

Loading...
Loading...
Loading...
Loading...