Skip to main content

Pax6 Antibody (CL5414) - Azide and BSA Free

Novus Biologicals, part of Bio-Techne | Catalog # NBP3-44080

Novus Biologicals, part of Bio-Techne
Catalog #
Availability
Size / Price
Qty
Loading...
NBP3-44080

Key Product Details

Species Reactivity

Human, Mouse, Rat

Applications

Immunohistochemistry-Paraffin, Immunocytochemistry/ Immunofluorescence

Label

Unconjugated

Antibody Source

Monoclonal Mouse IgG1 Clone # CL5414

Format

Azide and BSA Free

Concentration

LYOPH mg/ml

Product Specifications

Immunogen

This antibody was generated using a recombinant protein sequence of P26367, with the exact immunogen sequence remaining proprietary.

Clonality

Monoclonal

Host

Mouse

Isotype

IgG1

Description

Novus Biologicals Mouse Pax6 Antibody (CL5414) - Azide and BSA Free (NBP2-61411) is a monoclonal antibody validated for use in IHC and ICC/IF. All Novus Biologicals antibodies are covered by our 100% guarantee.

Scientific Data Images for Pax6 Antibody (CL5414) - Azide and BSA Free

Pax6 Antibody (CL5414) - Azide and BSA Free Immunocytochemistry/ Immunofluorescence: Pax6 Antibody [NBP3-44080]

Immunocytochemistry/ Immunofluorescence: Pax6 Antibody [NBP3-44080]

Staining of HEK 293 cells using the Anti-Pax6 monoclonal antibody) .
Pax6 Antibody (CL5414) - Azide and BSA Free Immunohistochemistry-Paraffin: Pax6 Antibody [NBP3-44080]

Immunohistochemistry-Paraffin: Pax6 Antibody [NBP3-44080]

Staining of mouse embryo E14 shows strong nuclear positivity in the developing eye.
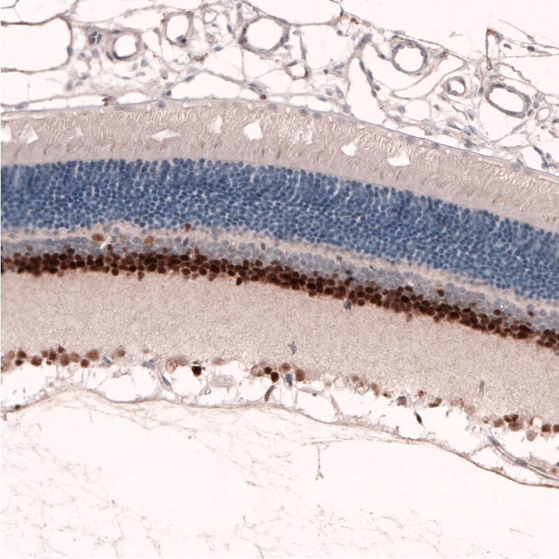
Pax6 Antibody (CL5414) - Azide and BSA Free Immunohistochemistry-Paraffin: Pax6 Antibody [NBP3-44080]

Immunohistochemistry-Paraffin: Pax6 Antibody [NBP3-44080]

Staining of rat eye retina shows strong nuclear positivity in the inner nuclear layer and ganglion cell layer.

Applications for Pax6 Antibody (CL5414) - Azide and BSA Free

Application
Recommended Usage

Immunocytochemistry/ Immunofluorescence

2-10 ug/ml

Immunohistochemistry-Paraffin

1:500 - 1:1000
Application Notes
For IHC-Paraffin, HIER pH 6 retrieval is recommended. Immunocytochemistry/ Immunofluorescence/IF Fixation Permeabilization: PFA/Triton X-100

Formulation, Preparation, and Storage

Purification

Protein A purified

Reconstitution

Centrifuge the vial of lyophilized antibody at 12,000 x g for 20 seconds. Reconstitute by adding sterile, distilled water to achieve a final antibody concentration of 1mg/ml.

Formulation

Lyophilized from a 0.2 um filtered solution in PBS with Trehalose

Format

Azide and BSA Free

Preservative

No Preservative

Concentration

LYOPH mg/ml

Shipping

The product is shipped at ambient temperature. Upon receipt, store it immediately at the temperature recommended below.

Stability & Storage

Store at 4C short term. Aliquot and store at -20C long term. Avoid freeze-thaw cycles.

Background: Pax6

PAX genes encode nuclear transcription factors which are regarded as major controllers of developmental processes in both vertebrates and invertebrates. Mutations in murine PAX genes underlie three natural mouse alleles and several corresponding human syndromes (aniridia, foveal hypoplasia and Peters® anomaly). Murine PAX genes have been shown to be proto-oncogenes. Furthermore, human PAX genes have recently been demonstrated to play an influential part in some common human cancers such as brain tumors and lymphomas. All PAX genes encode a DNA-binding domain termed the paired domain and in addition some also encode a second binding domain--the paired type homeobox. PAX6 is involved in the early development of the optical vesicle and has been shown to interact with Six3, another important visual development protein.

Long Name

Paired Box Gene 6

Alternate Names

keratitis), MGC17209, Oculorhombin, paired box 6, paired box protein Pax-6

Gene Symbol

PAX6

Additional Pax6 Products

Product Documents for Pax6 Antibody (CL5414) - Azide and BSA Free

Certificate of Analysis

To download a Certificate of Analysis, please enter a lot number in the search box below.

Product Specific Notices for Pax6 Antibody (CL5414) - Azide and BSA Free

This product is for research use only and is not approved for use in humans or in clinical diagnosis. Primary Antibodies are guaranteed for 1 year from date of receipt.

Loading...
Loading...
Loading...
Loading...
Loading...
Loading...