Skip to main content

PAWR / PAR4 Antibody (3G9H7)

Novus Biologicals, part of Bio-Techne | Catalog # NBP1-28892

Novus Biologicals, part of Bio-Techne
Catalog #
Availability
Size / Price
Qty
Loading...
NBP1-28892
NBP1-28892-0.025ml

Key Product Details

Species Reactivity

Human

Applications

ELISA, Immunohistochemistry, Immunohistochemistry-Paraffin, Western Blot

Label

Unconjugated

Antibody Source

Monoclonal Mouse IgG1 Clone # 3G9H7

Concentration

This product is unpurified. The exact concentration of antibody is not quantifiable.

Product Specifications

Immunogen

Purified recombinant fragment of PAWR / PAR4(aa1-330) expressed in E. Coli.

Specificity

Specific for PAWR / PAR4.

Clonality

Monoclonal

Host

Mouse

Isotype

IgG1

Description

Novus Biologicals Mouse PAWR/ PAR4 Antibody (3G9H7) (NBP1-28892) is a monoclonal antibody validated for use in IHC, WB and ELISA. All Novus Biologicals antibodies are covered by our 100% guarantee.

Scientific Data Images for PAWR / PAR4 Antibody (3G9H7)

Western Blot: PAWR / PAR4 Antibody (3G9H7)BSA Free [NBP1-28892]

Western Blot: PAWR / PAR4 Antibody (3G9H7)BSA Free [NBP1-28892]

Western Blot: PAWR / PAR4 Antibody (3G9H7) [NBP1-28892] - PAWR / PAR4 Antibody (3G9H7) Western blot analysis using PAR4 mouse mAb against full-length Trx-Par4 recombinant protein (1) and Hela cell lysate (2).
Immunohistochemistry-Paraffin: PAWR / PAR4 Antibody (3G9H7) - BSA Free [NBP1-28892]

Immunohistochemistry-Paraffin: PAWR / PAR4 Antibody (3G9H7) - BSA Free [NBP1-28892]

Immunohistochemistry-Paraffin: PAWR / PAR4 Antibody (3G9H7) [NBP1-28892] - Analysis of human brain (left) and breast carcinoma (right), showing cytoplasmic and membrane localization using PAR4 mouse mAb with DAB staining.
Immunohistochemistry-Paraffin: PAWR / PAR4 Antibody (3G9H7) - BSA Free [NBP1-28892]

Immunohistochemistry-Paraffin: PAWR / PAR4 Antibody (3G9H7) - BSA Free [NBP1-28892]

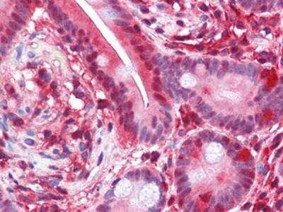
Immunohistochemistry-Paraffin: PAWR / PAR4 Antibody (3G9H7) [NBP1-28892] - Analysis of human Small Intestine tissues using PAR4 mouse mAb.

Applications for PAWR / PAR4 Antibody (3G9H7)

Application
Recommended Usage

ELISA

1:10000

Immunohistochemistry

1:200-1:1000

Immunohistochemistry-Paraffin

1:200-1:1000

Western Blot

1:500-1:2000

Formulation, Preparation, and Storage

Purification

Unpurified

Formulation

Ascites

Preservative

0.03% Sodium Azide

Concentration

This product is unpurified. The exact concentration of antibody is not quantifiable.

Shipping

The product is shipped with polar packs. Upon receipt, store it immediately at the temperature recommended below.

Stability & Storage

Store at 4C short term. Aliquot and store at -20C long term. Avoid freeze-thaw cycles.

Background: PAWR / PAR4

PAWR / PAR4 is a 38kD protein originally identified as the product of a gene that is upregulated in prostate tumor cells undergoing apoptosis. It is a leucine zipper and death domain containing protein whose levels increase in neurons undergoing apoptosis as a result of trophic factor withdrawal or exposure to oxidative and metabolic insults. Par4 levels are reported to be increased in their lumbar spinal cord specimens further suggesting a role in neuronal degeneration. The tumor suppressor WT1 represses and activates transcription. The loss and/or imbalance of the dual transcriptional activity of WT1 may contribute to Wilms tumor. Par4 is a WT1 interacting protein that also functions as a transcriptional repressor.

Alternate Names

Par-4, PAR4prostate apoptosis response protein 4, PRKC apoptosis WT1 regulator protein, PRKC, apoptosis, WT1, regulator, Prostate apoptosis response 4 protein, prostate apoptosis response protein PAR-4, transcriptional repressor PAR4, WT1-interacting protein

Gene Symbol

PAWR

Additional PAWR / PAR4 Products

Product Documents for PAWR / PAR4 Antibody (3G9H7)

Certificate of Analysis

To download a Certificate of Analysis, please enter a lot number in the search box below.

Product Specific Notices for PAWR / PAR4 Antibody (3G9H7)

This product is for research use only and is not approved for use in humans or in clinical diagnosis. Primary Antibodies are guaranteed for 1 year from date of receipt.

Loading...
Loading...
Loading...
Loading...