Skip to main content

Parvalbumin Antibody (CL15073) [Unconjugated] - BSA Free

Novus Biologicals, part of Bio-Techne | Catalog # NBP3-43651

Novus Biologicals, part of Bio-Techne
Catalog #
Availability
Size / Price
Qty
Loading...
NBP3-43651-25ul
NBP3-43651-100ul

Key Product Details

Validated by

Orthogonal Validation

Species Reactivity

Human, Mouse, Rat

Applications

Immunohistochemistry, Immunohistochemistry-Paraffin

Label

Unconjugated

Antibody Source

Monoclonal Mouse IgG1 Clone # CL15073

Format

BSA Free

Concentration

1 mg/ml

Product Specifications

Immunogen

This antibody was generated using a recombinant protein sequence of P20472, with the exact immunogen sequence remaining proprietary.

Clonality

Monoclonal

Host

Mouse

Isotype

IgG1

Description

Novus Biologicals Mouse Parvalbumin Antibody (CL15073) [Unconjugated] - BSA Free (NBP3-43651) is a monoclonal antibody validated for use in IHC. All Novus Biologicals antibodies are covered by our 100% guarantee.

Scientific Data Images for Parvalbumin Antibody (CL15073) [Unconjugated] - BSA Free

Parvalbumin Antibody (CL15073) [Unconjugated] Immunohistochemistry-Paraffin: Parvalbumin Antibody (CL15073) [NBP3-43651]

Immunohistochemistry-Paraffin: Parvalbumin Antibody (CL15073) [NBP3-43651]

Staining of human liver shows no positivity in hepatocytes as expected.
Parvalbumin Antibody (CL15073) [Unconjugated] Immunohistochemistry-Paraffin: Parvalbumin Antibody (CL15073) [NBP3-43651]

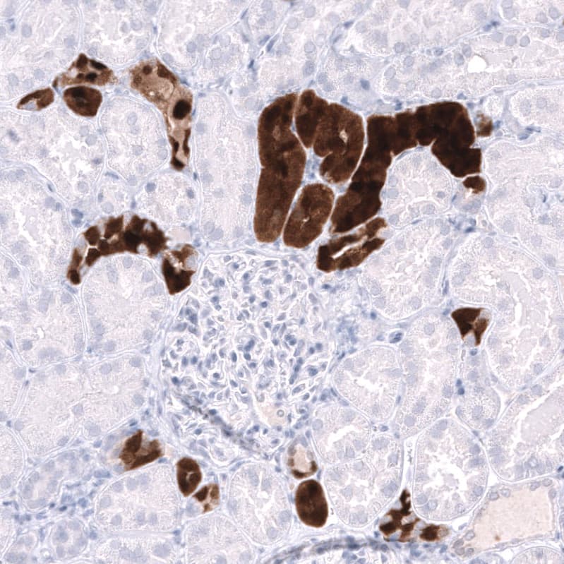
Immunohistochemistry-Paraffin: Parvalbumin Antibody (CL15073) [NBP3-43651]

Analysis in human kidney and liver tissues using NBP3-43651 antibody. Corresponding PVALB RNA-seq data are presented for the same tissues.
Parvalbumin Antibody (CL15073) [Unconjugated] Immunohistochemistry-Paraffin: Parvalbumin Antibody (CL15073) [NBP3-43651]

Immunohistochemistry-Paraffin: Parvalbumin Antibody (CL15073) [NBP3-43651]

Staining of human cerebellum shows strong cytoplasmic positivity in Purkinje cells.

Applications for Parvalbumin Antibody (CL15073) [Unconjugated] - BSA Free

Application
Recommended Usage

Immunohistochemistry

1:5000-1:10000

Immunohistochemistry-Paraffin

1:5000-1:10000
Application Notes
For IHC-Paraffin, HIER pH 6 retrieval is recommended.

Formulation, Preparation, and Storage

Purification

Protein A purified

Formulation

PBS, pH 7.2, 40% glycerol

Format

BSA Free

Preservative

0.02% Sodium Azide

Concentration

1 mg/ml

Shipping

The product is shipped with polar packs. Upon receipt, store it immediately at the temperature recommended below.

Stability & Storage

Store at 4C short term. Aliquot and store at -20C long term. Avoid freeze-thaw cycles.

Background: Parvalbumin

Parvalbumin is encoded by this gene is a high affinity calcium ion-binding protein that is structurally and functionally similar to calmodulin and troponin C. The encoded protein is thought to be involved in muscle relaxation.

Alternate Names

D22S749, MGC116759, parvalbumin, parvalbumin alpha, PV

Gene Symbol

PVALB

Additional Parvalbumin Products

Product Documents for Parvalbumin Antibody (CL15073) [Unconjugated] - BSA Free

Certificate of Analysis

To download a Certificate of Analysis, please enter a lot number in the search box below.

Product Specific Notices for Parvalbumin Antibody (CL15073) [Unconjugated] - BSA Free

This product is for research use only and is not approved for use in humans or in clinical diagnosis. Primary Antibodies are guaranteed for 1 year from date of receipt.

Loading...
Loading...
Loading...
Loading...
Loading...