Skip to main content

Palladin Antibody - Azide and BSA Free

Novus Biologicals, part of Bio-Techne | Catalog # NBP2-93983

Novus Biologicals, part of Bio-Techne
Catalog #
Availability
Size / Price
Qty
Loading...
NBP2-93983-0.02ml
NBP2-93983-0.1ml

Key Product Details

Species Reactivity

Human, Mouse, Rat

Applications

Immunohistochemistry, Immunohistochemistry-Paraffin, Western Blot, ELISA, Immunocytochemistry/ Immunofluorescence, Immunoprecipitation

Label

Unconjugated

Antibody Source

Polyclonal Rabbit IgG

Format

Azide and BSA Free

Concentration

Please see the vial label for concentration. If unlisted please contact technical services.

Product Specifications

Immunogen

Recombinant fusion protein containing a sequence corresponding to amino acids 383-672 of human PALLD (NP_001159582.1). AVNQRGRSPRSPSGHPHVRRPRSRSRDSGDENEPIQERFFRPHFLQAPGDLTVQEGKLCRMDCKVSGLPTPDLSWQLDGKPVRPDSAHKMLVRENGVHSLIIEPVTSRDAGIYTCIATNRAGQNSFSLELVVAAKEAHKPPVFIEKLQNTGVADGYPVRLECRVLGVPPPQIFWKKENESLTHSTDRVSMHQDNHGYICLLIQGATKEDAGWYTVSAKNEAGIVSCTARLDVYTQWHQQSQSTKPKKVRPSASRYAALSDQGLDIKAAFQPEANPSHLTLNTALVESEDL

Clonality

Polyclonal

Host

Rabbit

Isotype

IgG

Theoretical MW

151 kDa.
Disclaimer note: The observed molecular weight of the protein may vary from the listed predicted molecular weight due to post translational modifications, post translation cleavages, relative charges, and other experimental factors.

Description

Novus Biologicals Rabbit Palladin Antibody - Azide and BSA Free (NBP2-93983) is a polyclonal antibody validated for use in IHC, WB, ELISA, ICC/IF and IP. All Novus Biologicals antibodies are covered by our 100% guarantee.

Scientific Data Images for Palladin Antibody - Azide and BSA Free

Western Blot: Palladin AntibodyAzide and BSA Free [NBP2-93983]

Western Blot: Palladin AntibodyAzide and BSA Free [NBP2-93983]

Western Blot: Palladin Antibody [NBP2-93983] - Western blot analysis of extracts of various cell lines, using Palladin antibody (NBP2-93983) at 1:1000 dilution. Secondary antibody: HRP Goat Anti-Rabbit IgG (H+L) at 1:10000 dilution. Lysates/proteins: 25ug per lane. Blocking buffer: 3% nonfat dry milk in TBST. Detection: ECL Basic Kit. Exposure time: 30s.
Immunocytochemistry/ Immunofluorescence: Palladin Antibody - Azide and BSA Free [NBP2-93983]

Immunocytochemistry/ Immunofluorescence: Palladin Antibody - Azide and BSA Free [NBP2-93983]

Immunocytochemistry/Immunofluorescence: Palladin Antibody [NBP2-93983] - Analysis of NIH-3T3 cells using Palladin . Blue: DAPI for nuclear staining.
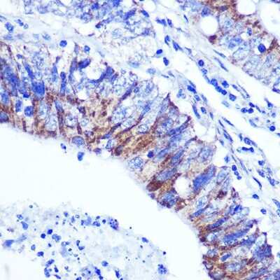
Immunohistochemistry-Paraffin: Palladin Antibody - Azide and BSA Free [NBP2-93983]

Immunohistochemistry-Paraffin: Palladin Antibody - Azide and BSA Free [NBP2-93983]

Immunohistochemistry-Paraffin: Palladin Antibody [NBP2-93983] - Paraffin-embedded rat ovary using Palladin .

Applications for Palladin Antibody - Azide and BSA Free

Application
Recommended Usage

ELISA

Recommended starting concentration is 1 μg/mL. Please optimize the concentration based on your specific assay requirements.

Immunocytochemistry/ Immunofluorescence

1:50 - 1:200

Immunohistochemistry

1:50 - 1:200

Immunoprecipitation

0.5μg-4μg antibody for 200μg-400μg extracts of whole cells

Western Blot

1:500 - 1:1000

Formulation, Preparation, and Storage

Purification

Affinity purified

Formulation

PBS (pH 7.3), 50% glycerol

Format

Azide and BSA Free

Preservative

0.01% Thimerosal

Concentration

Please see the vial label for concentration. If unlisted please contact technical services.

Shipping

The product is shipped with polar packs. Upon receipt, store it immediately at the temperature recommended below.

Stability & Storage

Store at -20C. Avoid freeze-thaw cycles.

Background: Palladin

Palladin is a cytoskeletal protein required for organization of normal actin cytoskeleton. Palladin plays roles in establishing cell morphology, motility, cell adhesion and cell-extracellular matrix interactions in a variety of cell types. Palladin may function as a scaffolding molecule with the potential to impact both actin polymerization and the assembly of existing actin filaments into higher-order arrays. It binds to proteins that bind to either monomeric or filamentous actin. It localizes at sites where active actin remodeling takes place, such as lamellipodia and membrane ruffles. Palladin's different isoforms may have functional differences. Palladin is also involved in the control of morphological and cytoskeletal changes associated with dendritic cell maturation.

Alternate Names

PALLD, PNCA1, SIH002

Gene Symbol

PALLD

Additional Palladin Products

Product Documents for Palladin Antibody - Azide and BSA Free

Certificate of Analysis

To download a Certificate of Analysis, please enter a lot number in the search box below.

Product Specific Notices for Palladin Antibody - Azide and BSA Free

This product is for research use only and is not approved for use in humans or in clinical diagnosis. Primary Antibodies are guaranteed for 1 year from date of receipt.

Loading...
Loading...
Loading...
Loading...

⚠ WARNING: This product can expose you to chemicals including Methotrexate, which is known to the State of California to cause reproductive toxicity with developmental effects. For more information, go to www.P65Warnings.ca.gov