Skip to main content

p40/deltaNp63 Antibody (P40/7302R)

Novus Biologicals, part of Bio-Techne | Catalog # NBP3-13806

Recombinant Monoclonal Antibody
Novus Biologicals, part of Bio-Techne
Catalog #
Availability
Size / Price
Qty
Loading...
NBP3-13806-100ug
NBP3-13806-20ug

Key Product Details

Species Reactivity

Human

Applications

Immunohistochemistry-Paraffin

Label

Unconjugated

Antibody Source

Recombinant Monoclonal Rabbit IgG Kappa Clone # P40/7302R

Concentration

0.2 mg/ml

Product Specifications

Immunogen

Recombinant fragment (around aa1-200) of human p40/deltaNp63 protein (exact sequence is proprietary) (Uniprot: Q9H3D4 )

Localization

Nucleus

Marker

Squamous, Basal & Myoepithelial Cell Marker

Clonality

Monoclonal

Host

Rabbit

Isotype

IgG Kappa

Theoretical MW

63 kDa.
Disclaimer note: The observed molecular weight of the protein may vary from the listed predicted molecular weight due to post translational modifications, post translation cleavages, relative charges, and other experimental factors.

Description

200ug/ml of antibody purified by Protein A Column. Prepared in 10 mM PBS with 0.05% BSA & 0.05% azide. Also available WITHOUT BSA & azide at 1.0 mg/ml. (NBP3-14057)

Antibody with azide - store at 2 to 8C. Antibody without azide - store at -20 to -80 C.

Scientific Data Images for p40/deltaNp63 Antibody (P40/7302R)

Immunohistochemistry-Paraffin: p40/deltaNp63 Antibody (P40/7302R) [NBP3-13806]

Immunohistochemistry-Paraffin: p40/deltaNp63 Antibody (P40/7302R) [NBP3-13806]

Immunohistochemistry-Paraffin: p40/deltaNp63 Antibody (P40/7302R) [NBP3-13806] - Formalin-fixed, paraffin-embedded human prostate cancer stained with p40/deltaNp63 antibody (P40/7302R). HIER: Tris/EDTA, pH9.0, 45min. HRP-polymer, 30min. DAB, 5min.
Immunohistochemistry-Paraffin: p40/deltaNp63 Antibody (P40/7302R) [NBP3-13806]

Immunohistochemistry-Paraffin: p40/deltaNp63 Antibody (P40/7302R) [NBP3-13806]

Immunohistochemistry-Paraffin: p40/deltaNp63 Antibody (P40/7302R) [NBP3-13806] - Formalin-fixed, paraffin-embedded human prostate cancer stained with p40/deltaNp63 antibody (P40/7302R). Inset: PBS instead of primary antibody, secondary antibody negative control.
Immunohistochemistry-Paraffin: p40/deltaNp63 Antibody (P40/7302R) [NBP3-13806]

Immunohistochemistry-Paraffin: p40/deltaNp63 Antibody (P40/7302R) [NBP3-13806]

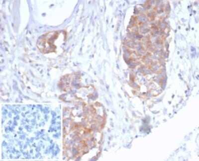
Immunohistochemistry-Paraffin: p40/deltaNp63 Antibody (P40/7302R) [NBP3-13806] - Formalin-fixed, paraffin-embedded human ovarian cancer stained with p40/deltaNp63 antibody (P40/7302R). Inset: PBS instead of primary antibody; secondary only negative control.

Applications for p40/deltaNp63 Antibody (P40/7302R)

Application
Recommended Usage

Immunohistochemistry-Paraffin

1-2 ug/ml
Application Notes
Immunohistochemistry (Formalin-fixed): 1-2ug/ml for 30 minutes at RT. Staining of formalin-fixed tissues requires heating tissue sections in 10mM Tris with 1mM EDTA, pH 9.0, for 45 min at 95C followed by cooling at RT for 20 minutes

Formulation, Preparation, and Storage

Purification

Protein A purified

Formulation

10 mM PBS with 0.05% BSA

Preservative

0.05% Sodium Azide

Concentration

0.2 mg/ml

Shipping

The product is shipped with polar packs. Upon receipt, store it immediately at the temperature recommended below.

Stability & Storage

Store at 4C.

Background: p40/deltaNp63

Alternate Names

AIS, amplified in squamous cell carcinoma, B(p51A), B(p51B), Chronic ulcerative stomatitis protein, EEC3, Keratinocyte transcription factor KET, KET, LMS, OFC8, p53CP, SHFM4, TP53CP, TP53L, TP63, TP73L, Transformation-related protein 63, tumor protein p53-competing protein

Gene Symbol

TP63

UniProt

Additional p40/deltaNp63 Products

Product Documents for p40/deltaNp63 Antibody (P40/7302R)

Certificate of Analysis

To download a Certificate of Analysis, please enter a lot number in the search box below.

Product Specific Notices for p40/deltaNp63 Antibody (P40/7302R)

This product is for research use only and is not approved for use in humans or in clinical diagnosis. Primary Antibodies are guaranteed for 1 year from date of receipt.

Loading...
Loading...
Loading...
Loading...