Skip to main content

Ornithine Decarboxylase Antibody (ODC1/485) - IHC-Prediluted

Novus Biologicals, part of Bio-Techne | Catalog # NBP2-44732

Novus Biologicals, part of Bio-Techne
Catalog #
Availability
Size / Price
Qty
Loading...
NBP2-44732

Key Product Details

Species Reactivity

Human, Mouse, Rat

Applications

Immunohistochemistry, Immunohistochemistry-Paraffin

Label

Unconjugated

Antibody Source

Monoclonal Mouse IgG1 kappa Clone # ODC1/485

Format

IHC-Prediluted

Concentration

Please see the vial label for concentration. If unlisted please contact technical services.

Product Specifications

Immunogen

Recombinant full-length human Ornithine Decarboxylase protein (Uniprot: P11926)

Localization

Cytoplasmic

Clonality

Monoclonal

Host

Mouse

Isotype

IgG1 kappa

Theoretical MW

53 kDa.
Disclaimer note: The observed molecular weight of the protein may vary from the listed predicted molecular weight due to post translational modifications, post translation cleavages, relative charges, and other experimental factors.

Description

The prediluted antibody does not require any mixing, dilution, reconstitution, or titration; the antibody is ready-to-use and optimized for staining.

Scientific Data Images for Ornithine Decarboxylase Antibody (ODC1/485) - IHC-Prediluted

Immunohistochemistry-Paraffin: Ornithine Decarboxylase Antibody (ODC1/485) - IHC-Prediluted [NBP2-44732]

Immunohistochemistry-Paraffin: Ornithine Decarboxylase Antibody (ODC1/485) - IHC-Prediluted [NBP2-44732]

Immunohistochemistry-Paraffin: Ornithine Decarboxylase Antibody (ODC1/485) - IHC-Prediluted [NBP2-44732] - Formalin-fixed, paraffin-embedded human prostate carcinoma with ODC-1 Monoclonal Antibody (ODC1/485)
Immunohistochemistry-Paraffin: Ornithine Decarboxylase Antibody (ODC1/485) - IHC-Prediluted [NBP2-44732]

Immunohistochemistry-Paraffin: Ornithine Decarboxylase Antibody (ODC1/485) - IHC-Prediluted [NBP2-44732]

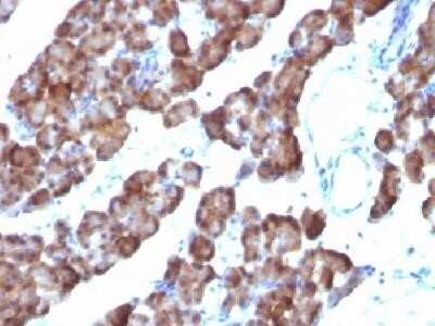
Immunohistochemistry-Paraffin: Ornithine Decarboxylase Antibody (ODC1/485) - IHC-Prediluted [NBP2-44732] - Formalin-fixed, paraffin-embedded Rat pancreas stained with ODC1 Monoclonal Antibody (ODC1/485)
Immunohistochemistry-Paraffin: Ornithine Decarboxylase Antibody (ODC1/485) - IHC-Prediluted [NBP2-44732]

Immunohistochemistry-Paraffin: Ornithine Decarboxylase Antibody (ODC1/485) - IHC-Prediluted [NBP2-44732]

Immunohistochemistry-Paraffin: Ornithine Decarboxylase Antibody (ODC1/485) - IHC-Prediluted [NBP2-44732] - Formalin-fixed, paraffin-embedded Mouse Pancreas stained with Ornithine Decarboxylase Antibody (ODC1/485).

Applications for Ornithine Decarboxylase Antibody (ODC1/485) - IHC-Prediluted

Application
Recommended Usage

Immunohistochemistry-Paraffin

0.25 - 0.5 ug/ml
Application Notes
Immunohistochemistry (Formalin-fixed): 0.25-0.5ug/ml for 30 minutes at RT. Staining of formalin-fixed tissues requires heating tissue sections in 10mM Tris with 1mM EDTA, pH 9.0, for 45 min at 95C followed by cooling at RT for 20 minutes.
Optimal dilution for a specific application should be determined.

Formulation, Preparation, and Storage

Purification

Protein A or G purified

Formulation

10 mM PBS with 0.05% BSA

Format

IHC-Prediluted

Preservative

0.05% Sodium Azide

Concentration

Please see the vial label for concentration. If unlisted please contact technical services.

Shipping

The product is shipped with polar packs. Upon receipt, store it immediately at the temperature recommended below.

Stability & Storage

Store at 4C.

Background: ODC1

Ornithine Decarboxylase encodes the rate-limiting enzyme of the polyamine biosynthesis pathway which catalyzes ornithine to putrescine. The activity level for the enzyme varies in response to growth-promoting stimuli and exhibits a high turnover rate in comparison to other mammalian proteins. Originally localized to both chromosomes 2 and 7, the gene encoding this enzyme has been determined to be located on 2p25, with a pseudogene located on 7q31-qter.

Long Name

Ornithine Decarboxylase 1

Alternate Names

ODC

Gene Symbol

ODC1

Additional ODC1 Products

Product Documents for Ornithine Decarboxylase Antibody (ODC1/485) - IHC-Prediluted

Certificate of Analysis

To download a Certificate of Analysis, please enter a lot number in the search box below.

Product Specific Notices for Ornithine Decarboxylase Antibody (ODC1/485) - IHC-Prediluted

This product is for research use only and is not approved for use in humans or in clinical diagnosis. Primary Antibodies are guaranteed for 1 year from date of receipt.

Loading...
Loading...
Loading...
Loading...