Skip to main content

NVL Antibody - BSA Free

Novus Biologicals, part of Bio-Techne | Catalog # NBP2-37861

Novus Biologicals, part of Bio-Techne
Catalog #
Availability
Size / Price
Qty
Loading...
NBP2-37861

Key Product Details

Validated by

Orthogonal Validation

Species Reactivity

Human

Applications

Immunohistochemistry, Immunohistochemistry-Paraffin, Immunocytochemistry/ Immunofluorescence

Label

Unconjugated

Antibody Source

Polyclonal Rabbit IgG

Format

BSA Free

Concentration

Concentrations vary lot to lot. See vial label for concentration. If unlisted please contact technical services.

Product Specifications

Immunogen

This antibody was developed against a recombinant protein corresponding to amino acids: VNRVLMKLQEQQKKNPEMEDLPSKGVQEERLGTEPTSETQDELQRLLGLLRDQDPLSEEQMQGLCIELNDFIVALSSVQPSAKREGFVTVPN

Reactivity Notes

Immunogen displays the following percentage of sequence identity for non-tested species: Mouse (89%)

Clonality

Polyclonal

Host

Rabbit

Isotype

IgG

Description

Novus Biologicals Rabbit NVL Antibody - BSA Free (NBP2-37861) is a polyclonal antibody validated for use in IHC and ICC/IF. All Novus Biologicals antibodies are covered by our 100% guarantee.

Scientific Data Images for NVL Antibody - BSA Free

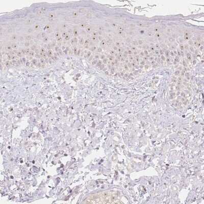
Immunohistochemistry-Paraffin: NVL Antibody [NBP2-37861]

Immunohistochemistry-Paraffin: NVL Antibody [NBP2-37861]

Immunohistochemistry-Paraffin: NVL Antibody [NBP2-37861] - Analysis in human skin and pancreas tissues using Anti-NVL antibody. Corresponding NVL RNA-seq data are presented for the same tissues.
Immunocytochemistry/ Immunofluorescence: NVL Antibody [NBP2-37861]

Immunocytochemistry/ Immunofluorescence: NVL Antibody [NBP2-37861]

Immunocytochemistry/Immunofluorescence: NVL Antibody [NBP2-37861] - Immunofluorescent staining of human cell line HEK 293 shows localization to nucleoli.
Immunohistochemistry-Paraffin: NVL Antibody [NBP2-37861]

Immunohistochemistry-Paraffin: NVL Antibody [NBP2-37861]

Immunohistochemistry-Paraffin: NVL Antibody [NBP2-37861] - Staining of human pancreas shows low expression as expected.

Applications for NVL Antibody - BSA Free

Application
Recommended Usage

Immunocytochemistry/ Immunofluorescence

0.25-2 ug/ml

Immunohistochemistry

1:50 - 1:200

Immunohistochemistry-Paraffin

1:50 - 1:200
Application Notes
For IHC-Paraffin, HIER pH 6 retrieval is recommended. ICC/IF Fixation Permeabilization: Use PFA/Triton X-100.

Formulation, Preparation, and Storage

Purification

Affinity purified

Formulation

PBS (pH 7.2) and 40% Glycerol

Format

BSA Free

Preservative

0.02% Sodium Azide

Concentration

Concentrations vary lot to lot. See vial label for concentration. If unlisted please contact technical services.

Shipping

The product is shipped with polar packs. Upon receipt, store it immediately at the temperature recommended below.

Stability & Storage

Store at 4C short term. Aliquot and store at -20C long term. Avoid freeze-thaw cycles.

Background: NVL

Alternate Names

nuclear valosin-containing protein-like, nuclear VCP-like, Nuclear VCP-like protein, NVLp

Gene Symbol

NVL

UniProt

Additional NVL Products

Product Documents for NVL Antibody - BSA Free

Certificate of Analysis

To download a Certificate of Analysis, please enter a lot number in the search box below.

Product Specific Notices for NVL Antibody - BSA Free

This product is for research use only and is not approved for use in humans or in clinical diagnosis. Primary Antibodies are guaranteed for 1 year from date of receipt.

Loading...
Loading...
Loading...
Loading...