Skip to main content

NUP214 Antibody

Novus Biologicals, part of Bio-Techne | Catalog # NB100-2244

Novus Biologicals, part of Bio-Techne
Catalog #
Availability
Size / Price
Qty
Loading...
NB100-2244

Key Product Details

Validated by

Independent Antibodies

Species Reactivity

Human

Applications

Immunohistochemistry, Immunohistochemistry-Paraffin, Western Blot, Immunoprecipitation

Label

Unconjugated

Antibody Source

Polyclonal Rabbit IgG

Concentration

0.2 mg/ml

Product Specifications

Immunogen

The immunogen recognized by this antibody maps to a region between residue 1250 and 1300 of human Nuceloporin 214 using the numbering given in entry NP_005076.3 (GeneID 8021).

Clonality

Polyclonal

Host

Rabbit

Isotype

IgG

Scientific Data Images for NUP214 Antibody

Western Blot: NUP214 Antibody [NB100-2244]

Western Blot: NUP214 Antibody [NB100-2244]

Western Blot: NUP214 Antibody [NB100-2244] - Whole cell lysate from HeLa (5, 15 and 50 ug), and HEK293T (50ug) cells prepared using NETN lysis buffer. Antibody: Affinity purified rabbit anti-NUP214 antibodyused for WB at 0.1 ug/ml. Detection: Chemiluminescence with an exposure time of 30seconds.
Immunohistochemistry-Paraffin: NUP214 Antibody [NB100-2244]

Immunohistochemistry-Paraffin: NUP214 Antibody [NB100-2244]

Immunohistochemistry-Paraffin: NUP214 Antibody [NB100-2244] - Section of ovarian carcinoma. Antibody: Affinity purified rabbit anti- NUP214 used at a dilution of 1:200 (1ug/ml). Detection: DAB
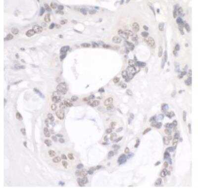
Immunohistochemistry-Paraffin: NUP214 Antibody [NB100-2244]

Immunohistochemistry-Paraffin: NUP214 Antibody [NB100-2244]

Immunohistochemistry-Paraffin: NUP214 Antibody [NB100-2244] - Section of ovarian carcinoma. Antibody: Affinity purified rabbit anti- NUP214 used at a dilution of 1:200 (1ug/ml). Detection: DAB

Applications for NUP214 Antibody

Application
Recommended Usage

Immunohistochemistry-Paraffin

1:100- 1:500

Immunoprecipitation

2-10 ug/mg lysate

Western Blot

1:2000-1:10000
Application Notes
Epitope retrieval with citrate buffer pH6.0 is recommended for FFPE tissue sections.

Formulation, Preparation, and Storage

Purification

Immunogen affinity purified

Formulation

TBS and 0.1% BSA

Preservative

0.09% Sodium Azide

Concentration

0.2 mg/ml

Shipping

The product is shipped with polar packs. Upon receipt, store it immediately at the temperature recommended below.

Stability & Storage

Store at 4C. Do not freeze.

Background: NUP214

The nuclear pore complex is a massive structure that extends across the nuclear envelope, forming a gateway that regulates the flow of macromolecules between the nucleus and the cytoplasm. Nucleoporins are the main components of the nuclear pore complex in eukaryotic cells. This gene is a member of the FG-repeat-containing nucleoporins. The protein encoded by this gene is localized to the cytoplasmic face of the nuclear pore complex where it is required for proper cell cycle progression and nucleocytoplasmic transport. The 3' portion of this gene forms a fusion gene with the DEK gene on chromosome 6 in a t(6,9) translocation associated with acute myeloid leukemia and myelodysplastic syndrome.

Alternate Names

214 kDa nucleoporin, CAINputative oncogene, D9S46Enuclear pore complex protein Nup214, KIAA0023, MGC104525, N214, nucleoporin 214kD (CAIN), nucleoporin 214kDa, Nucleoporin Nup214, p250, Protein CAN

Entrez Gene IDs

8021 (Human)

Gene Symbol

NUP214

Additional NUP214 Products

Product Documents for NUP214 Antibody

Certificate of Analysis

To download a Certificate of Analysis, please enter a lot number in the search box below.

Product Specific Notices for NUP214 Antibody

This product is for research use only and is not approved for use in humans or in clinical diagnosis. Primary Antibodies are guaranteed for 1 year from date of receipt.

Loading...
Loading...
Loading...
Loading...