Skip to main content

Neutrophil Elastase/ELA2 Antibody (JF098-6)

Novus Biologicals, part of Bio-Techne | Catalog # NBP2-66972

Recombinant Monoclonal Antibody.
Novus Biologicals, part of Bio-Techne
Catalog #
Availability
Size / Price
Qty
Loading...
NBP2-66972

Key Product Details

Validated by

Biological Validation

Species Reactivity

Validated:

Human, Mouse

Cited:

Mouse

Applications

Validated:

Immunohistochemistry, Immunohistochemistry-Paraffin, Western Blot, Flow Cytometry, Immunocytochemistry/ Immunofluorescence

Cited:

Immunohistochemistry-Paraffin

Label

Unconjugated

Antibody Source

Recombinant Monoclonal Rabbit IgG Clone # JF098-6 expressed in HEK293

Concentration

1 mg/ml

Product Specifications

Immunogen

Recombinant protein within Human Neutrophil Elastase/ELA2 aa 1-140 / 268. (SwissProt: P08246 Human; SwissProt: Q3UP87 Mouse)

Localization

Phagosome.

Clonality

Monoclonal

Host

Rabbit

Isotype

IgG

Description

Novus Biologicals Rabbit Neutrophil Elastase/ELA2 Antibody (JF098-6) (NBP2-66972) is a recombinant monoclonal antibody validated for use in IHC, WB, Flow and ICC/IF. Anti-Neutrophil Elastase/ELA2 Antibody: Cited in 3 publications. All Novus Biologicals antibodies are covered by our 100% guarantee.

Scientific Data Images for Neutrophil Elastase/ELA2 Antibody (JF098-6)

Western Blot: Neutrophil Elastase/ELA2 Antibody (JF098-6) [NBP2-66972]

Western Blot: Neutrophil Elastase/ELA2 Antibody (JF098-6) [NBP2-66972]

Western Blot: Neutrophil Elastase/ELA2 Antibody (JF098-6) [NBP2-66972] - Western blot analysis of Neutrophil Elastase on different lysates. Proteins were transferred to a PVDF membrane and blocked with 5% BSA in PBS for 1 hour at room temperature. The primary antibody (1/500) was used in 5% BSA at room temperature for 2 hours. Goat Anti-Rabbit IgG - HRP Secondary Antibody (HA1001) at 1:5,000 dilution was used for 1 hour at room temperature.Positive control: Lane 1: Mouse spleen tissue lysate Lane 2: Mouse bone marrow tissue lysate
Immunocytochemistry/ Immunofluorescence: Neutrophil Elastase/ELA2 Antibody (JF098-6) [NBP2-66972]

Immunocytochemistry/ Immunofluorescence: Neutrophil Elastase/ELA2 Antibody (JF098-6) [NBP2-66972]

Immunocytochemistry/Immunofluorescence: Neutrophil Elastase/ELA2 Antibody (JF098-6) [NBP2-66972] - ICC staining of Neutrophil Elastase in Hela cells (red). Formalin fixed cells were permeabilized with 0.1% Triton X-100 in TBS for 10 minutes at room temperature and blocked with 1% Blocker BSA for 15 minutes at room temperature. Cells were probed with the primary antibody (1/50) for 1 hour at room temperature, washed with PBS. Alexa Fluor®594 Goat anti-Rabbit IgG was used as the secondary antibody at 1/1,000 dilution. The nuclear counter stain is DAPI (blue).
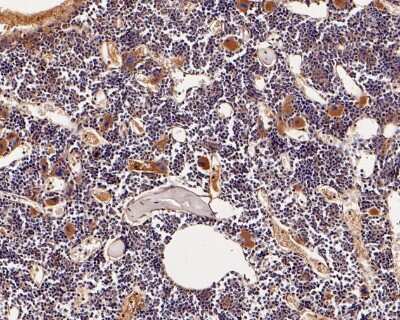
Immunohistochemistry-Paraffin: Neutrophil Elastase/ELA2 Antibody (JF098-6) [NBP2-66972]

Immunohistochemistry-Paraffin: Neutrophil Elastase/ELA2 Antibody (JF098-6) [NBP2-66972]

Immunohistochemistry-Paraffin: Neutrophil Elastase/ELA2 Antibody (JF098-6) [NBP2-66972] - Immunohistochemical analysis of paraffin-embedded human bone marrow tissue using anti-Neutrophil Elastase antibody. The section was pre-treated using heat mediated antigen retrieval with Tris-EDTA buffer (pH 8.0-8.4) for 20 minutes.The tissues were blocked in 5% BSA for 30 minutes at room temperature, washed with ddH2O and PBS, and then probed with the primary antibody (1/50) for 30 minutes at room temperature. The detection was performed using an HRP conjugated compact polymer system. DAB was used as the chromogen. Tissues were counterstained with hematoxylin and mounted with DPX.

Applications for Neutrophil Elastase/ELA2 Antibody (JF098-6)

Application
Recommended Usage

Flow Cytometry

1:10-1:50

Immunocytochemistry/ Immunofluorescence

1:50

Immunohistochemistry

1:50-1:200

Immunohistochemistry-Paraffin

1:50-1:200

Western Blot

1:500-1:2000

Formulation, Preparation, and Storage

Purification

Protein A purified

Formulation

TBS (pH7.4), 0.05% BSA, 40% Glycerol

Preservative

0.05% Sodium Azide

Concentration

1 mg/ml

Shipping

The product is shipped with polar packs. Upon receipt, store it immediately at the temperature recommended below.

Stability & Storage

Store at 4C short term. Aliquot and store at -20C long term. Avoid freeze-thaw cycles.

Background: Neutrophil Elastase/ELA2

The ELANE gene (commonly known as neutrophil elastase) encodes a 267 amino acid long, 28 kDA neutrophil elastase protein that functions in regulation of natural killer cells, monocytes, and graulocytes. ELANE is involved in activation of proMMP8, cell adhesion cell-matrix glycoconjugates, selected targets of C/EBPbeta, degradation of the extracellular matrix and collagen, and amb2 integrin signaling. It interacts with various genes GZMB, LRP1, SERPINF2, SERPING1, and SERPINA1. Elane has been linked to cystic fibrosis, asthma, pneumonia, alzheimer's disease, neutropenia, cutis laxia, leg ulcers, wegener's granulomatosis, bronchitis, adult respiratory distress syndrome, and vascular diseases.

Alternate Names

ELA2, ELANE, Elastase-2, Leukocyte Elastase, Medullasin

Gene Symbol

ELANE

Additional Neutrophil Elastase/ELA2 Products

Product Documents for Neutrophil Elastase/ELA2 Antibody (JF098-6)

Certificate of Analysis

To download a Certificate of Analysis, please enter a lot number in the search box below.

Product Specific Notices for Neutrophil Elastase/ELA2 Antibody (JF098-6)

This product is for research use only and is not approved for use in humans or in clinical diagnosis. Primary Antibodies are guaranteed for 1 year from date of receipt.

Loading...
Loading...
Loading...
Loading...
Loading...