Skip to main content

NBR1 Antibody - BSA Free

Novus Biologicals, part of Bio-Techne | Catalog # NBP1-71703

Novus Biologicals, part of Bio-Techne

Key Product Details

Species Reactivity

Validated:

Human, Mouse

Cited:

Human, Mouse

Applications

Validated:

Immunohistochemistry, Immunohistochemistry-Paraffin, Western Blot, ELISA, Sandwich ELISA Capture, Immunocytochemistry/ Immunofluorescence, Simple Western

Cited:

Western Blot, Immunocytochemistry/ Immunofluorescence

Label

Unconjugated

Antibody Source

Polyclonal Rabbit IgG

Format

BSA Free

Concentration

1.24 mg/ml

Product Specifications

Immunogen

A genomic peptide made to an internal region of the human NBR1 protein (within residues 50-250). [Swiss-Prot Q14596]

Reactivity Notes

Immunogen has 75% identity to the rat protein.

Localization

Cytoplasm. Cytoplasmic vesicle - autophagosome. Lysosome. Cytoplasm - myofibril - sarcomere - M line. Note: In cardiac muscles localizes to the sarcomeric M line. Is targeted to lysosomes for degradation.

Clonality

Polyclonal

Host

Rabbit

Isotype

IgG

Description

Novus Biologicals Rabbit NBR1 Antibody - BSA Free (NBP1-71703) is a polyclonal antibody validated for use in IHC, WB, ELISA, ICC/IF and Simple Western. Anti-NBR1 Antibody: Cited in 8 publications. All Novus Biologicals antibodies are covered by our 100% guarantee.

Scientific Data Images for NBR1 Antibody - BSA Free

Western Blot: NBR1 AntibodyBSA Free [NBP1-71703]

Western Blot: NBR1 AntibodyBSA Free [NBP1-71703]

Western Blot: NBR1 Antibody [NBP1-71703] - The antibody detects HeLa cell NBR1 (about 130 kDa). It detects a 100 kDa band in mouse brain. Western blot image submitted by a verified customer review.
Immunocytochemistry/ Immunofluorescence: NBR1 Antibody - BSA Free [NBP1-71703]

Immunocytochemistry/ Immunofluorescence: NBR1 Antibody - BSA Free [NBP1-71703]

Immunocytochemistry/Immunofluorescence: NBR1 Antibody [NBP1-71703] - HeLa cells were fixed in 4% paraformaldehyde for 10 minutes and permeabilized in 0.05% Triton X-100 in PBS for 5 minutes. The cells were incubated with NBR1 Antibody (NBP1-71703) at 1 ug/ml overnight at 4C and detected with an anti-rabbit Dylight 488 (Green) at a 1:1000 dilution for 60 minutes. Nuclei were counterstained with DAPI (Blue). Cells were imaged using a 100X objective and digitally deconvolved.
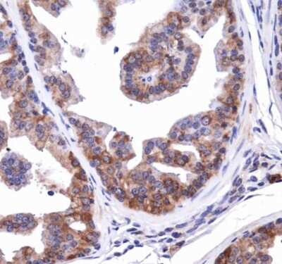
Immunohistochemistry: NBR1 Antibody - BSA Free [NBP1-71703]

Immunohistochemistry: NBR1 Antibody - BSA Free [NBP1-71703]

Immunohistochemistry: NBR1 Antibody [NBP1-71703] - Staining of NBRI in mouse prostate.

Applications for NBR1 Antibody - BSA Free

Application
Recommended Usage

Immunocytochemistry/ Immunofluorescence

1:100

Immunohistochemistry

1:100

Immunohistochemistry-Paraffin

1:100

Sandwich ELISA Capture

reported by customer review

Simple Western

1:400

Western Blot

1 - 2 ug/ml
Application Notes
Prior to immunostaining paraffin tissues, antigen retrieval with sodium citrate buffer (pH 6.0) is recommended.

In Simple Western only 10 - 15 uL of the recommended dilution is used per data point.
See Simple Western Antibody Database for Simple Western validation: Tested in HepG2 lysate 0.5 mg/mL, separated by Size, antibody dilution of 1:400, apparent MW was 73 kDa. Separated by Size-Wes, Sally Sue/Peggy Sue.

Reviewed Applications

Read 3 reviews rated 3.7 using NBP1-71703 in the following applications:

Formulation, Preparation, and Storage

Purification

Immunogen affinity purified

Formulation

PBS

Format

BSA Free

Preservative

0.05% Sodium Azide

Concentration

1.24 mg/ml

Shipping

The product is shipped with polar packs. Upon receipt, store it immediately at the temperature recommended below.

Stability & Storage

Store at 4C short term. Aliquot and store at -20C long term. Avoid freeze-thaw cycles.

Background: NBR1

NBR1 (Next to BRCA1 gene 1) is a protein which is ubiquitously expressed and highly conserved in eukaryotic organisms. NBR1 is implicated in TITIN kinase signaling in muscles and mitigates FGFR signaling through NBR1- SPRED2 interactions. Animals expressing truncated NBR1 lacking the C-terminal region has been shown to develop excessive bone mass due to increased activity of osteoblasts, suggesting NBR1's role in modulating bone metabolism in vivo. NBR1 functions as a negative regulator of p38 MAPK activity and has also been discovered as a binding partner of ATG8 family members including LC3, GABARAP, GABARAP-like 1/GABARAPL1, and GATE-16/GABARAPL2 in mammalian cells wherein these proteins are known to play essential role in formation of autophagosomes. Moreover, NBR1 interacts with ubiquitin/ubiquitinated proteins via ubiquitin-associated (UBA) domain and also interacts with TRIM55, SQSTM1, RNF29, USP8 etc. Based on these properties, it has been proposed that NBR1 functions as a cargo adapter for autophagic degradation of ubiquitinated substrates in a similar way to p62.

Alternate Names

Cell migration-inducing gene 19 protein, FLJ98272, KIAA0049CA125, M17S2FLJ55359,1A1-3B, Membrane component chromosome 17 surface marker 2,1A13B, membrane component, chromosome 17, surface marker 2 (ovarian carcinoma antigenCA125), migration-inducing protein 19, neighbor of BRCA1 gene 1, Neighbor of BRCA1 gene 1 protein, next to BRCA1 gene 1 protein, Protein 1A1-3B

Entrez Gene IDs

4077 (Human); 17966 (Mouse)

Gene Symbol

NBR1

Additional NBR1 Products

Product Documents for NBR1 Antibody - BSA Free

Certificate of Analysis

To download a Certificate of Analysis, please enter a lot number in the search box below.

Product Specific Notices for NBR1 Antibody - BSA Free

Manufactured by Genomic Antibody Technology™. GAT FAQs

This product is for research use only and is not approved for use in humans or in clinical diagnosis. Primary Antibodies are guaranteed for 1 year from date of receipt.

Loading...
Loading...
Loading...
Loading...