Skip to main content

Napsin A Antibody - BSA Free

Novus Biologicals, part of Bio-Techne | Catalog # NBP2-34212

Novus Biologicals, part of Bio-Techne
Catalog #
Availability
Size / Price
Qty
Loading...
NBP2-34212

Key Product Details

Validated by

Orthogonal Validation, Independent Antibodies

Species Reactivity

Human

Applications

Immunohistochemistry, Immunohistochemistry-Paraffin, Western Blot

Label

Unconjugated

Antibody Source

Polyclonal Rabbit IgG

Format

BSA Free

Concentration

Concentrations vary lot to lot. See vial label for concentration. If unlisted please contact technical services.

Product Specifications

Immunogen

This antibody was developed against a recombinant protein corresponding to amino acids: DGILGLGFPILSVEGVRPPLDVLVEQGLLDKPVFSF

Reactivity Notes

Immunogen displays the following percentage of sequence identity for non-tested species: Mouse (81%), Rat (81%)

Clonality

Polyclonal

Host

Rabbit

Isotype

IgG

Description

Novus Biologicals Rabbit Napsin A Antibody - BSA Free (NBP2-34212) is a polyclonal antibody validated for use in IHC and WB. All Novus Biologicals antibodies are covered by our 100% guarantee.

Scientific Data Images for Napsin A Antibody - BSA Free

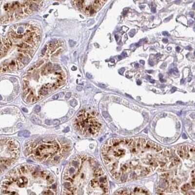
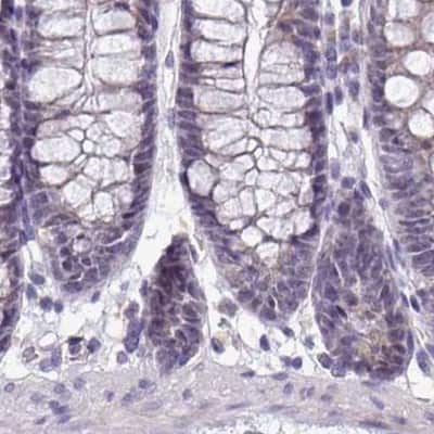
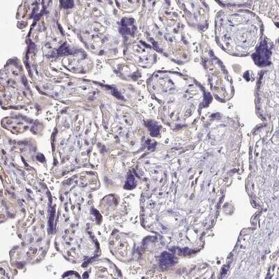
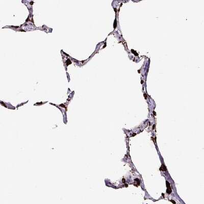
Immunohistochemistry-Paraffin: Napsin A Antibody [NBP2-34212]

Immunohistochemistry-Paraffin: Napsin A Antibody [NBP2-34212]

Immunohistochemistry-Paraffin: Napsin A Antibody [NBP2-34212] - Staining in human lung and placenta tissues using anti-NAPSA antibody. Corresponding NAPSA RNA-seq data are presented for the same tissues.
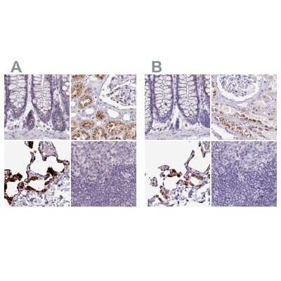
Immunohistochemistry-Paraffin: Napsin A Antibody [NBP2-34212]

Immunohistochemistry-Paraffin: Napsin A Antibody [NBP2-34212]

Immunohistochemistry-Paraffin: Napsin A Antibody [NBP2-34212] - Staining of human colon, kidney, lung and lymph node using Anti-NAPSA antibody NBP2-34212 (A) shows similar protein distribution across tissues to independent antibody NBP2-34213 (B).
Western Blot: Napsin A Antibody [NBP2-34212]

Western Blot: Napsin A Antibody [NBP2-34212]

Western Blot: Napsin A Antibody [NBP2-34212] - Lane 1: Marker [kDa] 250, 130, 100, 70, 55, 35, 25, 15, 10
Lane 2: Human Lung tissue

Applications for Napsin A Antibody - BSA Free

Application
Recommended Usage

Immunohistochemistry

1:20 - 1:50

Immunohistochemistry-Paraffin

1:20 - 1:50

Western Blot

0.04-0.4 ug/ml
Application Notes
For IHC-Paraffin, HIER pH 6 retrieval is recommended.

Formulation, Preparation, and Storage

Purification

Immunogen affinity purified

Formulation

PBS (pH 7.2) and 40% Glycerol

Format

BSA Free

Preservative

0.02% Sodium Azide

Concentration

Concentrations vary lot to lot. See vial label for concentration. If unlisted please contact technical services.

Shipping

The product is shipped with polar packs. Upon receipt, store it immediately at the temperature recommended below.

Stability & Storage

Store at 4C short term. Aliquot and store at -20C long term. Avoid freeze-thaw cycles.

Background: Napsin A

Napsin is a pepsin-like aspartic proteinase, in the A1 clan of the AA clade of proteinases. Other AA family proteinases include Pepsin, cathepsin-D, cathepsin-E and rennin. Of these proteinases, napsin is most closely related to cathepsin-D, sharing 46% identity at the amino acid level. There are two closely related Napsins, napsin A and napsin B, with 85% overall identity at the amino acid level. There are three isoforms. Napsin-A is also termed napsin-1, or TA02, a Tumor Adenocarcinoma marker. Napsin A may be involved in processing of pneumocyte surfactant precursors.

Alternate Names

ASP4, KAP, NAPA, NAPSA, Napsin-1, SNAPA, TA01/TA02

Gene Symbol

NAPSA

UniProt

Additional Napsin A Products

Product Documents for Napsin A Antibody - BSA Free

Certificate of Analysis

To download a Certificate of Analysis, please enter a lot number in the search box below.

Product Specific Notices for Napsin A Antibody - BSA Free

This product is for research use only and is not approved for use in humans or in clinical diagnosis. Primary Antibodies are guaranteed for 1 year from date of receipt.

Loading...
Loading...
Loading...
Loading...