Skip to main content

N-Cadherin Antibody (OTI2G7)

Novus Biologicals, part of Bio-Techne | Catalog # NBP2-01498

Novus Biologicals, part of Bio-Techne
Catalog #
Availability
Size / Price
Qty
Loading...
NBP2-01498

Key Product Details

Species Reactivity

Human, Mouse, Rat, Canine, Monkey, Primate

Applications

Immunohistochemistry, Immunohistochemistry-Paraffin, Western Blot, Flow Cytometry

Label

Unconjugated

Antibody Source

Monoclonal Mouse IgG2A Clone # OTI2G7

Concentration

0.77 mg/ml

Product Specifications

Immunogen

This N-Cadherin Antibody (OTI2G7) was developed against full length human recombinant protein of human CDH2(NP_001783) produced in HEK293T cell.

Reactivity Notes

Please note that this antibody is reactive to Mouse and derived from the same host, Mouse. Mouse-On-Mouse blocking reagent may be needed for IHC and ICC experiments to reduce high background signal. You can find these reagents under catalog numbers PK-2200-NB and MP-2400-NB. Please contact Technical Support if you have any questions.

Marker

Mesenchymal Cells Marker

Clonality

Monoclonal

Host

Mouse

Isotype

IgG2A

Theoretical MW

97.2 kDa.
Disclaimer note: The observed molecular weight of the protein may vary from the listed predicted molecular weight due to post translational modifications, post translation cleavages, relative charges, and other experimental factors.

Description

Novus Biologicals Mouse N-Cadherin Antibody (OTI2G7) (NBP2-01498) is a monoclonal antibody validated for use in IHC, WB and Flow. Anti-N-Cadherin Antibody: Cited in 1 publication. All Novus Biologicals antibodies are covered by our 100% guarantee.

Scientific Data Images for N-Cadherin Antibody (OTI2G7)

Western Blot: N Cadherin Antibody (2G7) [NBP2-01498] Analysis of extracts (35ug) from 9 different cell lines by using anti-N Cadherin monoclonal antibody.
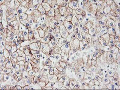
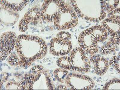
Immunohistochemistry-Paraffin: N-Cadherin Antibody (OTI2G7) [NBP2-01498]

Immunohistochemistry-Paraffin: N-Cadherin Antibody (OTI2G7) [NBP2-01498]

Immunohistochemistry-Paraffin: N Cadherin Antibody (2G7) [NBP2-01498] - Staining of paraffin-embedded Human liver tissue using anti-N Cadherin mouse monoclonal antibody.
Flow Cytometry: N-Cadherin Antibody (OTI2G7) [NBP2-01498]

Flow Cytometry: N-Cadherin Antibody (OTI2G7) [NBP2-01498]

Flow Cytometry: N Cadherin Antibody (2G7) [NBP2-01498] - HEK293T cells transfected with either overexpression plasmid (Red) or empty vector control plasmid (Blue) were immunostained by anti-N Cadherin antibody, and then analyzed by flow cytometry.

Applications for N-Cadherin Antibody (OTI2G7)

Application
Recommended Usage

Flow Cytometry

1:100

Immunohistochemistry

1:150

Immunohistochemistry-Paraffin

1:150

Western Blot

1:500-2000
Application Notes
Please note that this antibody is reactive to Mouse and derived from the same host, Mouse. Mouse-On-Mouse blocking reagent may be needed for IHC and ICC experiments to reduce high background signal. You can find these reagents under catalog numbers PK-2200-NB and MP-2400-NB. Please contact Technical Support if you have any questions.

Formulation, Preparation, and Storage

Purification

Immunogen affinity purified

Formulation

PBS (pH 7.3), 1.0% BSA and 50% Glycerol

Preservative

0.02% Sodium Azide

Concentration

0.77 mg/ml

Shipping

The product is shipped with polar packs. Upon receipt, store it immediately at the temperature recommended below.

Stability & Storage

Store at -20C. Avoid freeze-thaw cycles.

Background: N-Cadherin

N-Cadherin, also referred to as Neural Cadherin (NCAD) or Cadherin-2 (CHD2), is a 130 kDa protein that is a member of the calcium-dependent adhesion molecule family of classical (type I) cadherins (1-4). Under the CDH2 gene, human N-cadherin is synthesized as a 906 amino acid protein with a theoretical molecular weight of 99.8 kDa (5). The N-cadherin protein structure is similar to other classical type I cadherins including epithelial (E-) cadherin and placental (P-) cadherin (1,2). N-cadherin consists of a 25 amino acid (aa) N-terminal signal peptide and 134 aa pro-peptide, a 565 aa extracellular domain (ECD) with five cadherin repeats, a 21 aa transmembrane segment, and a 161 aa cytoplasmic domain (1-3,5). The ECD of N-cadherin monomers is responsible for homotypic binding through either cis or trans adhesion (2,3).

N-cadherin is expressed on multiple cell types but is most highly expressed by mesenchymal cells and neural tissue (2). Functionally, N-cadherin has a number of roles including maintaining structural integrity and adhesion, cell signaling, and formation of neuronal synapses and the vascular wall (2). The cytoplasmic tail interacts with beta-catenin which then binds with alpha-catenin, forming the cadherin-catenin adhesion complex, an important component of adhesions junctions (1-3). Given its role in adhesion, N-cadherin serves as an indicator of epithelial-to-mesenchymal transition (EMT) (1-4). The loss of E-cadherin during EMT corresponds with an increase in N-cadherin expression (1-4). This "cadherin-switch" is associated with increased migratory and invasive behavior observed in tumor progress (1-4). Proteases including activity of a disintegrin and metalloprotease 10 (ADAM10), matrix metalloproteinases (MMPs), caspase 3, presenilin, and calpain can cleave N-cadherin as a mechanism for regulating Wnt/beta-catenin signaling and inducing oncogenic signals (3,4). In addition to its expression in solid tumors, N-cadherin has been indicated in hematological disorders such as leukemia and multiple myeloma (1). N-cadherin antagonists are currently being studied as potential therapeutics for a variety of cancer studies (1-2).

References

1. Mrozik, K. M., Blaschuk, O. W., Cheong, C. M., Zannettino, A., & Vandyke, K. (2018). N-cadherin in cancer metastasis, its emerging role in haematological malignancies and potential as a therapeutic target in cancer. BMC Cancer. https://doi.org/10.1186/s12885-018-4845-0

2. Loh, C. Y., Chai, J. Y., Tang, T. F., Wong, W. F., Sethi, G., Shanmugam, M. K., Chong, P. P., & Looi, C. Y. (2019). The E-Cadherin and N-Cadherin Switch in Epithelial-to-Mesenchymal Transition: Signaling, Therapeutic Implications, and Challenges. Cells. https://doi.org/10.3390/cells8101118

3. Derycke, L. D., & Bracke, M. E. (2004). N-cadherin in the spotlight of cell-cell adhesion, differentiation, embryogenesis, invasion and signalling. The International Journal of Developmental Biology. https://doi.org/10.1387/ijdb.041793ld

4. Yu, W., Yang, L., Li, T., & Zhang, Y. (2019). Cadherin Signaling in Cancer: Its Functions and Role as a Therapeutic Target. Frontiers in Oncology. https://doi.org/10.3389/fonc.2019.00989

5. Unitprot (P1903)

Long Name

Neural Cadherin

Alternate Names

Cadherin-2, CD325, CDH2, NCadherin

Gene Symbol

CDH2

Additional N-Cadherin Products

Product Documents for N-Cadherin Antibody (OTI2G7)

Certificate of Analysis

To download a Certificate of Analysis, please enter a lot number in the search box below.

Product Specific Notices for N-Cadherin Antibody (OTI2G7)

This product is for research use only and is not approved for use in humans or in clinical diagnosis. Primary Antibodies are guaranteed for 1 year from date of receipt.

Loading...
Loading...
Loading...
Loading...
Loading...