Skip to main content

N-Cadherin Antibody (6F9G8)

Novus Biologicals, part of Bio-Techne | Catalog # NBP3-15654

Recombinant Monoclonal Antibody
Novus Biologicals, part of Bio-Techne
Catalog #
Availability
Size / Price
Qty
Loading...
NBP3-15654-100ul
NBP3-15654-20ul

Key Product Details

Validated by

Knockout/Knockdown

Species Reactivity

Human, Mouse, Rat

Applications

Knockout Validated, Immunohistochemistry, Immunohistochemistry-Paraffin, Western Blot, Immunocytochemistry/ Immunofluorescence

Label

Unconjugated

Antibody Source

Recombinant Monoclonal Rabbit IgG Clone # 6F9G8 expressed in HEK293

Concentration

Please see the vial label for concentration. If unlisted please contact technical services.

Product Specifications

Immunogen

A synthetic peptide corresponding to a sequence within amino acids 100-200 of human N Cadherin (P19022). AKFLIYAQDKETQEKWQVAVKLSLKPTLTEESVKESAEVEEIVFPRQFSKHSGHLQRQKRDWVIPPINLPENSRGPFPQELVRIRSDRDKNLSLRYSVTGP

Clonality

Monoclonal

Host

Rabbit

Isotype

IgG

Scientific Data Images for N-Cadherin Antibody (6F9G8)

Knockout Validated: N-Cadherin Antibody (6F9G8) [NBP3-15654]

Western Blot: N-Cadherin Antibody (6F9G8) [NBP3-15654]

Western Blot: N-Cadherin Antibody (6F9G8) [NBP3-15654] - Western blot analysis of extracts from normal (control) and N-Cadherin knockout (KO) HeLa cells, using N-Cadherin antibody (NBP3-15654) at 1:1000 dilution. Secondary antibody: HRP Goat Anti-Rabbit IgG (H+L) at 1:10000 dilution. Lysates/proteins: 25ug per lane. Blocking buffer: 3% nonfat dry milk in TBST. Detection: ECL Basic Kit. Exposure time: 1min.
N-Cadherin Antibody (6F9G8)

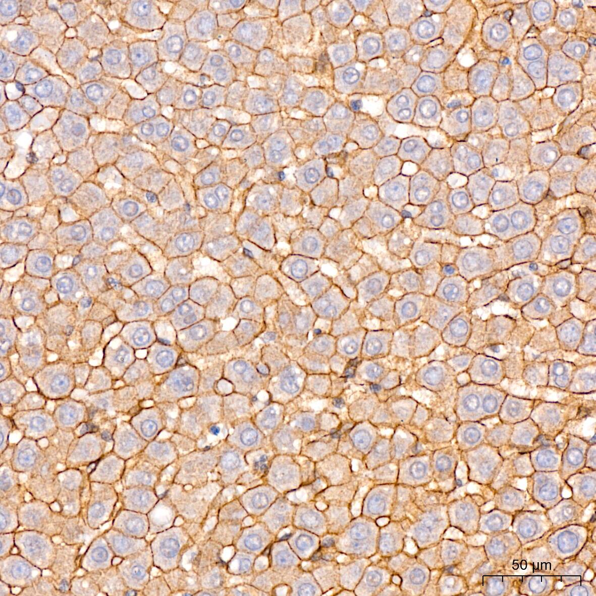
Immunohistochemistry: N-Cadherin Antibody (6F9G8) [N-Cadherin] -

Immunohistochemistry: N-Cadherin Antibody (6F9G8) [N-Cadherin] - Immunohistochemistry analysis of paraffin-embedded Rat heart tissue using [KO Validated] N-Cadherin Rabbit mAb at a dilution of 1:200 (40x lens). High pressure antigen retrieval performed with 0.01M Citrate Buffer (pH 6.0) prior to IHC staining.
N-Cadherin Antibody (6F9G8)

Immunocytochemistry/ Immunofluorescence: N-Cadherin Antibody (6F9G8) [N-Cadherin] -

Immunocytochemistry/ Immunofluorescence: N-Cadherin Antibody (6F9G8) [N-Cadherin] - Confocal imaging of paraffin-embedded rat heart using [KO Validated] N-Cadherin Rabbit mAb followed by a further incubation with Cy3 Goat Anti-Rabbit IgG (H+L) . DAPI was used for nuclear staining (Blue). Objective: 40x. High pressure antigen retrieval performed with 0.01M Citrate Buffer(pH 6.0) prior to IF staining.

Applications for N-Cadherin Antibody (6F9G8)

Application
Recommended Usage

Immunocytochemistry/ Immunofluorescence

1:50 - 1:200

Immunohistochemistry

1:50 - 1:200

Immunohistochemistry-Paraffin

1:50 - 1:200

Western Blot

1:500 - 1:2000

Formulation, Preparation, and Storage

Purification

Affinity purified

Formulation

PBS (pH 7.3), 50% glycerol, 0.05% BSA

Preservative

0.02% Sodium Azide

Concentration

Please see the vial label for concentration. If unlisted please contact technical services.

Shipping

The product is shipped with polar packs. Upon receipt, store it immediately at the temperature recommended below.

Stability & Storage

Store at -20C. Avoid freeze-thaw cycles.

Background: N-Cadherin

N-Cadherin, also referred to as Neural Cadherin (NCAD) or Cadherin-2 (CHD2), is a 130 kDa protein that is a member of the calcium-dependent adhesion molecule family of classical (type I) cadherins (1-4). Under the CDH2 gene, human N-cadherin is synthesized as a 906 amino acid protein with a theoretical molecular weight of 99.8 kDa (5). The N-cadherin protein structure is similar to other classical type I cadherins including epithelial (E-) cadherin and placental (P-) cadherin (1,2). N-cadherin consists of a 25 amino acid (aa) N-terminal signal peptide and 134 aa pro-peptide, a 565 aa extracellular domain (ECD) with five cadherin repeats, a 21 aa transmembrane segment, and a 161 aa cytoplasmic domain (1-3,5). The ECD of N-cadherin monomers is responsible for homotypic binding through either cis or trans adhesion (2,3).

N-cadherin is expressed on multiple cell types but is most highly expressed by mesenchymal cells and neural tissue (2). Functionally, N-cadherin has a number of roles including maintaining structural integrity and adhesion, cell signaling, and formation of neuronal synapses and the vascular wall (2). The cytoplasmic tail interacts with beta-catenin which then binds with alpha-catenin, forming the cadherin-catenin adhesion complex, an important component of adhesions junctions (1-3). Given its role in adhesion, N-cadherin serves as an indicator of epithelial-to-mesenchymal transition (EMT) (1-4). The loss of E-cadherin during EMT corresponds with an increase in N-cadherin expression (1-4). This "cadherin-switch" is associated with increased migratory and invasive behavior observed in tumor progress (1-4). Proteases including activity of a disintegrin and metalloprotease 10 (ADAM10), matrix metalloproteinases (MMPs), caspase 3, presenilin, and calpain can cleave N-cadherin as a mechanism for regulating Wnt/beta-catenin signaling and inducing oncogenic signals (3,4). In addition to its expression in solid tumors, N-cadherin has been indicated in hematological disorders such as leukemia and multiple myeloma (1). N-cadherin antagonists are currently being studied as potential therapeutics for a variety of cancer studies (1-2).

References

1. Mrozik, K. M., Blaschuk, O. W., Cheong, C. M., Zannettino, A., & Vandyke, K. (2018). N-cadherin in cancer metastasis, its emerging role in haematological malignancies and potential as a therapeutic target in cancer. BMC Cancer. https://doi.org/10.1186/s12885-018-4845-0

2. Loh, C. Y., Chai, J. Y., Tang, T. F., Wong, W. F., Sethi, G., Shanmugam, M. K., Chong, P. P., & Looi, C. Y. (2019). The E-Cadherin and N-Cadherin Switch in Epithelial-to-Mesenchymal Transition: Signaling, Therapeutic Implications, and Challenges. Cells. https://doi.org/10.3390/cells8101118

3. Derycke, L. D., & Bracke, M. E. (2004). N-cadherin in the spotlight of cell-cell adhesion, differentiation, embryogenesis, invasion and signalling. The International Journal of Developmental Biology. https://doi.org/10.1387/ijdb.041793ld

4. Yu, W., Yang, L., Li, T., & Zhang, Y. (2019). Cadherin Signaling in Cancer: Its Functions and Role as a Therapeutic Target. Frontiers in Oncology. https://doi.org/10.3389/fonc.2019.00989

5. Unitprot (P1903)

Long Name

Neural Cadherin

Alternate Names

Cadherin-2, CD325, CDH2, NCadherin

Gene Symbol

CDH2

Additional N-Cadherin Products

Product Documents for N-Cadherin Antibody (6F9G8)

Certificate of Analysis

To download a Certificate of Analysis, please enter a lot number in the search box below.

Product Specific Notices for N-Cadherin Antibody (6F9G8)

This product is for research use only and is not approved for use in humans or in clinical diagnosis. Primary Antibodies are guaranteed for 1 year from date of receipt.

Loading...
Loading...
Loading...
Loading...