Skip to main content

N-Acetylgalactosamine-6-Sulfatase/GALNS Antibody - BSA Free

Novus Biologicals, part of Bio-Techne | Catalog # NBP1-32899

Novus Biologicals, part of Bio-Techne
Catalog #
Availability
Size / Price
Qty
Loading...
NBP1-32899

Key Product Details

Species Reactivity

Validated:

Human, Mouse, Rat

Predicted:

Bovine (91%), Canine (92%), Porcine (91%). Backed by our 100% Guarantee.

Applications

Immunohistochemistry, Immunohistochemistry-Paraffin, Western Blot, Immunocytochemistry/ Immunofluorescence

Label

Unconjugated

Antibody Source

Polyclonal Rabbit IgG

Format

BSA Free

Concentration

Concentrations vary lot to lot. See vial label for concentration. If unlisted please contact technical services.

Product Specifications

Immunogen

Recombinant protein encompassing a sequence within the center region of human N-Acetylgalactosamine-6-Sulfatase/GALNS. The exact sequence is proprietary.

Reactivity Notes

Zebrafish (81%), Xenopus laevis (84%), Xenopus Tropicalis (80%).

Localization

Lysosome

Clonality

Polyclonal

Host

Rabbit

Isotype

IgG

Theoretical MW

58 kDa.
Disclaimer note: The observed molecular weight of the protein may vary from the listed predicted molecular weight due to post translational modifications, post translation cleavages, relative charges, and other experimental factors.

Description

Novus Biologicals Rabbit N-Acetylgalactosamine-6-Sulfatase/GALNS Antibody - BSA Free (NBP1-32899) is a polyclonal antibody validated for use in IHC, WB and ICC/IF. All Novus Biologicals antibodies are covered by our 100% guarantee.

Scientific Data Images for N-Acetylgalactosamine-6-Sulfatase/GALNS Antibody - BSA Free

Immunocytochemistry/ Immunofluorescence: N-Acetylgalactosamine-6-Sulfatase/GALNS Antibody [NBP1-32899]

Immunocytochemistry/ Immunofluorescence: N-Acetylgalactosamine-6-Sulfatase/GALNS Antibody [NBP1-32899]

Immunocytochemistry/Immunofluorescence: N-Acetylgalactosamine-6-Sulfatase/GALNS Antibody [NBP1-32899] - Paraformaldehyde-fixed HeLa, using GALNS antibody (Green) at 1:500 dilution. Alpha-tubulin filaments were labeled Red.
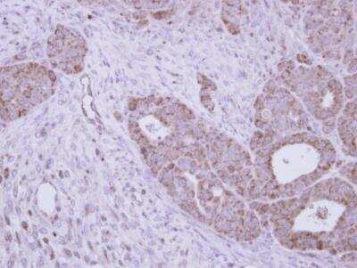
Immunohistochemistry-Paraffin: N-Acetylgalactosamine-6-Sulfatase/GALNS Antibody [NBP1-32899]

Immunohistochemistry-Paraffin: N-Acetylgalactosamine-6-Sulfatase/GALNS Antibody [NBP1-32899]

Immunohistochemistry-Paraffin: N-Acetylgalactosamine-6-Sulfatase/GALNS Antibody [NBP1-32899] - Paraffin-embedded NCI-N87 xenograft, using antibody at 1:100 dilution.
Western Blot: N-Acetylgalactosamine-6-Sulfatase/GALNS Antibody [NBP1-32899]

Western Blot: N-Acetylgalactosamine-6-Sulfatase/GALNS Antibody [NBP1-32899]

Western Blot: N-Acetylgalactosamine-6-Sulfatase/GALNS Antibody [NBP1-32899] - Sample (30 ug of whole cell lysate) A: H1299 7.5% SDS PAGE diluted at 1:1000.

Applications for N-Acetylgalactosamine-6-Sulfatase/GALNS Antibody - BSA Free

Application
Recommended Usage

Immunocytochemistry/ Immunofluorescence

1:100-1:1000

Immunohistochemistry

1:100-1:1000

Immunohistochemistry-Paraffin

1:100-1:1000

Western Blot

1:500-1:3000

Reviewed Applications

Read 2 reviews rated 4 using NBP1-32899 in the following applications:

Formulation, Preparation, and Storage

Purification

Antigen Affinity-purified

Formulation

0.1M Tris, 0.1M Glycine, 10% Glycerol

Format

BSA Free

Preservative

0.01% Thimerosal

Concentration

Concentrations vary lot to lot. See vial label for concentration. If unlisted please contact technical services.

Shipping

The product is shipped with polar packs. Upon receipt, store it immediately at the temperature recommended below.

Stability & Storage

Aliquot and store at -20C or -80C. Avoid freeze-thaw cycles.

Background: N-Acetylgalactosamine-6-Sulfatase/GALNS

This gene encodes N-acetylgalactosamine-6-sulfatase which is a lysosomal exohydrolase required for the degradation of the glycosaminoglycans, keratan sulfate, and chondroitin 6-sulfate. Sequence alterations including point, missense and nonsense mutations, as well as those that affect splicing, result in a deficiency of this enzyme. Deficiencies of this enzyme lead to Morquio A syndrome, a lysosomal storage disorder. [provided by RefSeq]

Alternate Names

Chondroitinase, Chondroitinsulfatase, GA6S, Galactose-6-Sulfate Sulfatase, GalNAc6S Sulfatase, GALNS, GAS, MPS4A, NAcetylgalactosamine6Sulfatase

Entrez Gene IDs

2588 (Human)

Gene Symbol

GALNS

Additional N-Acetylgalactosamine-6-Sulfatase/GALNS Products

Product Documents for N-Acetylgalactosamine-6-Sulfatase/GALNS Antibody - BSA Free

Certificate of Analysis

To download a Certificate of Analysis, please enter a lot number in the search box below.

Product Specific Notices for N-Acetylgalactosamine-6-Sulfatase/GALNS Antibody - BSA Free

This product is for research use only and is not approved for use in humans or in clinical diagnosis. Primary Antibodies are guaranteed for 1 year from date of receipt.

Loading...
Loading...
Loading...
Loading...

⚠ WARNING: This product can expose you to chemicals including mercury, which is known to the State of California to cause reproductive toxicity with developmental effects.  For more information go to www.P65Warnings.ca.gov.